衛教專欄
隱適美矯正+全瓷假牙 | 讓灰暗牙齒煥然一新
「醫師,我覺得我的門牙顏色灰灰的不好看,而且比例看起來也怪怪的。」
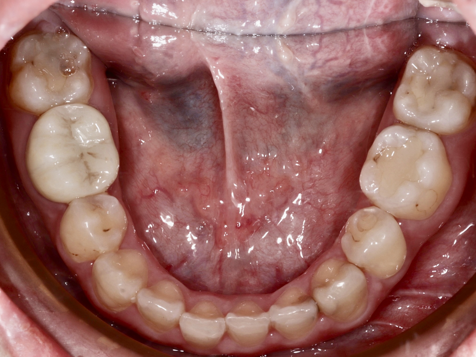
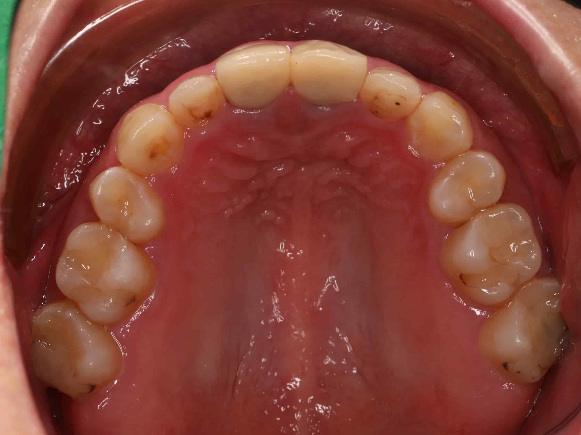
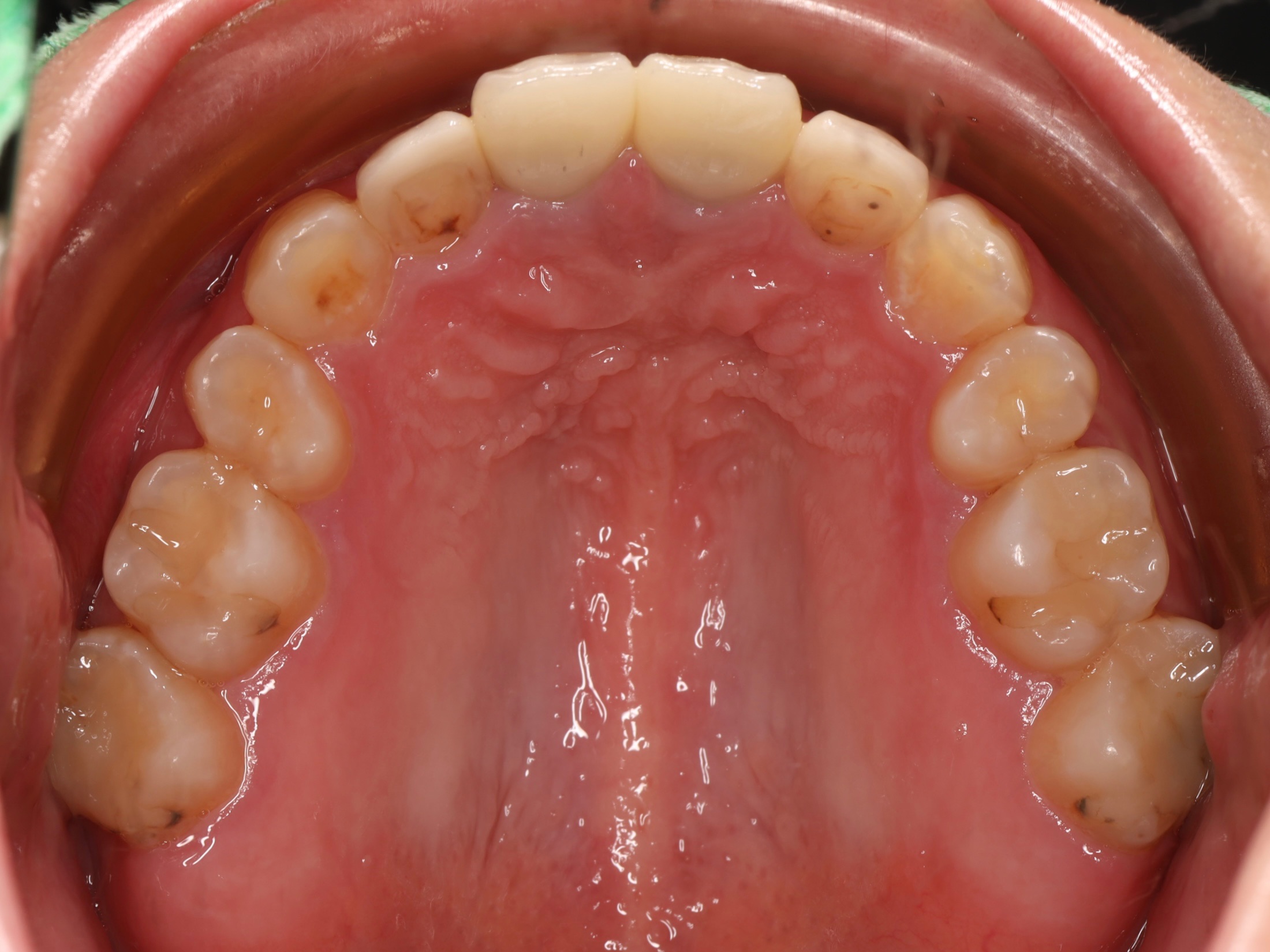
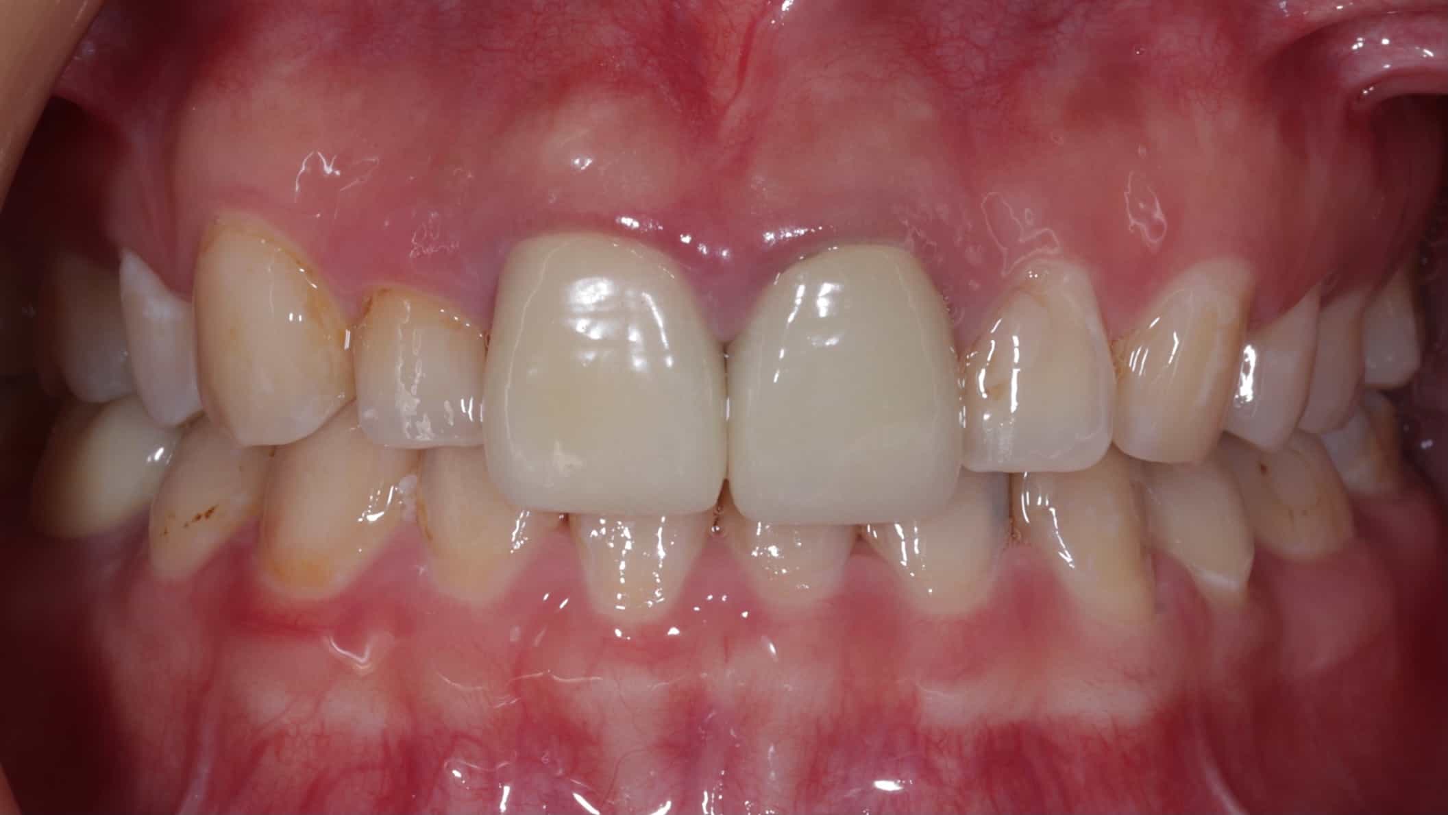
這位患者初次來到診所時,主要困擾在於門牙顏色不佳,加上正門牙過大、側門牙偏小,整體視覺比例不協調。因此來到森釉,希望能解決牙齒美觀的問題。
