衛教專欄
隱適美矯正 | 矯正翻轉缺牙困擾,重建完美自信笑容
「醫師,我覺得牙齒有點不整齊,下巴也有點往前凸的感覺...」
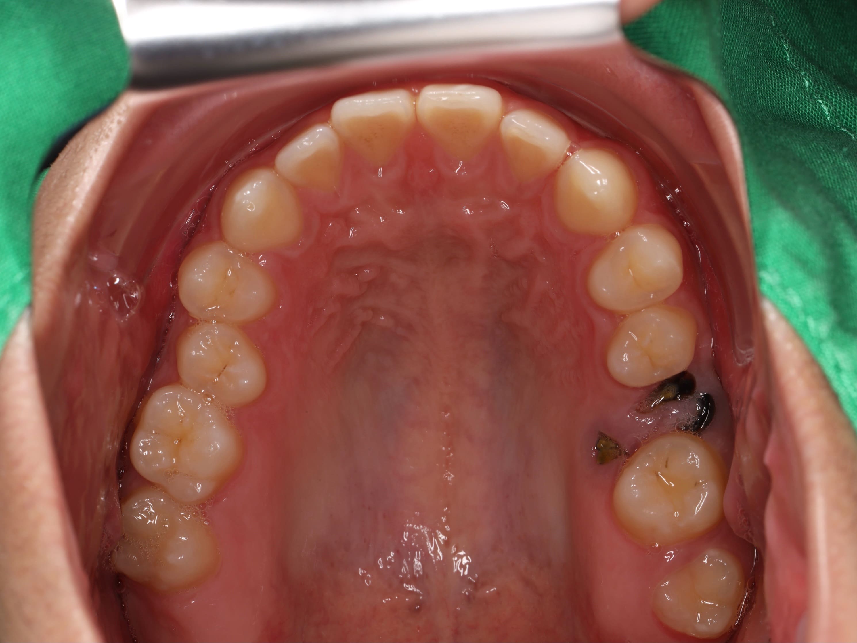
病患在三年前第一次來到森釉診所,當時的主訴是因為覺得自己的牙齒排列不夠整齊,特別是後方缺牙的地方,旁邊的牙齒已經開始往缺牙處倒塌,加上下巴有些往前突出的情況,希望我們能夠幫他進行完整的矯正評估和治療規劃。




