衛教專欄
隱適美矯正+全瓷假牙 | 從一顆蛀牙開始的全口治療之路
「醫師,我後面這顆牙齒痛了好幾天,真的受不了,可以幫我看一下嗎...」
「這顆牙蛀得很深,我們需要先進行根管治療止痛,再做牙套保護。先處理完疼痛問題,後續進行完整的全口檢查,確保每一顆牙齒的狀況。」
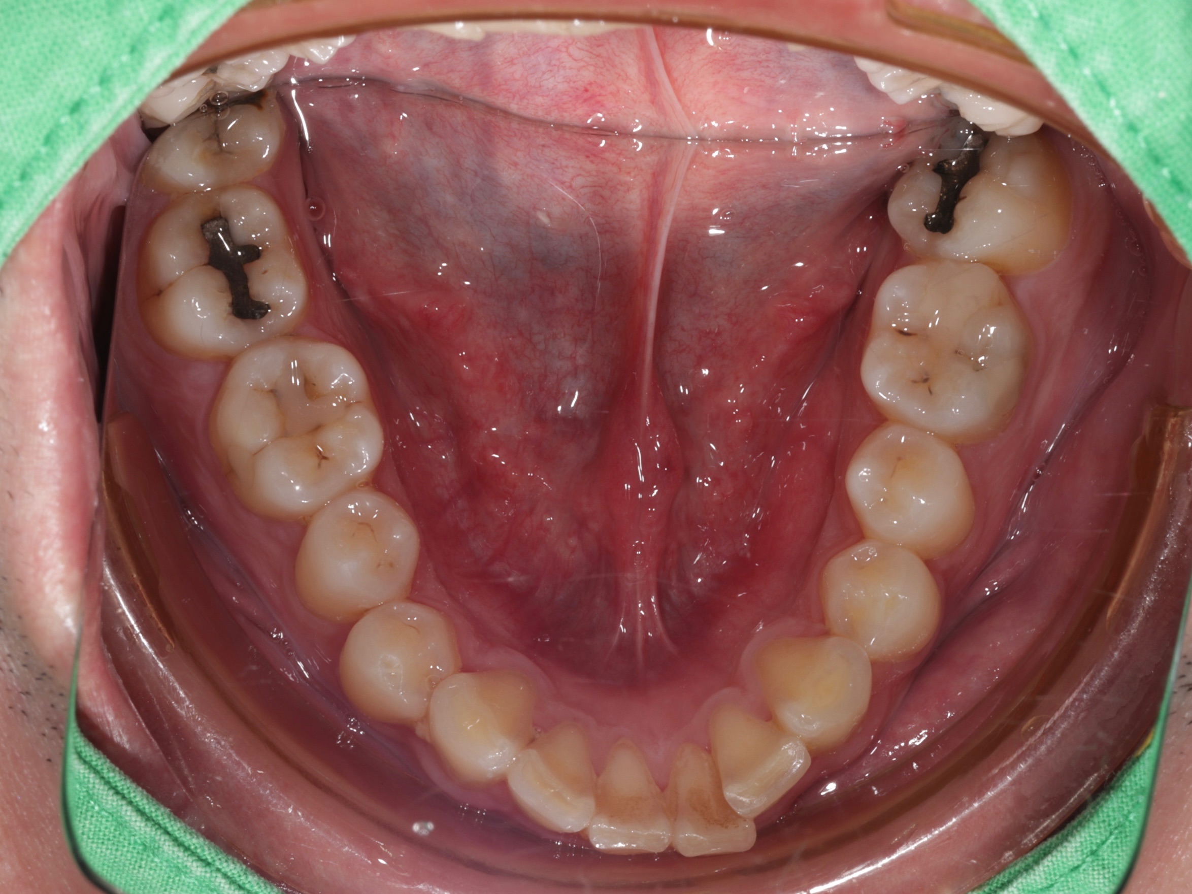
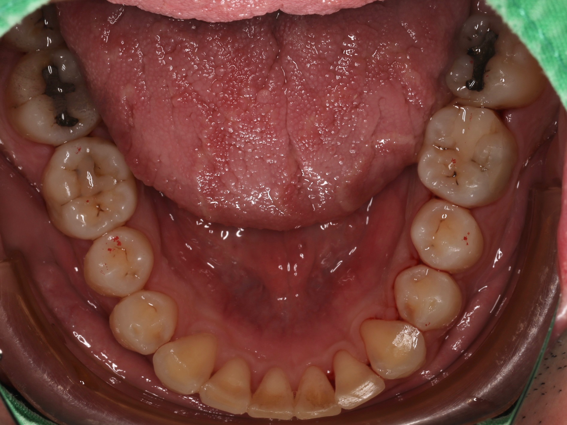
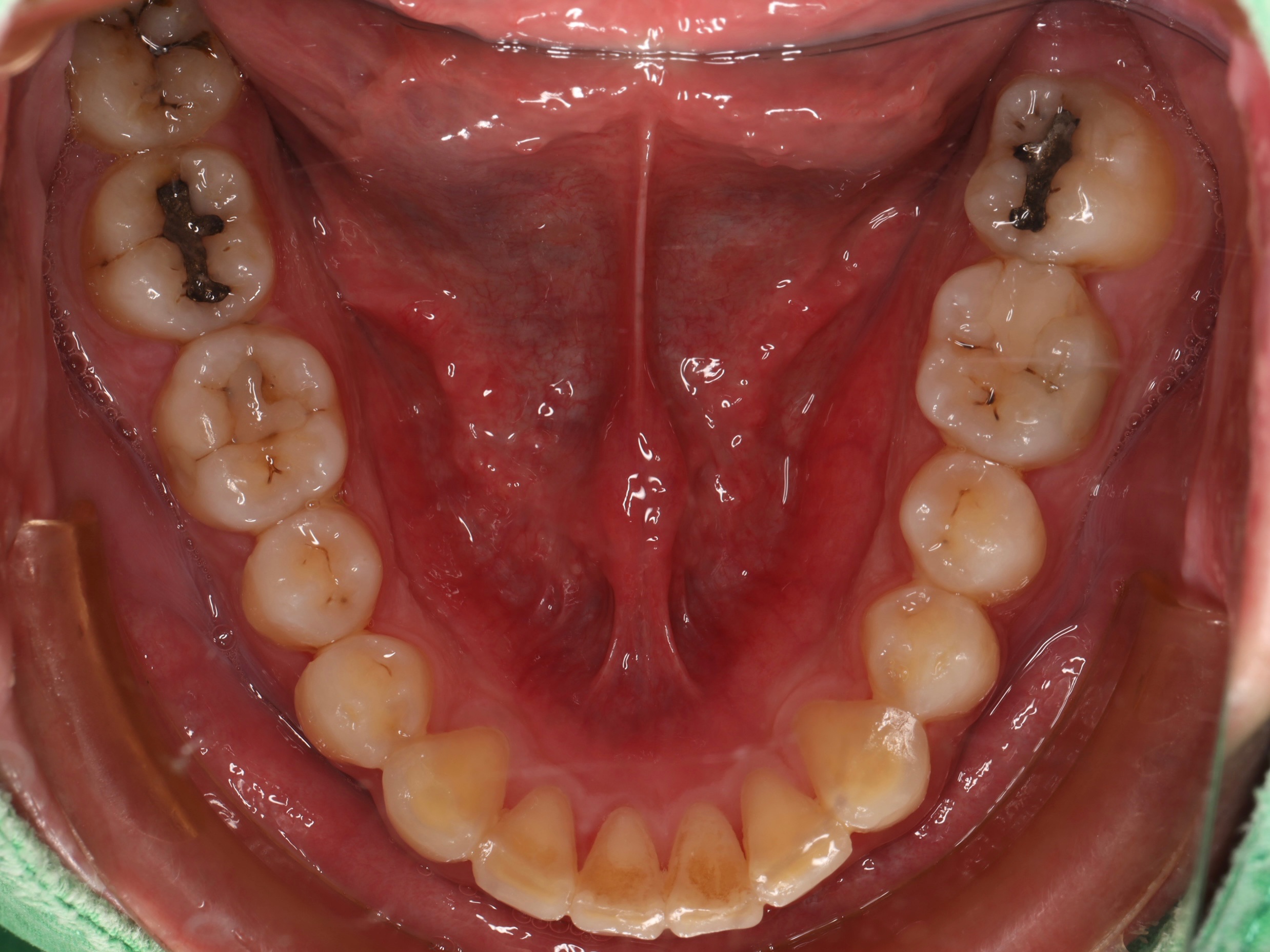
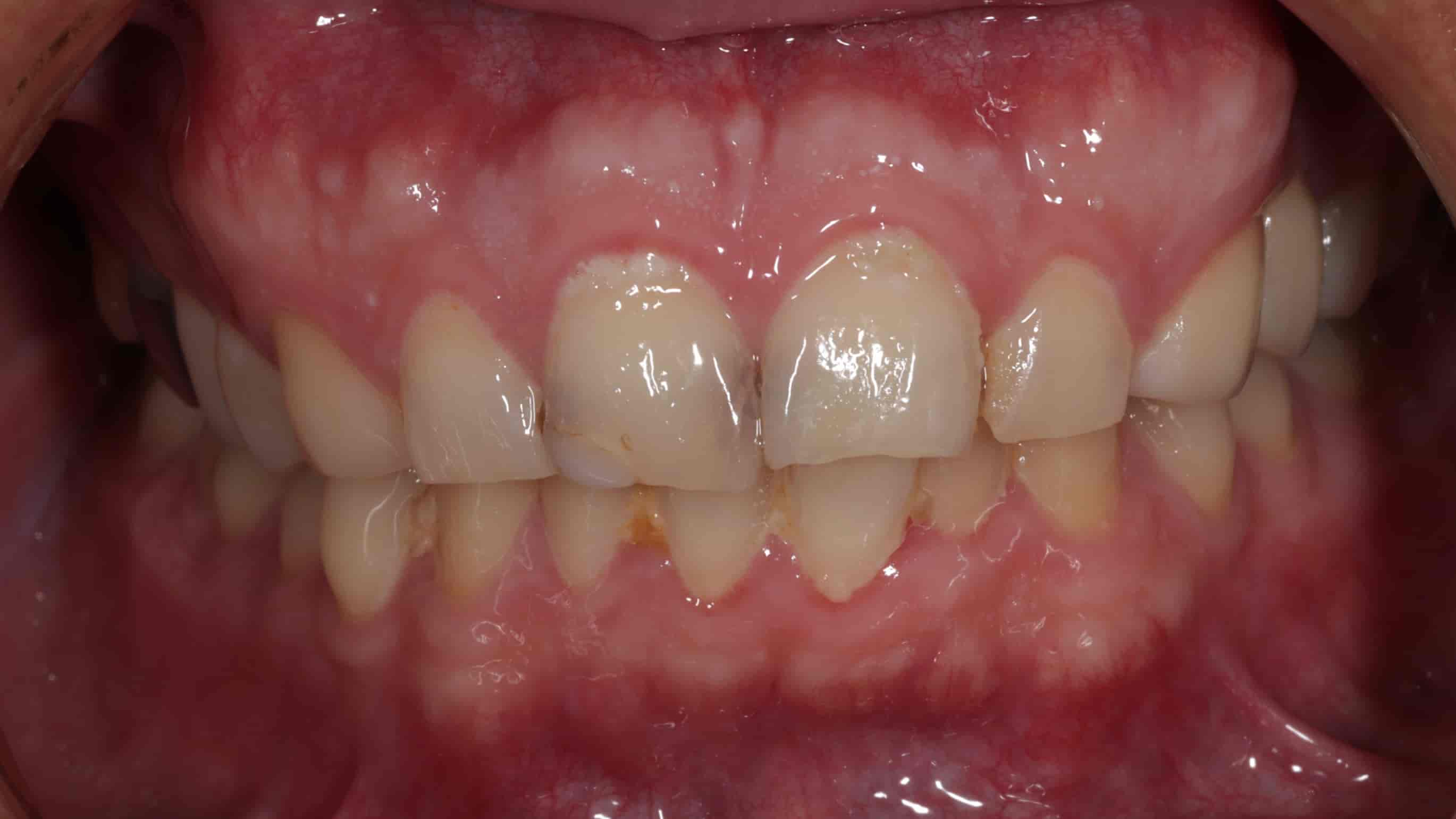
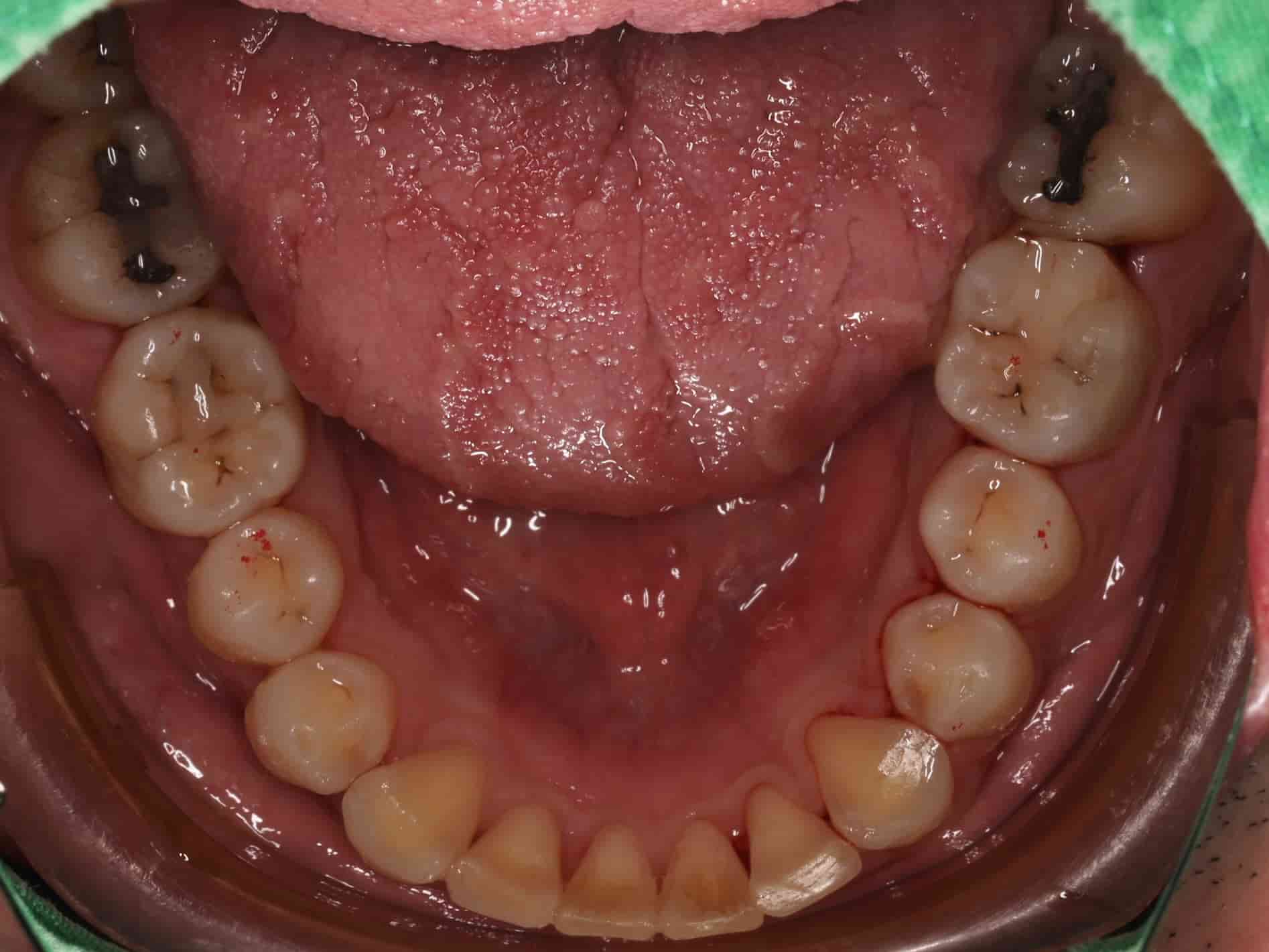