經過詳細的口腔檢查與資料搜集,我們歸納出幾個病患牙齒上需要解決的問題:


顏色問題:原本的門牙假牙顏色偏灰暗,看起來暗沉不美觀
比例失調:正門牙太大、側門牙太小,影響整體比例與和諧
角度異常:從側面觀察可以發現正中門牙有內凹的情形
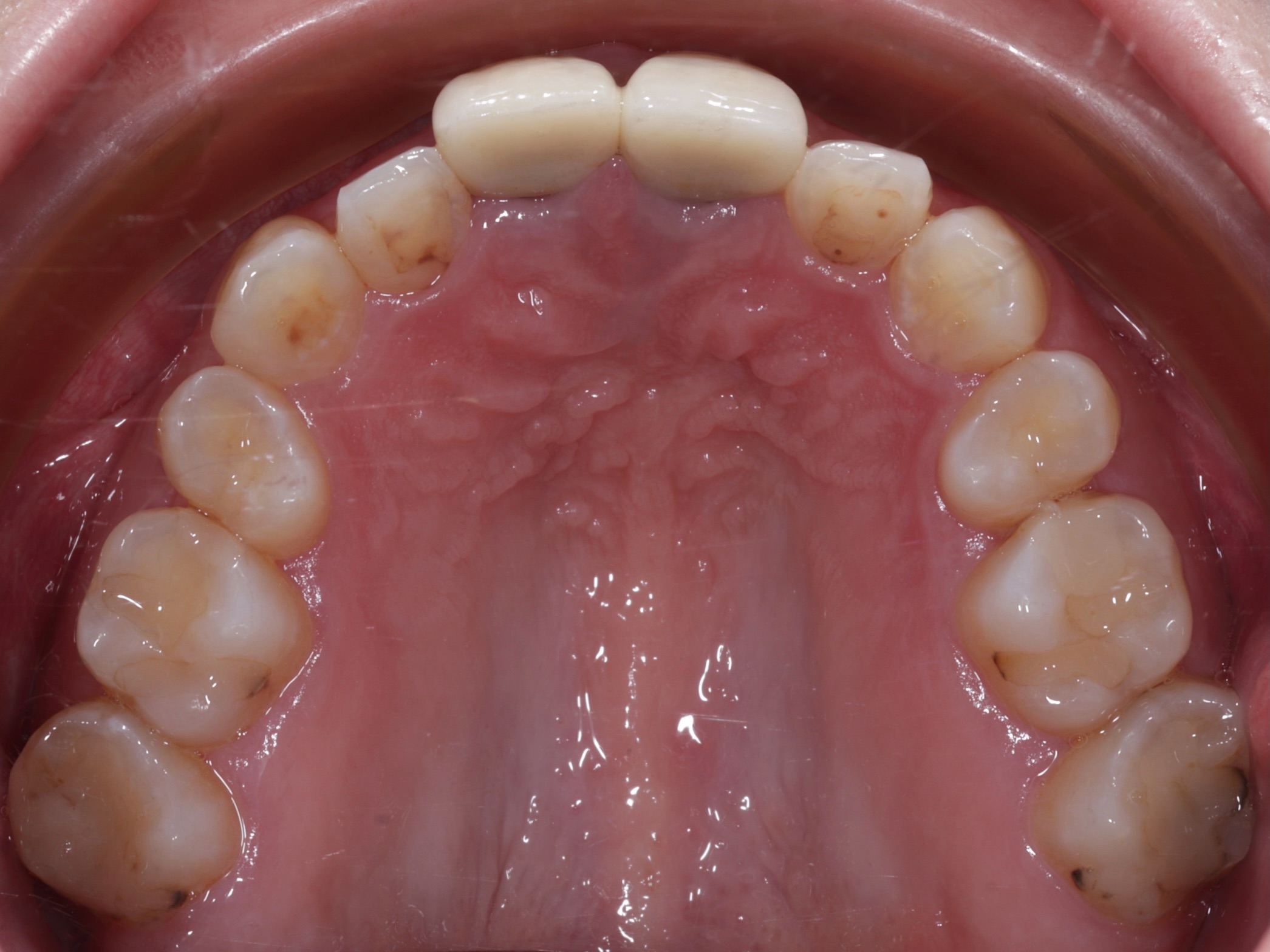
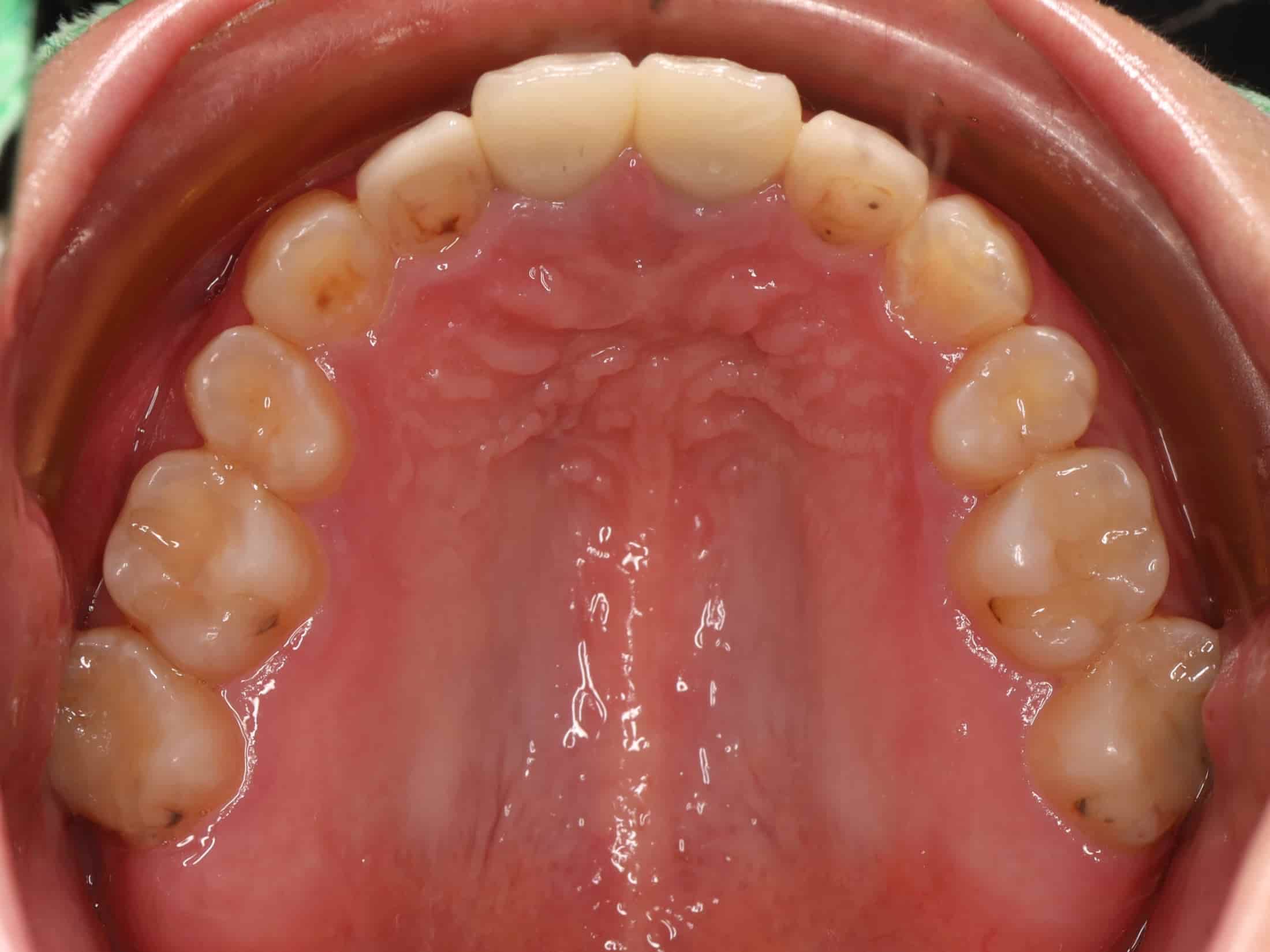
為了更全面的解決所有牙齒問題,我們為病患制定了 #隱適美矯正&全瓷修復 的兩階段治療方案,第一階段利用隱適美矯正改善牙齒的排列,調整內凹的正門牙角度,為後續全瓷治療留下足夠的空間。第二階段則藉由全瓷冠及全瓷貼片,打造完美的前牙美觀效果。