衛教專欄
牙齒矯正 | 牙齒凸排列亂,矯正治療同步改善臉型輪廓
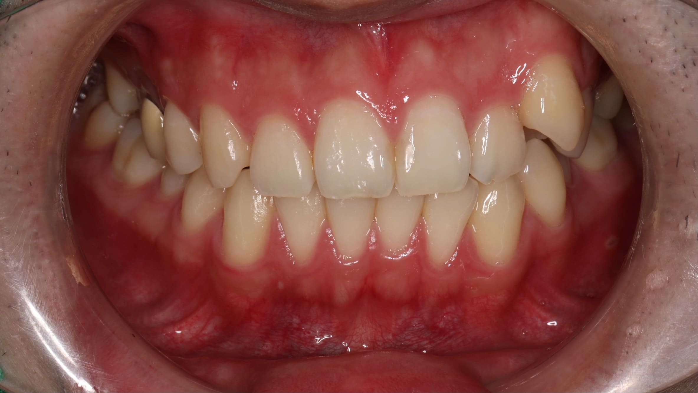
「有一顆虎牙往外凸,連嘴巴看起來都凸凸的……」
帶著這樣的煩惱,患者第一次走進了森釉的診間,希望我們能夠解決他的煩惱。



經過詳細的檢查後,我們發現患者主要問題有三個,包含:
左上犬齒明顯外凸
整體齒列排列不整齊
上唇略顯前突,影響側臉輪廓
進一步評估後,確認患者的狀況主因是由於牙弓空間不足,牙齒因爲無處可去而被迫向外擠出,針對這樣的狀況,我們為患者規劃了拔牙矯正的治療計畫,藉由拔除上下左右各一顆小臼齒,釋放足夠的空間,讓擁擠外凸的牙齒能順勢內縮,進而重新排列出整齊、協調的齒列。



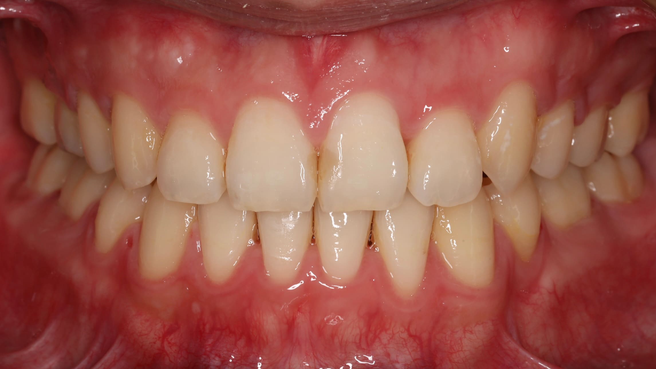
矯正療程歷時約兩年半,隨著牙齒內縮與排列調整,患者的虎牙外凸與齒列不整都獲得改善,牙齒中線也逐漸對齊,整體笑容看起來更加協調自然。不僅如此,由於牙齒整體後縮連帶修飾了原本略顯前突的上唇線條,側臉輪廓因此變得更加立體,為矯正後的成果額外加分!



對於這樣的改變,患者感到非常滿意,從笑容的整齊度,到側臉的輪廓線條,每一個細節都朝著更好的方向改變,我們也很開心能夠讓患者找回開懷大笑的自信。
如果你也想改善不整齊的牙齒,歡迎來森釉牙醫諮詢,感受不同以往的看診體驗!
| 森釉牙醫診所 | 預約專線:03-5797858
帶著這樣的煩惱,患者第一次走進了森釉的診間,希望我們能夠解決他的煩惱。



經過詳細的檢查後,我們發現患者主要問題有三個,包含:
進一步評估後,確認患者的狀況主因是由於牙弓空間不足,牙齒因爲無處可去而被迫向外擠出,針對這樣的狀況,我們為患者規劃了拔牙矯正的治療計畫,藉由拔除上下左右各一顆小臼齒,釋放足夠的空間,讓擁擠外凸的牙齒能順勢內縮,進而重新排列出整齊、協調的齒列。



矯正療程歷時約兩年半,隨著牙齒內縮與排列調整,患者的虎牙外凸與齒列不整都獲得改善,牙齒中線也逐漸對齊,整體笑容看起來更加協調自然。不僅如此,由於牙齒整體後縮連帶修飾了原本略顯前突的上唇線條,側臉輪廓因此變得更加立體,為矯正後的成果額外加分!



對於這樣的改變,患者感到非常滿意,從笑容的整齊度,到側臉的輪廓線條,每一個細節都朝著更好的方向改變,我們也很開心能夠讓患者找回開懷大笑的自信。
如果你也想改善不整齊的牙齒,歡迎來森釉牙醫諮詢,感受不同以往的看診體驗!
| 森釉牙醫診所 | 預約專線:03-5797858