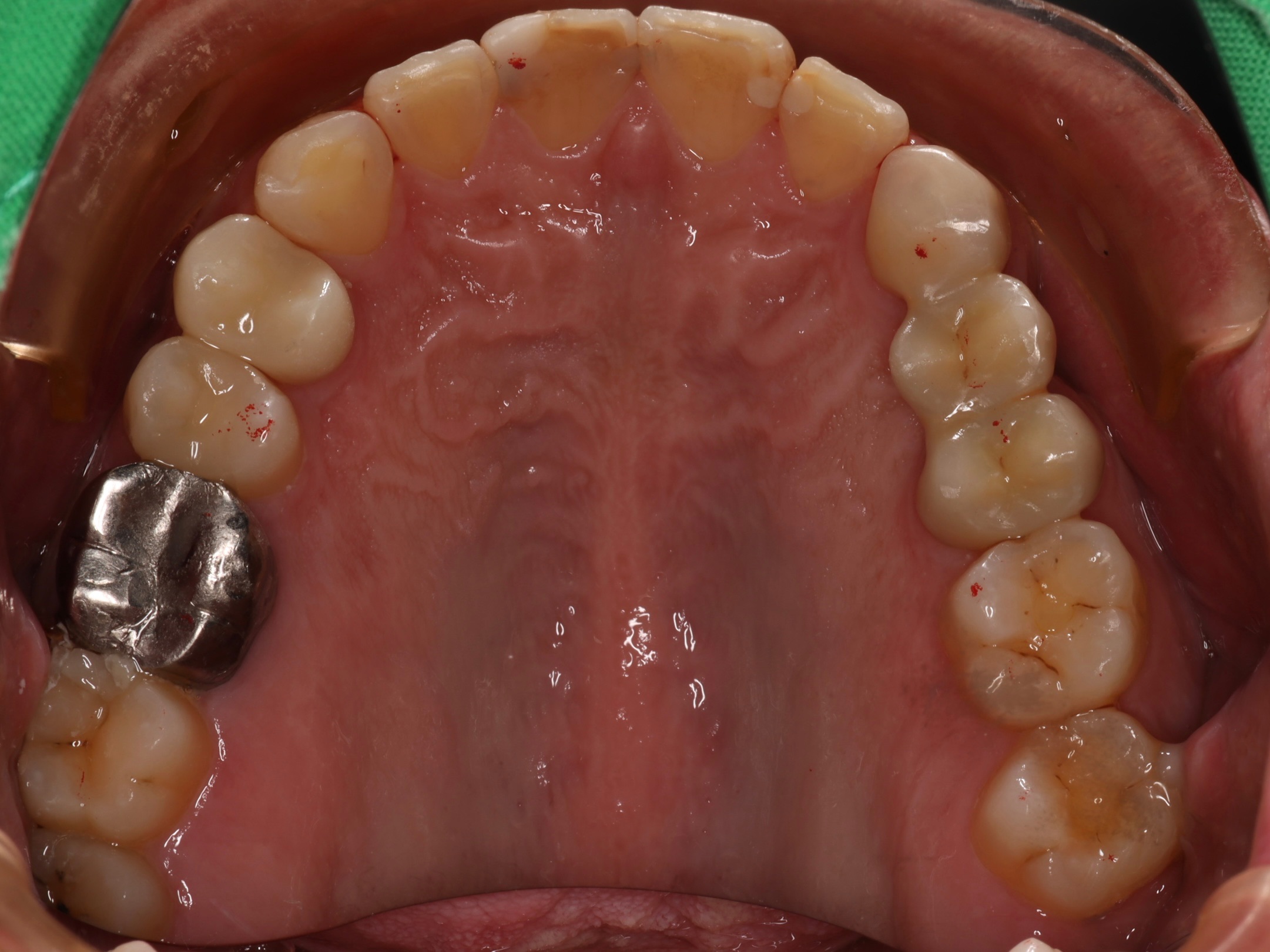
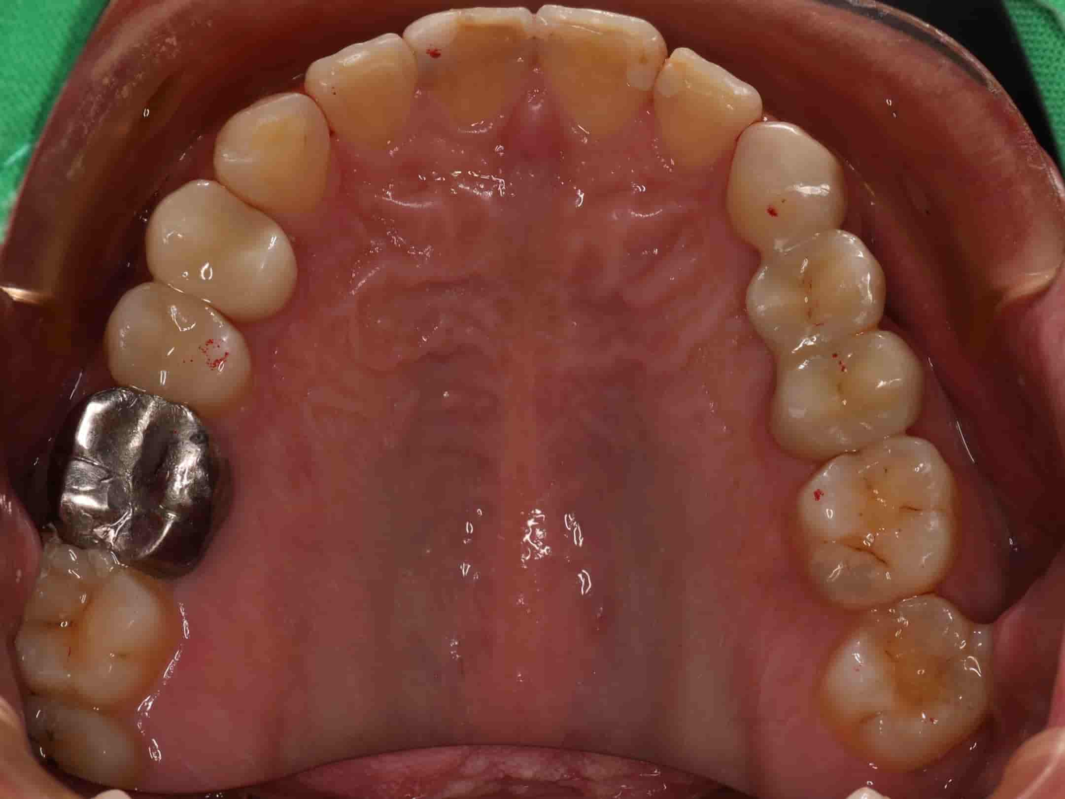
病患洪先生一開始因後牙劇烈疼痛前來森釉求診,經檢查發現蛀牙範圍相當廣泛,我們優先處理疼痛症狀,透過根管治療清除感染的齒質,並製作全瓷冠保護牙齒結構。接著我們進行全口的檢查,發現病患除了後牙蛀牙之外,口中有更複雜的牙齒問題需要解決。

牙齒磨耗嚴重
長期 #磨牙 習慣導致上下排牙齒出現明顯磨損與缺角,影響牙齒的功能性與美觀性。
複雜咬合問題
患者有嚴重的深咬狀況,前牙承受過度的咬合壓力,加上 #排列擁擠 造成咬合時受力分布不均。
老舊補牙材料問題
因早年外傷曾以樹脂修補,長時間材料明顯變色,影響美觀,同時內部產生二次蛀牙。