在進行隱適美矯正期間,我們先將舊的假牙換成臨時假牙,除了改善原本灰暗的牙齒顏色,也藉由臨時假牙調整正門牙的形狀與比例,讓病患在治療過程中就能感受到美觀上的改變,保持自信的同時對最終成果有具體的期待。同時矯正時也為後續的全瓷修復做好準備,藉由將右邊側門牙刻意維持在較高的位置,並且在左右兩側保留些微空隙,預留貼片的空間。經過一段時間的隱適美矯正,病患的牙齒角度和排列明顯改善,牙齒排列整齊、咬合更加穩定、內凹的門牙回到標準的角度,透過矯正治療不只要讓牙齒排列整齊,更重要的是為後續的美學治療奠定良好的基礎。


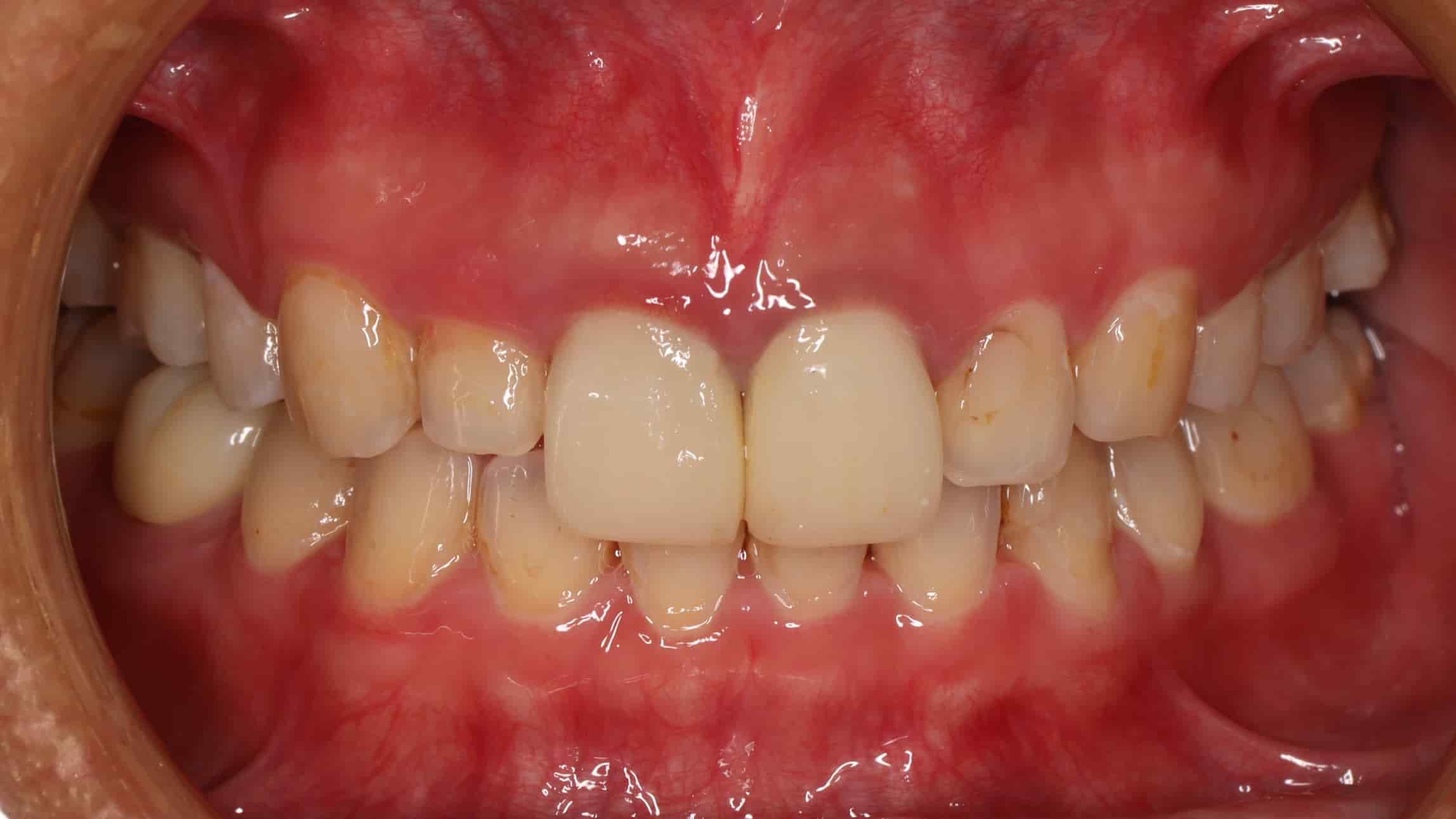
