牙齦外露怎麼辦?一篇看懂露齦治療與費用,和尷尬笑容說拜拜!
許多人在大笑或拍照時,因為牙齦外露過多而感到自卑,甚至不敢開懷大笑。其實「露齦」並非少數人的困擾,只要找出真正原因,就能有效改善。本篇將帶您了解牙齦外露背後的6大成因、5大治療方式,以及費用與常見問題,幫助您自信展現笑容。
微笑時的牙齦外露困擾著你嗎?露出多少牙齦才算正常?
一般而言,微笑時牙齦露出約1–2毫米屬於自然範圍;若超過3–4毫米以上,臨床上常被稱為「露齦笑」。當牙齦比例過高,容易讓牙齒看起來偏短,影響臉部比例與美感,也可能讓人在社交、拍照時產生不自在感。透過專業醫師評估,能判斷是否需要進一步治療。
為什麼笑起來會牙齦外露?深入了解6大露齦原因
牙齦外露並非單一問題,可能與牙齦覆蓋比例、牙齒長度比例、上唇肌肉張力過強,或上顎骨發育過度等因素有關。以下整理6種常見原因,幫助您釐清真正成因,選擇適合的治療方式。
牙齦外露原因1:牙齦組織過度覆蓋牙齒
若牙齦組織較厚或牙齦邊緣位置偏低,覆蓋過多牙冠表面,會使牙齒外觀顯得短小。實際牙根與牙冠比例正常,但因牙肉遮蔽而影響視覺比例。微笑時牙齦外露比例增加,形成露齦笑,影響整體笑容線條與美觀感受。

牙齦外露原因2:上唇肌肉拉力過強
部分患者微笑時,上唇上提幅度明顯,瞬間露出大量牙齦,多與提上唇肌肉活動過度有關。當肌肉張力過強,嘴唇上縮距離增加,即使牙齦本身比例正常,仍會因動態表情而出現明顯露齦現象。
牙齦外露原因3:上顎骨骼發育過度
若上顎骨垂直高度發育過長,牙齦與牙齒整體位置向下延伸,微笑時便容易露出大片牙肉。此類屬骨骼結構問題,通常伴隨臉型比例改變與咬合異常,治療上需整合矯正或手術評估。
牙齦外露原因4:上唇長度天生較短
部分患者上唇先天較短,即使靜止時也可能微露牙齦。當微笑時,上唇上提空間有限,牙齦外露比例自然增加。此情況多屬先天條件差異,需評估唇長與牙齦比例再規劃改善方式。
牙齦外露原因5:牙齒過度磨耗、咬合不正
長期磨牙,可能導致牙齒為維持咬合關係而向下移動,連帶改變牙齦邊緣位置。隨時間累積,牙齦比例上升,微笑時露齦範圍增加,影響臉部比例與咬合穩定性,常見於中高齡病患、或嚴重磨牙患者。另一方面,本身有深咬或咬合不正的患者,也常因為上門牙牙齒位置太低,而導致笑露牙齦的問題產生。
〈延伸閱讀:咬合不正講話不清楚?嚴重會傷害牙齒!5大影響、常見問題整理 〉

牙齦外露原因6:牙齒形狀短小
部分患者牙齒天生比例偏短或牙冠高度不足,牙齦邊緣隨牙齒生長位置分布,使牙肉看起來較低。即使牙齦健康正常,也會因牙齒比例不佳產生視覺落差,形成明顯露齦效果。
想要擺脫尷尬笑容、敞開大笑?5大牙齦外露治療方式!
