衛教專欄
牙齒矯正 | 笑容不再往內縮!矯正改善前牙錯咬,找回開朗自信
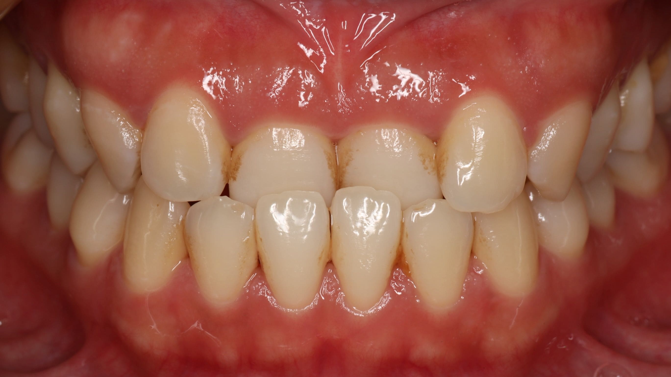
「醫師,我的牙齒顏色有點深,而且笑起來感覺門牙往內縮,好像有點戽斗...」
這位病患初次來到診所時,最在意的就是前牙區的美觀問題。經過仔細檢查,我們發現她的牙齒除了色素沉澱,更嚴重的是咬合關係不正確,下排前牙咬在上排前牙外側,造成前牙錯咬,加上在笑時上門牙略為內傾,整體看起來往後縮,輕微戽斗的狀況讓她的笑容少了一份自信與開朗。由於病患在意的問題與笑容呈現息息相關,治療前的資料蒐集格外重要。透過X光片、人像照及不同角度的口內照,我們仔細分析牙齒排列、骨頭位置與咬合關係,評估能否透過矯正達到理想的改善效果,經過詳細分析並與病患充分溝通,我們擬定治療計畫,正式展開為期兩年的矯正療程。


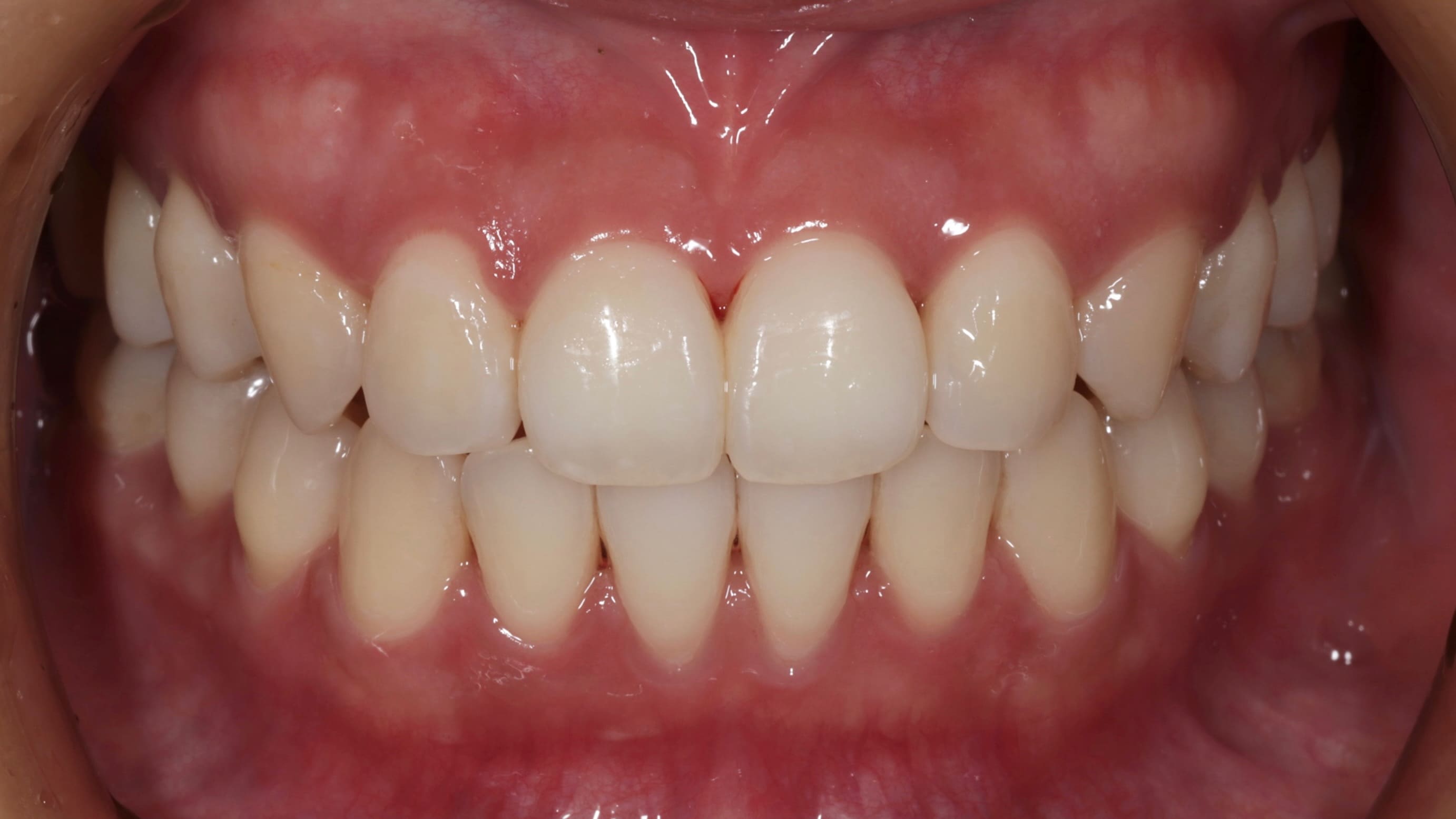
矯正過程中,一切進展都相當順利!令我們印象深刻的是,病患對矯正的適應程度超乎預期。她表示矯正期間的疼痛或不適感都比原本想像的輕微許多,不會太不舒服,這讓她能更安心、更有信心地持續配合治療。兩年後,當我們確認所有咬合都已穩定,矯正旅程便正式告一段落,為了讓整體效果更加完美,我們也針對牙齒表面的色素沉澱進行噴砂美白處理,讓病患擁有一口潔白乾淨、整齊美麗的牙齒。