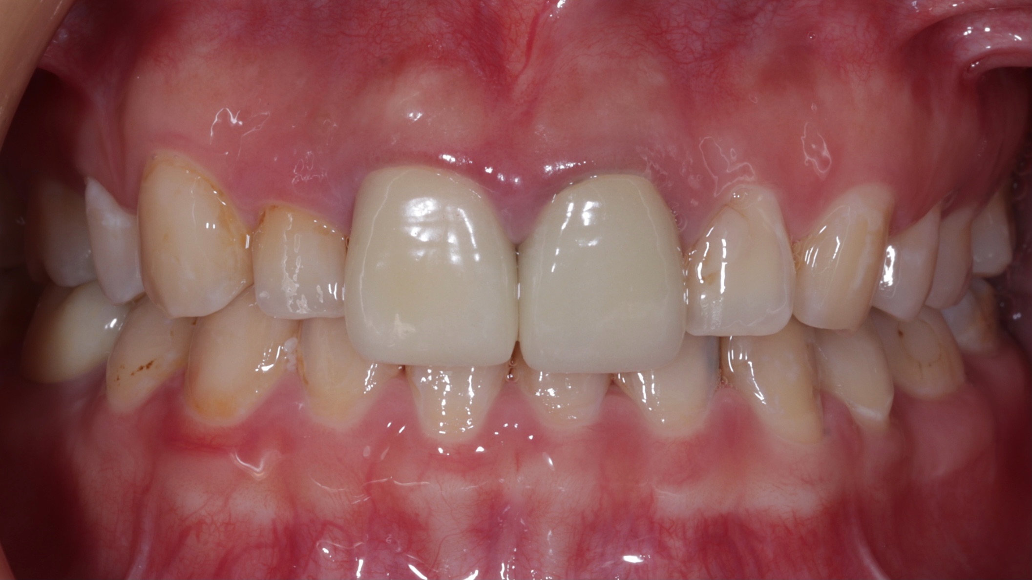
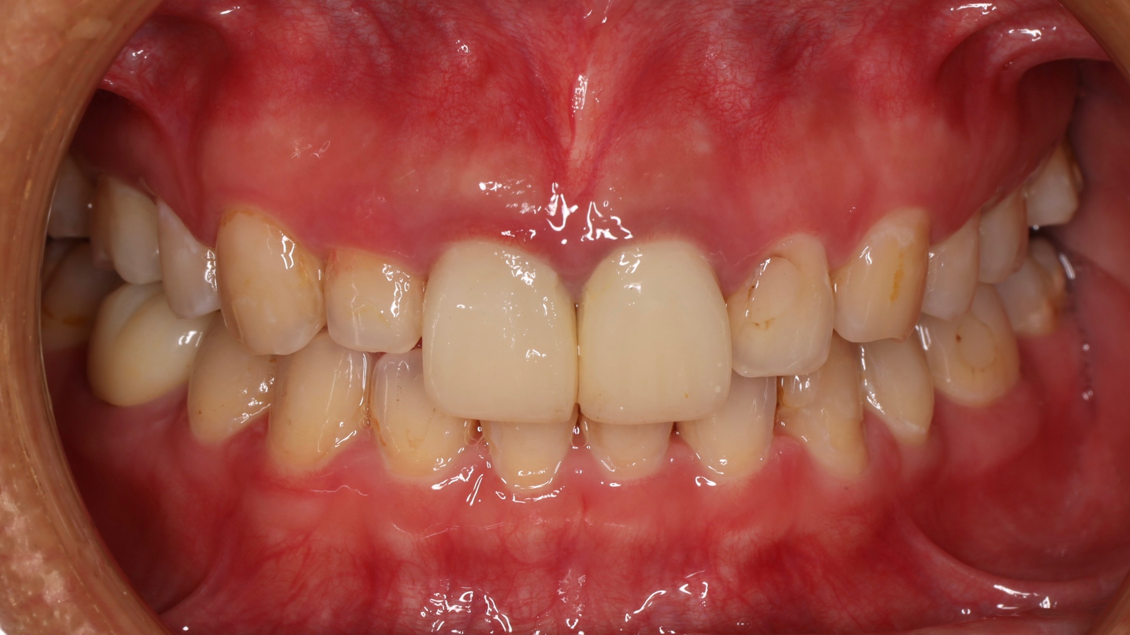
運用電腦模擬技術,我們精密計算每一顆牙齒的最佳狀態,透過調整門牙與側門牙的尺寸比例,解決牙齒過大過小的問題,創造出和諧自然的整體美感。並根據病患個人喜好與臉部特徵,將牙齒外型設計成圓潤中帶有方角的形狀,呈現出有氣質又不失可愛的感覺,最後選擇亮白透光性較佳的陶瓷材質,讓重建後的牙齒與患者原生牙齒完美融合,呈現最自然的視覺效果。


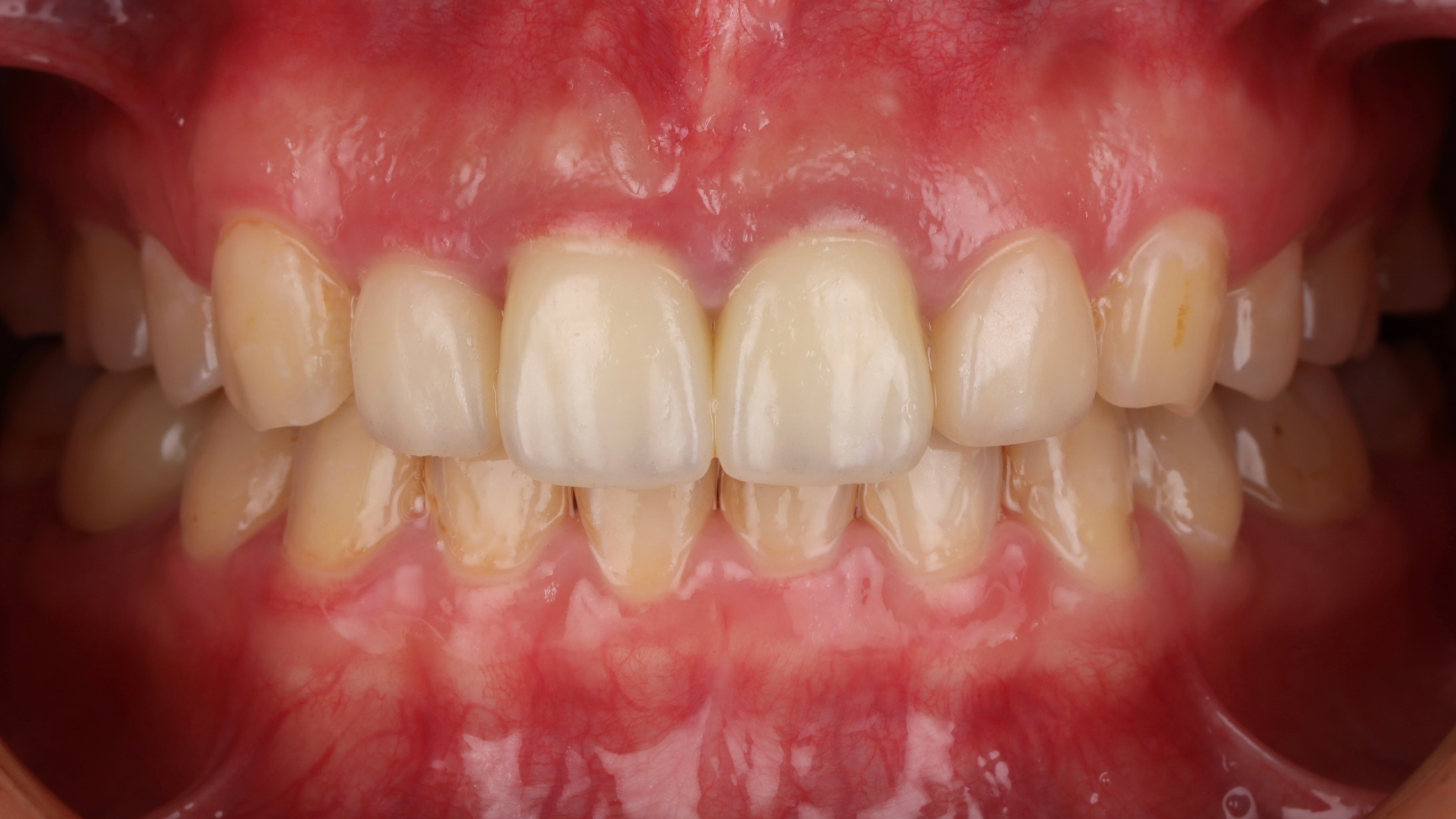
「從一開始覺得自己的牙齒又灰又醜,到現在可以毫無顧慮地大笑」