面對複雜的 #全口問題,我們必須考量整體性的治療規劃
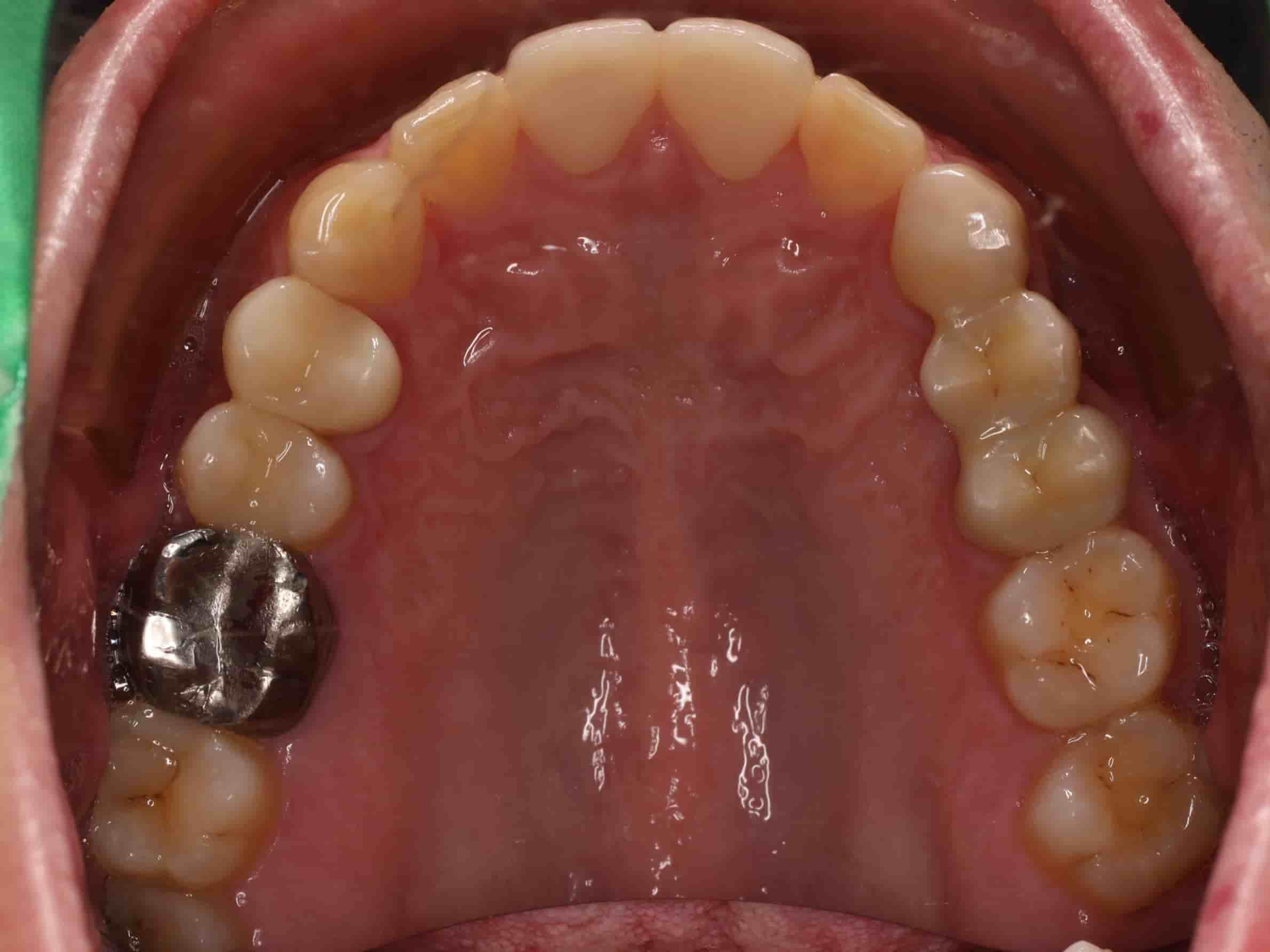
,如果只處理美觀問題,而不解決根本的咬合問題,新做的修復物也很容易再次受損。因此,患者充分討論後,我們決定採用階段性治療方式。第一階段先使用隱適美改善牙齒排列,調整咬合關係,讓牙齒受力更加平均,為後續治療建立良好基礎。
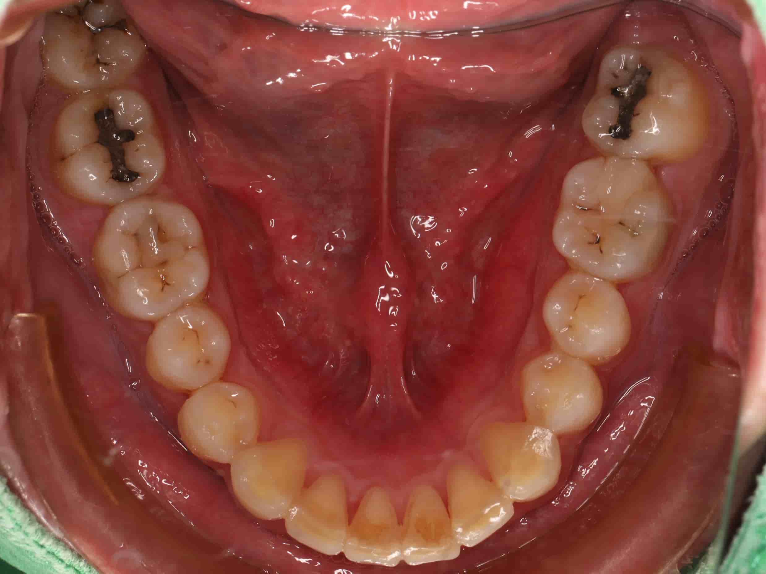
經過將近一年的 #隱適美治療,病患的口腔狀況有了明顯改善:
牙齒排列更加整齊
深咬問題獲得改善
咬合力分布更加平均,前牙承受的壓力降低

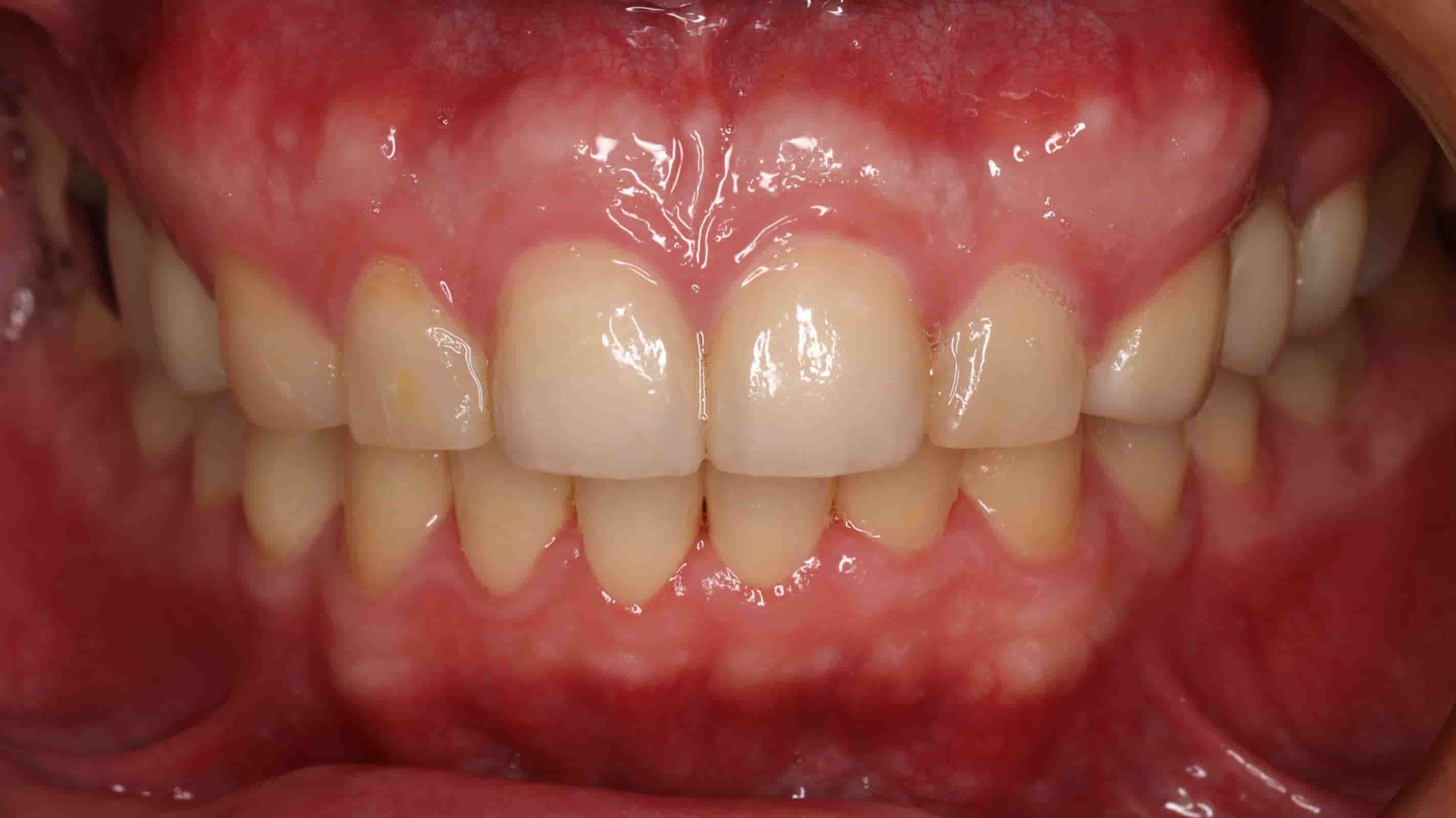