針對不同成因,牙齦外露有多種改善方式,從微整修飾到結構調整皆可規劃。以下帶您一次了解常見治療選項。
牙齦外露治療方式1:水雷射牙齦微整術
水雷射利用高能量水分子震盪原理,精準修整多餘牙齦,重塑牙齒比例。治療過程幾乎不出血、免縫合、術後腫脹感低,恢復期約1–3天。適合牙齦覆蓋牙冠比例較高,且牙齒排列與咬合本身良好的患者。需注意的是,水雷射屬於「牙齦表層調整」,無法改變牙齒位置或太多的骨骼結構,若問題來自齒列或骨骼比例失衡,仍需搭配其他療程。
牙齦外露治療方式2:牙冠增長術
牙冠增長術為翻瓣式牙周手術,透過掀開牙齦組織,調整牙齦高度,並依需求整形部分齒槽骨,重新建立牙齒與牙齦的生理比例與對稱線條。術後牙齒外露面積增加,視覺長度明顯提升,能有效改善牙齒短小與牙齦覆蓋過多問題。適用於牙齦組織過厚或牙冠被遮蔽者。恢復期約1週,待組織穩定後比例自然,效果長期穩定,是改善牙齒短小與露齦的經典治療方式之一。
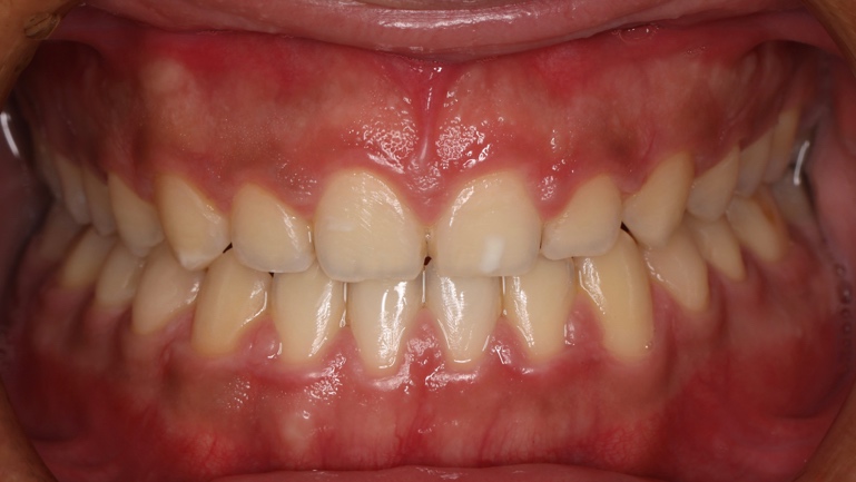
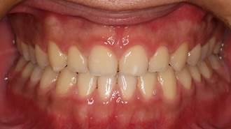
| 牙齦外露治療前 | 牙齦外露治療後 |
![]() |
![]() |
牙齦外露治療方式3:陶瓷貼片美學修復
當牙齒比例偏短、齒緣磨耗或外型不佳時,陶瓷貼片可重新設計牙齒長度、寬度與弧度,調整微笑曲線,使牙齒視覺上更修長,降低牙齦比例。部分露齦源於牙齒高度不足,而非牙齦過多,透過比例重建即可改善。貼片同時修正色澤與排列細節,療程時間短、修磨量少,完成後外觀自然,妥善保養可維持十年以上,是兼顧美感與效率的選擇。
〈延伸閱讀:陶瓷貼片缺點多嗎?常見問題讓新竹森釉帶你看,還你亮白自信笑容!〉
〈延伸閱讀:瓷牙貼片壽命有多長?瓷牙貼片會掉嗎?4招延長瓷牙貼片壽命!〉
牙齦外露治療方式4:牙齒矯正改善笑齦
若牙齦外露與深咬、暴牙或齒列排列異常相關,牙齒矯正為較根本的治療方式。透過傳統矯正或隱適美矯正調整牙齒位置與垂直高度,重建咬合關係,使微笑時牙齦露出量回歸自然比例。矯正不僅改善外觀,也同步提升咬合功能與口腔穩定度。相較單純修整牙齦,矯正著重整體結構調整,成果更全面且長期穩定。
〈延伸閱讀:牙齒需要矯正嗎?盤點 7 種需牙齒矯正狀況+3 種齒列矯正方式〉
〈延伸閱讀:牙套指南|牙套種類、牙套價格、矯正流程,助你輕鬆展露笑容! 〉
牙齦外露治療方式5:正顎手術
若屬骨骼型露齦,因上顎垂直發育過長導致牙齦大量外露,需透過正顎手術調整上顎骨位置與高度,從結構層面改善比例。手術會重新定位牙床與臉型輪廓,縮減笑時牙齦顯露範圍,同步優化側臉線條與上下顎關係。雖恢復期較長,需完整評估與術後照護,但改善幅度最大,能全面提升臉部協調與笑容美感。
牙齦外露治療真的有效嗎?露齦治療費用與效果大評比!