病患對於治療後的結果非常滿意,她的牙齒比例變得和諧自然,也擺脫了原本的灰暗感,展現亮白自然的光澤。牙齒排列整齊、咬合更穩定,呈現完美的微笑曲線。治療完成後,病患的氣質有著明顯的改變,不僅變得更加自信,笑容也更加燦爛!森釉牙醫團隊秉持專業精神,透過全面性評估、精密的治療前規劃,制定完整的個人化治療方案。藉由 #隱適美矯正+全瓷修復 的治療方式,改善基本的問題,再進行美觀上的重建,最後透過客製化的設計,為每位病患打造獨一無二的燦爛笑容。
如果你也想擁有完美笑容,歡迎來森釉牙醫諮詢,感受不同以往的看診體驗!
| 森釉牙醫診所 | 預約專線:03-5797858
這位患者初次來到診所時,主要困擾在於門牙顏色不佳,加上正門牙過大、側門牙偏小,整體視覺比例不協調。因此來到森釉,希望能解決牙齒美觀的問題。
經過詳細的口腔檢查與資料搜集,我們歸納出幾個病患牙齒上需要解決的問題:

為了更全面的解決所有牙齒問題,我們為病患制定了 #隱適美矯正&全瓷修復 的兩階段治療方案,第一階段利用隱適美矯正改善牙齒的排列,調整內凹的正門牙角度,為後續全瓷治療留下足夠的空間。第二階段則藉由全瓷冠及全瓷貼片,打造完美的前牙美觀效果。在進行隱適美矯正期間,我們先將舊的假牙換成臨時假牙,除了改善原本灰暗的牙齒顏色,也藉由臨時假牙調整正門牙的形狀與比例,讓病患在治療過程中就能感受到美觀上的改變,保持自信的同時對最終成果有具體的期待。