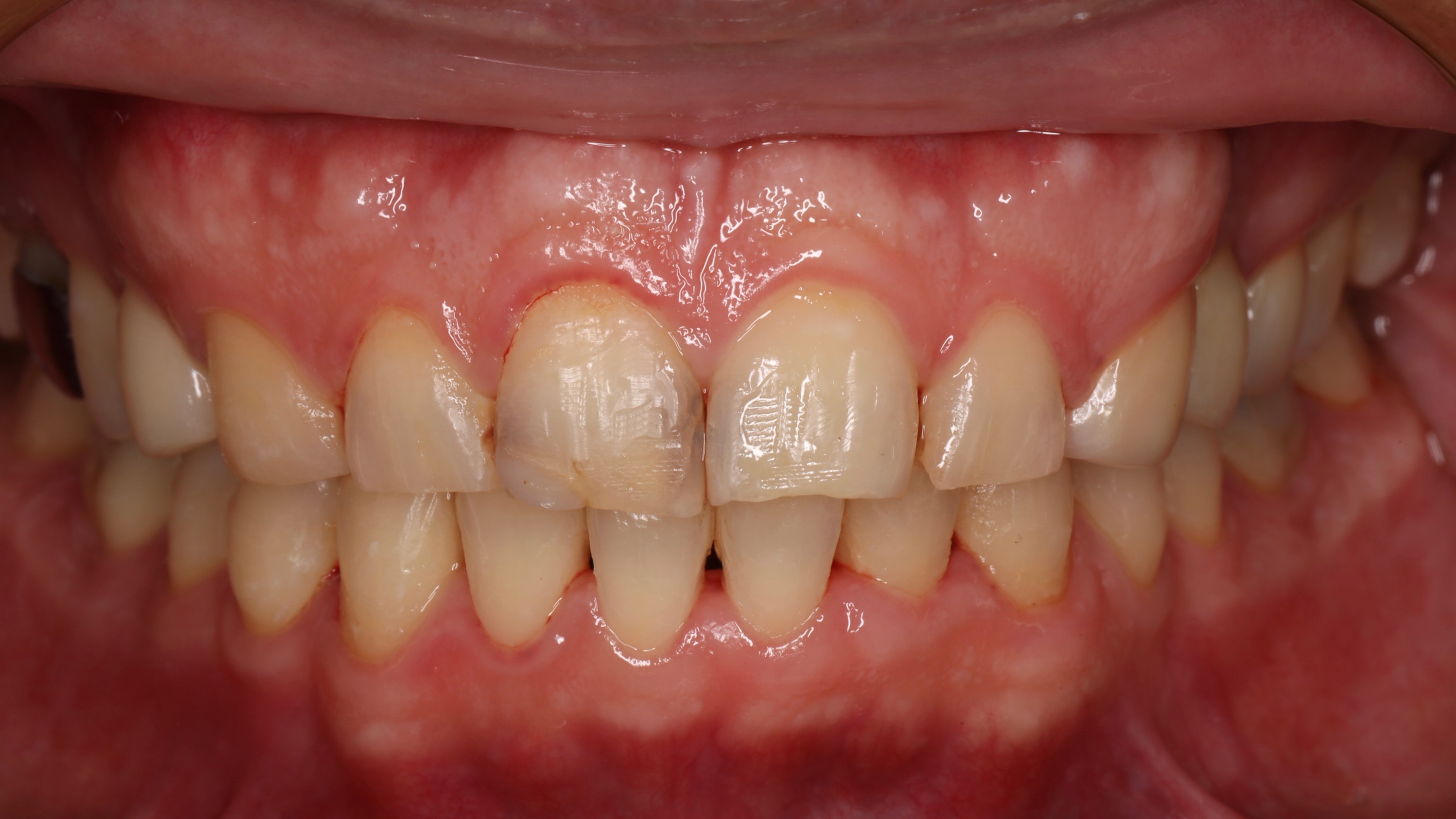
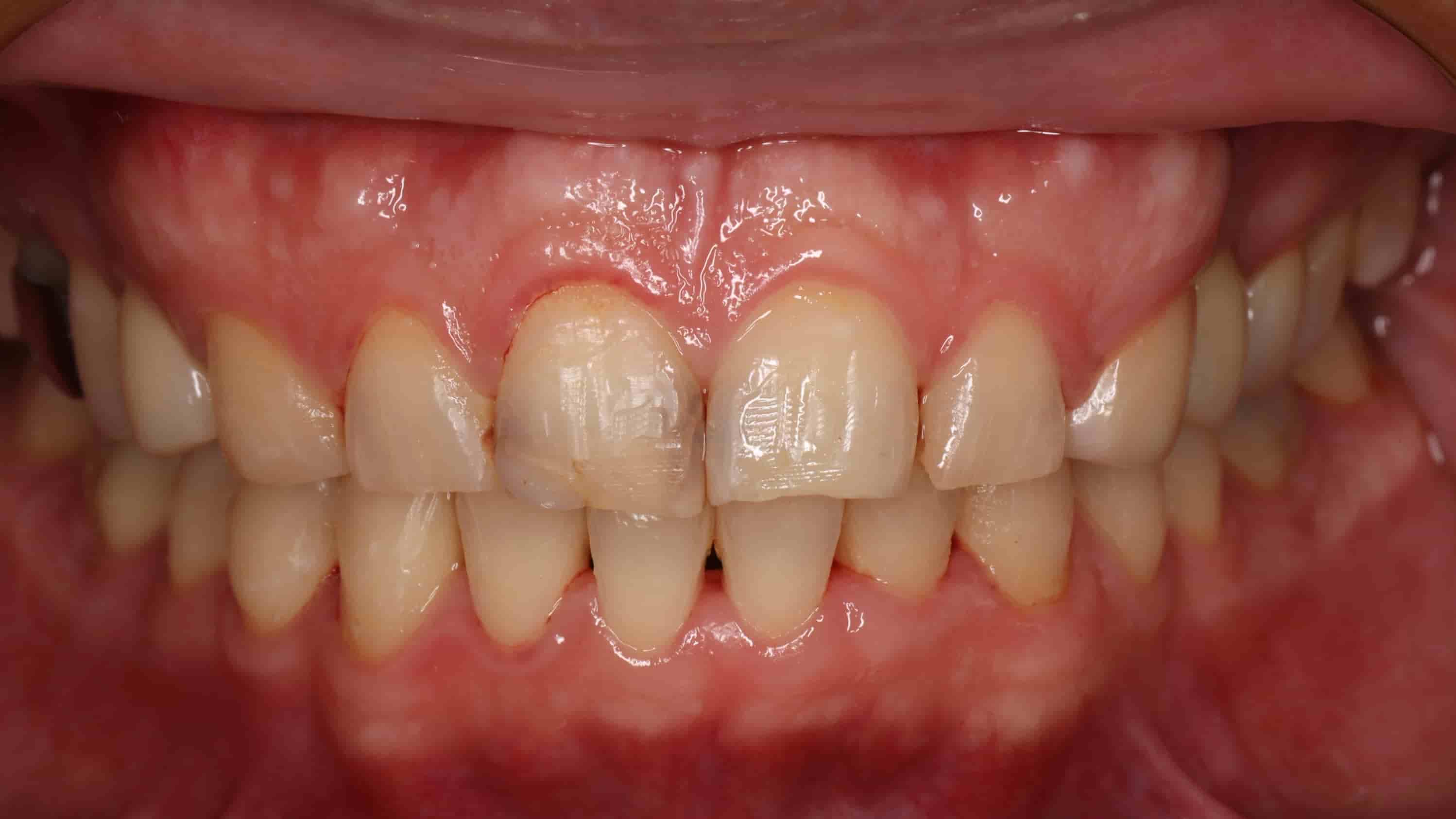
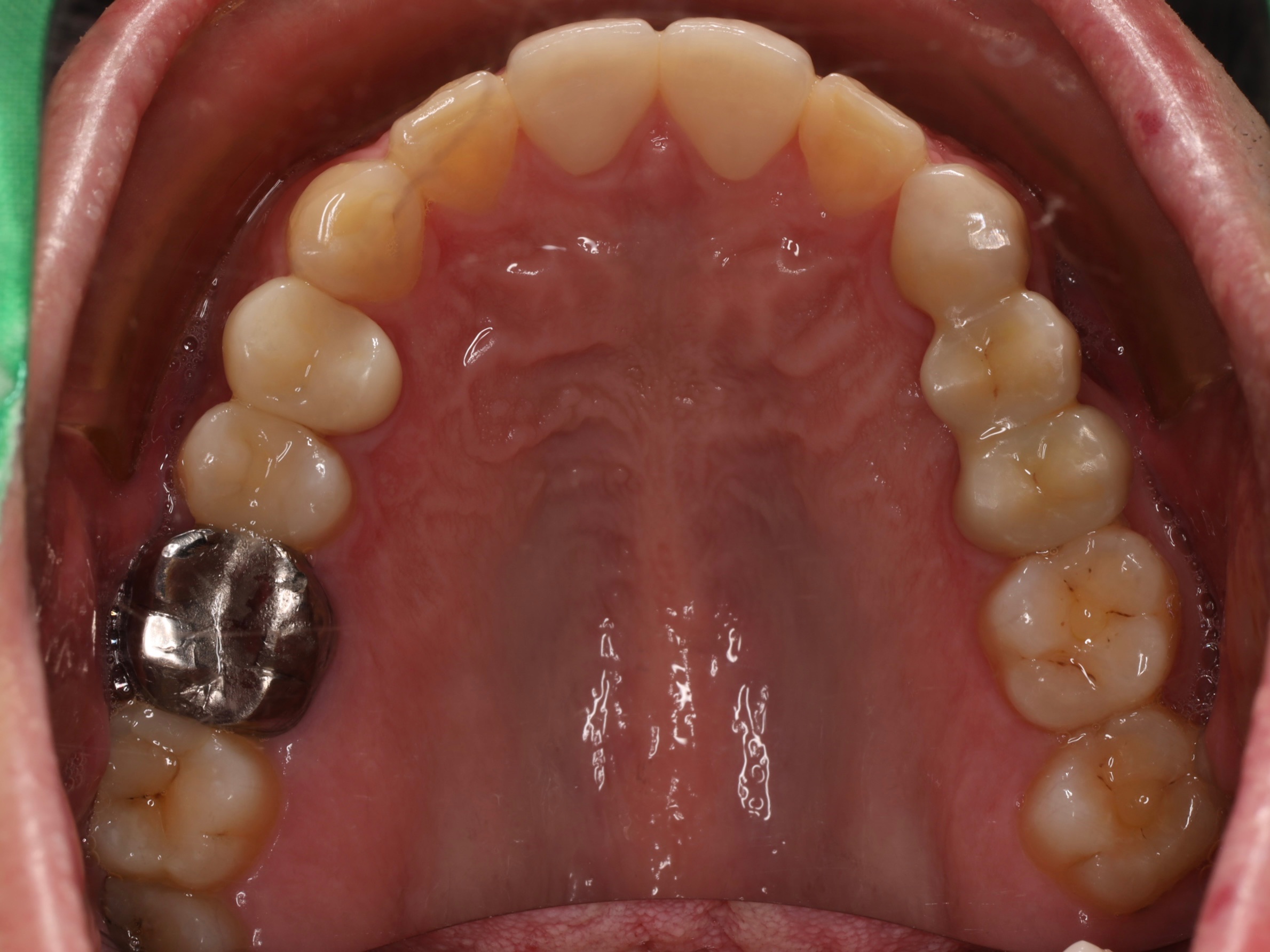
經過辛苦的矯正治療,牙齒終於排列整齊、咬合問題也獲得顯著改善,但這並不是治療的終點。接下來,我們開始進行前牙的精密修復工作,除了恢復牙齒的完整功能外,更希望讓病患重新擁有燦爛自信的笑容 。移除舊有填補物後,我們發現病患門牙內部的受損情況比預期更為嚴重 。如果仍然採用傳統樹脂填補的方式,由於修復範圍太大,樹脂材料與牙齒之間容易產生縫隙,導致二次蛀牙或材料脫落的風險。因此,經過與病患的詳細溝通與討論後 ,我們決定採用製作 #全瓷冠 的方式進行全面修復。