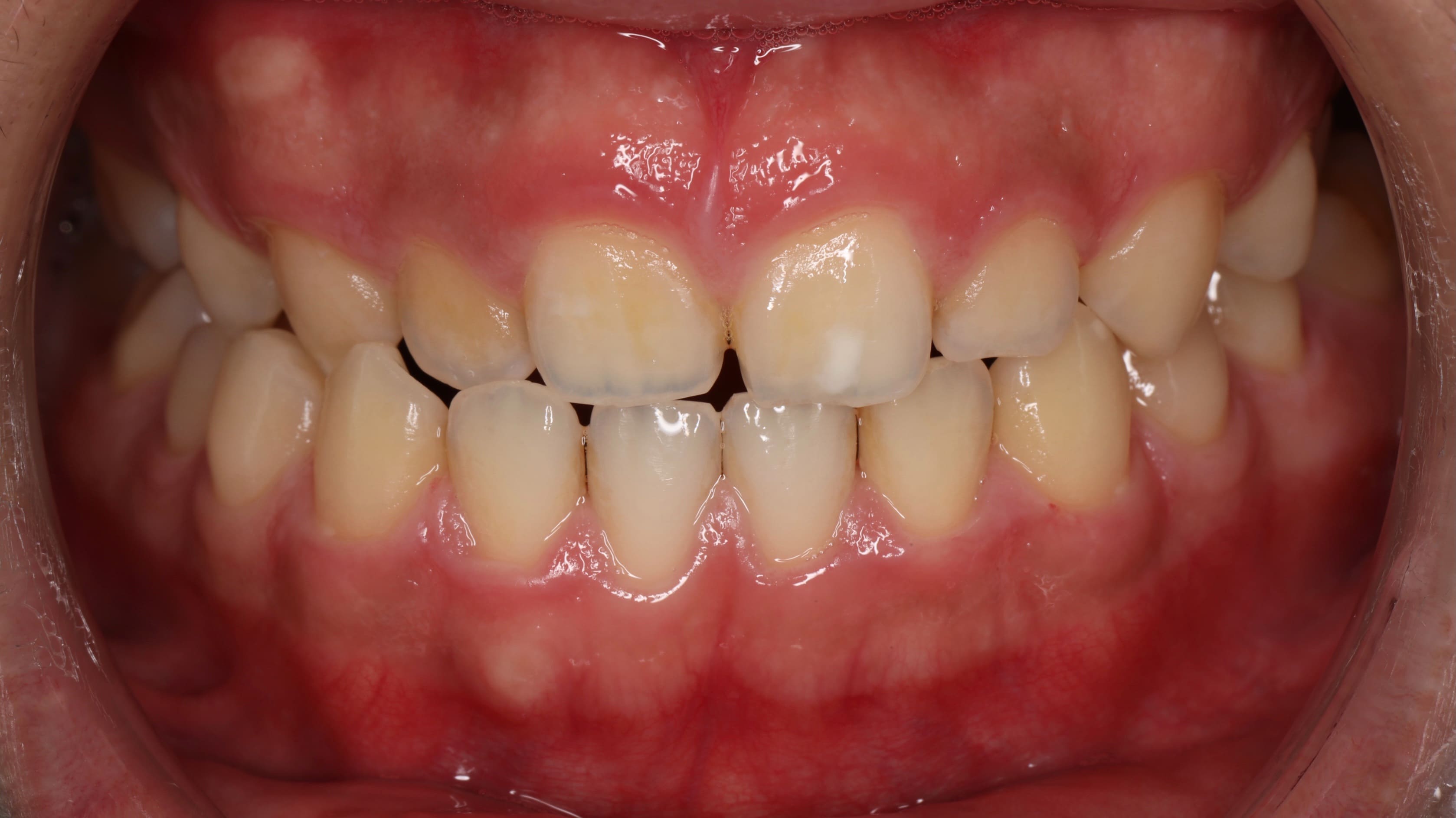
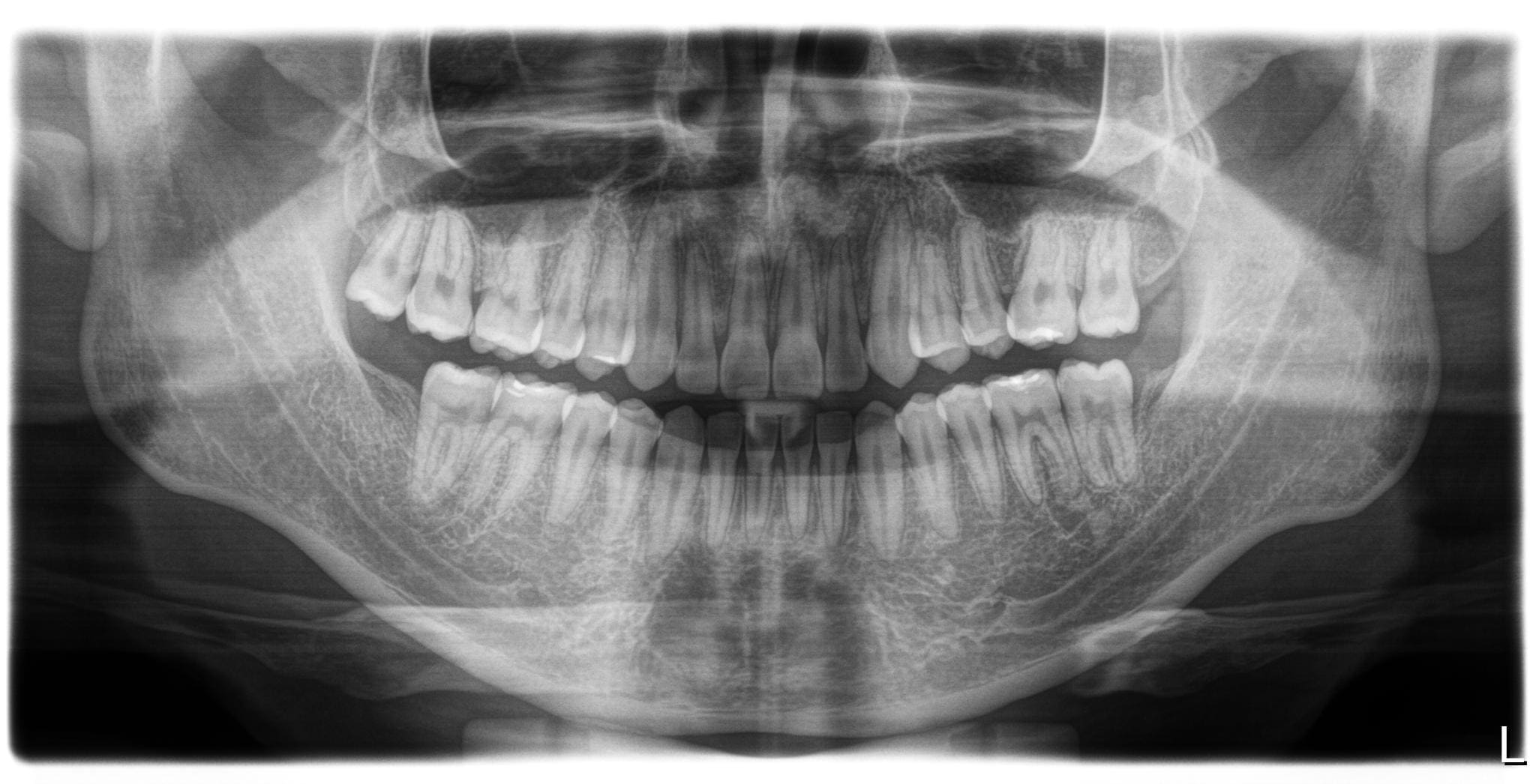
經過仔細檢查後,我們發現病患的口腔狀況存在幾個需要處理的問題。首先是左上方的臼齒因為嚴重蛀牙只剩下牙根,導致兩側的牙齒失去支撐而逐漸傾倒,進而影響了整體的牙齒排列。另外,下排牙齒有錯咬的狀況,造成下巴看起來往前凸。除此之外,由於病患本身的牙齒比例偏短,笑的時候牙齦露出的面積相對比較多,影響了整體的美觀性。
針對這些問題,我們擬定了完整的治療方案。首先,利用矯正的方式,將後方的第二大臼齒和智齒慢慢往前移動,填補缺牙的空間,同時調整上下排牙齒的咬合關係,讓錯咬的情況回復到正常的咬合狀態。當矯正治療完成後,病患的狀況其實已經改善了許多。




為了讓笑容更加完美,我們接著運用雷射方式進行微創的牙冠增長術,調整前牙美觀區牙齦的高度,讓牙齦和牙齒的比例更協調,整體笑容線條也更加自然。


完成所有療程後,病患的笑容真的煥然一新!不僅外觀上有了明顯的改變,整個人也變得更愛笑、更有自信了。
如果你也有牙齒倒塌的問題,歡迎來森釉牙醫諮詢,感受不同以往的看診體驗!
| 森釉牙醫診所 | 預約專線:03-5797858