同時矯正時也為後續的全瓷修復做好準備,藉由將右邊側門牙刻意維持在較高的位置,並且在左右兩側保留些微空隙,預留貼片的空間。經過一段時間的隱適美矯正,病患的牙齒角度和排列明顯改善,牙齒排列整齊、咬合更加穩定、內凹的門牙回到標準的角度,透過矯正治療不只要讓牙齒排列整齊,更重要的是為後續的美學治療奠定良好的基礎。


運用電腦模擬技術,我們精密計算每一顆牙齒的最佳狀態,透過調整門牙與側門牙的尺寸比例,解決牙齒過大過小的問題,創造出和諧自然的整體美感。並根據病患個人喜好與臉部特徵,將牙齒外型設計成圓潤中帶有方角的形狀,呈現出有氣質又不失可愛的感覺,最後選擇亮白透光性較佳的陶瓷材質,讓重建後的牙齒與患者原生牙齒完美融合,呈現最自然的視覺效果。


「從一開始覺得自己的牙齒又灰又醜,到現在可以毫無顧慮地大笑」


病患對於治療後的結果非常滿意,她的牙齒比例變得和諧自然,也擺脫了原本的灰暗感,展現亮白自然的光澤。牙齒排列整齊、咬合更穩定,呈現完美的微笑曲線。治療完成後,病患的氣質有著明顯的改變,不僅變得更加自信,笑容也更加燦爛!森釉牙醫團隊秉持專業精神,透過全面性評估、精密的治療前規劃,制定完整的個人化治療方案。藉由 #隱適美矯正+全瓷修復 的治療方式,改善基本的問題,再進行美觀上的重建,最後透過客製化的設計,為每位病患打造獨一無二的燦爛笑容。
如果你也想擁有完美笑容,歡迎來森釉牙醫諮詢,感受不同以往的看診體驗!
| 森釉牙醫診所 | 預約專線:03-5797858