針對大範圍牙齒缺損,使用全瓷冠可以達到:
重建牙齒結構,保護剩餘齒質
解決變色問題,提供仿真的美觀效果
長久美觀效果,提供長期穩定的美觀效果,不易變色或磨損



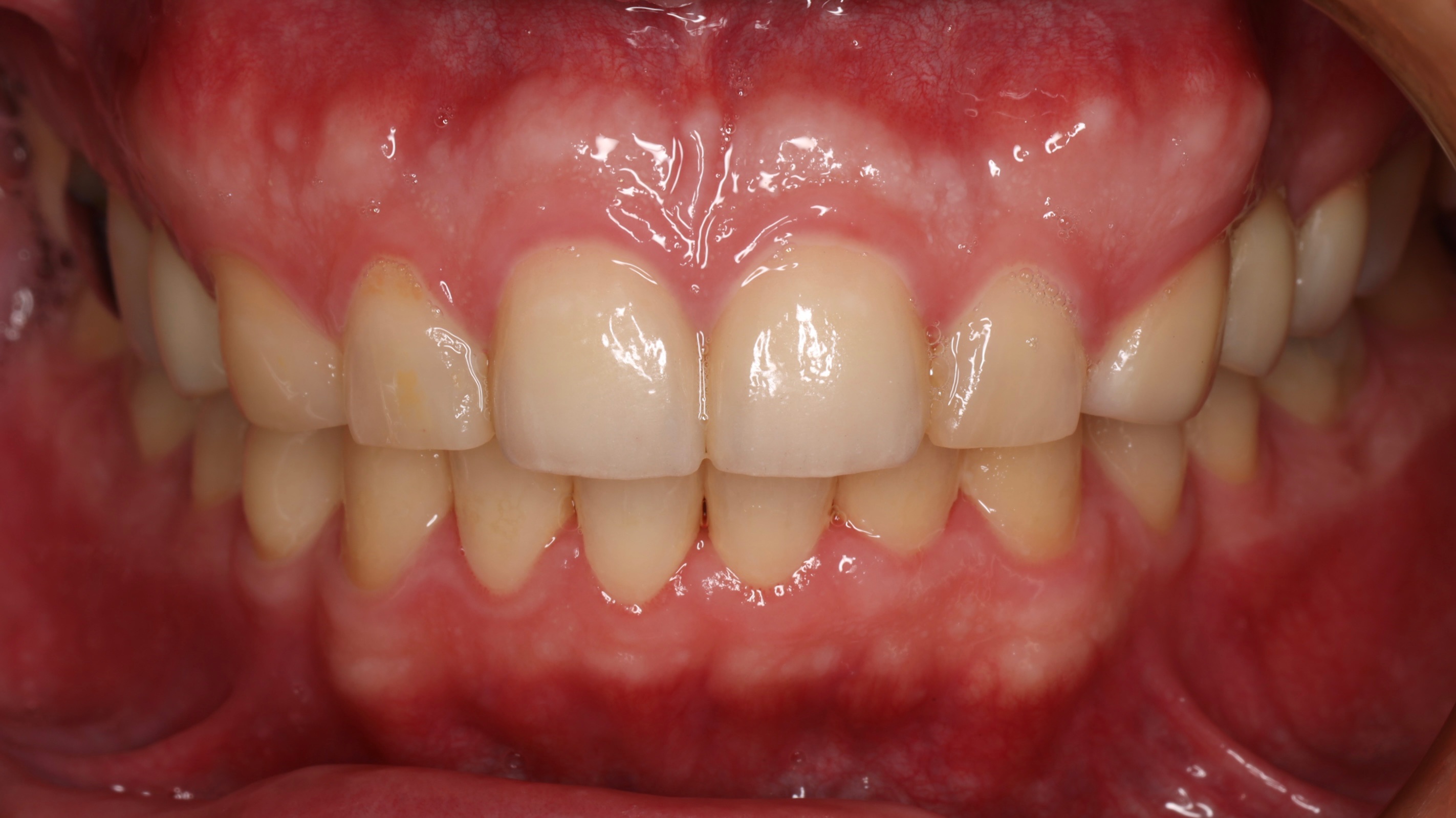
相對於門牙的嚴重受損情況,側門牙的問題較為輕微。我們精心選用與鄰近牙齒顏色相近的樹脂材料進行填補,成功解決了局部色塊問題,讓整體牙齒呈現和諧一致、自然美觀的效果。治療完成後,洪先生對結果非常滿意,他覺得整體口腔狀況改善了很多,牙齒顏色一致沒有色差問題,也解決了缺角的狀況,笑容變得更加自信燦爛,在功能上咬合力量分布平均,不會集中在特定牙齒上,牙齒壓力變小,使用上更放心,牙齒壽命也更長久。