矯正結束後的改變真的非常大!從X光片對比可清楚看出差異:無論是骨頭位置或牙齒排列,都與治療前有明顯改善,原本錯誤的咬合關係獲得矯正,牙齒回到各自該有的位置,整體和諧感大幅提升。笑容與治療前相比煥然一新,彷彿變了一個人,更有自信也更加開朗!


如果你也想改善變色牙齒,歡迎來森釉牙醫諮詢,感受不同以往的看診體驗!
| 森釉牙醫診所 | 預約專線:03-5797858
這位病患初次來到診所時,最在意的就是前牙區的美觀問題。經過仔細檢查,我們發現她的牙齒除了色素沉澱,更嚴重的是咬合關係不正確,下排前牙咬在上排前牙外側,造成前牙錯咬,加上在笑時上門牙略為內傾,整體看起來往後縮,輕微戽斗的狀況讓她的笑容少了一份自信與開朗。由於病患在意的問題與笑容呈現息息相關,治療前的資料蒐集格外重要。透過X光片、人像照及不同角度的口內照,我們仔細分析牙齒排列、骨頭位置與咬合關係,評估能否透過矯正達到理想的改善效果,經過詳細分析並與病患充分溝通,我們擬定治療計畫,正式展開為期兩年的矯正療程。


矯正過程中,一切進展都相當順利!令我們印象深刻的是,病患對矯正的適應程度超乎預期。她表示矯正期間的疼痛或不適感都比原本想像的輕微許多,不會太不舒服,這讓她能更安心、更有信心地持續配合治療。兩年後,當我們確認所有咬合都已穩定,矯正旅程便正式告一段落,為了讓整體效果更加完美,我們也針對牙齒表面的色素沉澱進行噴砂美白處理,讓病患擁有一口潔白乾淨、整齊美麗的牙齒。


矯正結束後的改變真的非常大!從X光片對比可清楚看出差異:無論是骨頭位置或牙齒排列,都與治療前有明顯改善,原本錯誤的咬合關係獲得矯正,牙齒回到各自該有的位置,整體和諧感大幅提升。笑容與治療前相比煥然一新,彷彿變了一個人,更有自信也更加開朗!


如果你也想改善變色牙齒,歡迎來森釉牙醫諮詢,感受不同以往的看診體驗!
| 森釉牙醫診所 | 預約專線:03-5797858