不同治療方式適合族群與預算落差明顯,需依實際成因評估。若屬單純牙齦覆蓋過多或比例失衡,雷射修整或牙冠增長術即可改善,手術時間短、恢復期約一至兩週,費用相對親民。若問題來自牙齒比例偏短、齒緣磨耗或同時追求色澤與形態優化,陶瓷貼片可同步調整長度與外觀,療程集中、效果立即。若露齦與深咬、暴牙或齒列排列異常相關,牙齒矯正能重建咬合與垂直高度,雖時間較長,但成果穩定且具長期維持性。若為骨骼型因素,則需審慎評估正顎手術,從結構根本改善比例。
〈延伸閱讀:暴牙讓你很顯嘴凸?專業牙醫分享暴牙原因與暴牙矯正方法!〉
〈延伸閱讀:深咬有救嗎?專業牙醫這招「深咬矯正術」,拯救你的深咬危機!〉
牙齦外露治療方案完整對照表
| 治療項目 | 適合對象 | 費用參考 | 恢復期 | 維持時間 |
|---|---|---|---|---|
| 雷射 | 牙齦覆蓋牙冠比例高者 | 約3萬–6萬 | 1-3天 | 長期穩定 |
| 牙冠增長術 | 牙齒短小者 | 約3萬–6萬 | 1週 | 長期穩定 |
| 陶瓷貼片 | 牙齒比例不佳者 | 約3萬–5萬/顆 | 2週 | 10年以上 |
| 牙齒矯正 | 咬合不正、一般露齦者 | 約20萬–40萬 | 2-3年 | 長期穩定 |
| 正顎手術(合併矯正) | 骨骼發育異常者 | >40萬 | 3-5年 | 長期穩定 |
牙齦外露常見問題 FAQ
Q1:牙齦切除後還會長回來嗎?
經牙冠增長術或矯正調整後,牙齦與齒槽骨位置已重新建立穩定生理寬度與比例,通常不會再回復原高度。前提是術前評估精準、手術範圍控制得當,並於術後維持良好清潔與定期追蹤,即可長期維持效果。
Q2:露齦治療會痛嗎?需要請假嗎?
治療過程皆施打局部麻醉,操作時幾乎無疼痛感。術後可能出現輕微腫脹、緊繃或短暫敏感,多數症狀於數日內緩解。一般隔天即可正常上班上課,僅需避免劇烈運動與刺激性飲食。
Q3:牙齦外露微整會影響牙齒健康嗎?
在完整評估與正確術式下,治療不會傷害牙齒結構。適度調整牙齦比例,反而可降低牙齦囊袋深度,使清潔更確實,減少牙菌斑堆積與牙周病風險,同時提升牙齒與牙齦的健康穩定度。
Q4:治療牙齦外露會有後遺症嗎?
整體風險低,常見僅短暫腫脹、敏感或輕微出血,通常於恢復期內改善。關鍵在於術前診斷完整、治療計畫合宜,以及醫師臨床經驗充足。配合術後照護與定期回診,可有效降低併發症機率。
專業牙齦外露治療推薦,森釉牙醫讓您重拾自信笑容
解決牙齦外露的關鍵在於找出真正成因並規劃合適療程。森釉牙醫透過專業團隊跨科協作,整合牙周治療、美學貼片、矯正與正顎評估,找出牙齦外露的原因並對症下藥。診所導入3D影像與「數位微笑設計」,讓您在術前就能預覽調整成果。醫生將依據您的臉型比例、咬合與預算量身打造專屬方案,兼顧美觀與牙齒的長期健康,療程透明安心。別讓露齦笑影響自信,立即預約諮詢森釉牙醫,找回最自在的笑容!