透過完整治療過程,不僅幫助恢復了牙齒的健康與功能,更重新找回病患的自信與燦爛的笑容。 如果你也想擁有完美笑容,歡迎來森釉牙醫諮詢,感受不同以往的看診體驗!
| 森釉牙醫診所 | 預約專線:03-5797858
「這顆牙蛀得很深,我們需要先進行根管治療止痛,再做牙套保護。先處理完疼痛問題,後續進行完整的全口檢查,確保每一顆牙齒的狀況。」
病患洪先生一開始因後牙劇烈疼痛前來森釉求診,經檢查發現蛀牙範圍相當廣泛,我們優先處理疼痛症狀,透過根管治療清除感染的齒質,並製作全瓷冠保護牙齒結構。接著我們進行全口的檢查,發現病患除了後牙蛀牙之外,口中有更複雜的牙齒問題需要解決。

長期 #磨牙 習慣導致上下排牙齒出現明顯磨損與缺角,影響牙齒的功能性與美觀性。
患者有嚴重的深咬狀況,前牙承受過度的咬合壓力,加上 #排列擁擠 造成咬合時受力分布不均。
因早年外傷曾以樹脂修補,長時間材料明顯變色,影響美觀,同時內部產生二次蛀牙。
面對複雜的 #全口問題,我們必須考量整體性的治療規劃
經過將近一年的 #隱適美治療,病患的口腔狀況有了明顯改善:

經過辛苦的矯正治療,牙齒終於排列整齊、咬合問題也獲得顯著改善,但這並不是治療的終點。接下來,我們開始進行前牙的精密修復工作,除了恢復牙齒的完整功能外,更希望讓病患重新擁有燦爛自信的笑容 。移除舊有填補物後,我們發現病患門牙內部的受損情況比預期更為嚴重 。如果仍然採用傳統樹脂填補的方式,由於修復範圍太大,樹脂材料與牙齒之間容易產生縫隙,導致二次蛀牙或材料脫落的風險。因此,經過與病患的詳細溝通與討論後 ,我們決定採用製作 #全瓷冠 的方式進行全面修復。
針對大範圍牙齒缺損,使用全瓷冠可以達到:



相對於門牙的嚴重受損情況,側門牙的問題較為輕微。我們精心選用與鄰近牙齒顏色相近的樹脂材料進行填補,成功解決了局部色塊問題,讓整體牙齒呈現和諧一致、自然美觀的效果。治療完成後,洪先生對結果非常滿意,他覺得整體口腔狀況改善了很多,牙齒顏色一致沒有色差問題,也解決了缺角的狀況,笑容變得更加自信燦爛,在功能上咬合力量分布平均,不會集中在特定牙齒上,牙齒壓力變小,使用上更放心,牙齒壽命也更長久。
透過完整治療過程,不僅幫助恢復了牙齒的健康與功能,更重新找回病患的自信與燦爛的笑容。 如果你也想擁有完美笑容,歡迎來森釉牙醫諮詢,感受不同以往的看診體驗!
| 森釉牙醫診所 | 預約專線:03-5797858
