門牙斷掉怎麼辦?斷牙急救黃金步驟與治療方式、費用一次看
生活中難免發生門牙斷掉的意外,無論是車禍撞擊、跌倒滑倒、運動碰撞,或咬到骨頭、硬糖等硬物,都可能造成牙齒缺角斷裂甚至整顆脫落。門牙位於最前方,一旦受傷不僅影響外觀,也可能傷及神經與牙根。遇到斷牙時切勿慌張,只要依照正確急救流程處理,並在黃金時間內就醫,多數情況都有機會修復外型與功能。
門牙斷掉別慌張!第一時間斷牙急救的黃金3步驟
第一步:尋找斷裂的牙齒碎片
門牙斷裂時請先冷靜,避免情緒慌亂影響判斷。立即在現場尋找掉落的牙齒碎片或整顆牙齒,檢查是否完整。若碎片保存良好,牙醫有機會將原齒黏回,外觀與色澤會較自然。尋找時避免踩踏或污染牙齒表面,輕拿輕放,以提高後續成功修復的機率。
第二步:正確保存斷裂的牙齒
撿到牙齒碎片後,切勿用衛生紙包覆或乾放口袋,乾燥會降低成功率。應將碎片放入冰牛奶或生理食鹽水中保存;若無容器,可暫時含在舌下保持濕潤。若為整顆牙齒脫落,只能握持牙冠,切勿刷洗或摩擦牙根,以免破壞表面細胞。
第三步:把握斷牙後的黃金一小時
牙齒脫落後,牙根表面細胞的存活率會隨時間快速下降。超過一小時,再植成功率會大幅降低。即使只是缺角或裂痕,也可能有內部損傷未立即顯現。建議在意外發生後儘速就醫,由牙醫評估是否需要修補、固定或進一步治療,避免延誤造成感染與惡化。
我的斷牙嚴重嗎?門牙斷掉的4種程度分級
輕微斷牙:牙釉質受損
若斷裂僅限於最外層琺瑯質,常見為小缺角或邊緣粗糙,通常無疼痛感,牙髓神經未受影響。雖屬輕度損傷,仍可能影響外觀與咬合邊緣平順度。治療上可透過精細修磨與拋光改善形態,或以光固化樹脂填補缺損,使齒面恢復完整。若對色澤與比例要求較高,可評估陶瓷貼片重建外型與透光感,提升整體自然度與耐用性。
輕中度斷牙:牙本質暴露
當裂痕延伸至第二層象牙質,牙齒會對冷熱刺激產生明顯敏感或酸軟不適。雖尚未傷及牙髓神經,但象牙質小管開放,細菌容易入侵引發發炎或疼痛加劇。治療重點在於封閉暴露區域並恢復結構強度,常採用陶瓷貼片重建缺損範圍。透過精密黏著技術,可有效降低敏感,同時兼顧美觀與長期穩定性。
〈延伸閱讀:陶瓷貼片缺點多嗎?常見問題讓新竹森釉帶你看,還你亮白自信笑容!〉
〈延伸閱讀:瓷牙貼片壽命有多長?瓷牙貼片會掉嗎?4招延長瓷牙貼片壽命!〉
中度斷牙:牙髓神經暴露
若斷裂深及牙髓腔,常伴隨劇烈抽痛、持續性疼痛或出血點,顯示神經組織已受損並可能感染。此階段需立即進行根管治療,清除受感染牙髓與細菌,避免發炎擴散至牙根尖。完成治療後,牙齒結構較脆弱,通常需以全瓷冠完整包覆,恢復咬合強度與外觀。若延誤處理,恐導致牙根發炎膿腫或骨質破壞。
〈延伸閱讀:全瓷冠假牙是什麼?常見材質有哪些?一篇解析全瓷冠的亮白秘密!〉
嚴重斷牙:牙根斷裂
當裂痕延伸至牙齦下方或形成牙根縱裂,牙齒可能明顯鬆動,甚至完全脫落。此類斷裂多無法單純修補,強行保留易反覆感染,並造成周圍骨頭逐漸流失。醫師會透過影像檢查評估保存可能性,多數情況需拔除患齒。後續可選擇人工植牙或固定牙橋重建缺牙區,恢復咀嚼功能與外觀比例。
〈延伸閱讀:【植牙過程解析】帶你了解常見手術類型、植牙流程5步驟!〉
〈延伸閱讀:全口重建是什麼?4種全口重建方式最詳細分析!〉
門牙斷掉如何補?5種常見修復方式
顯微樹脂補牙
適用於輕微缺角、裂痕不深者。醫師會先清潔受損區域,進行酸蝕與黏著處理,在顯微鏡下操作,使用高強度複合樹脂分層填補塑形,光照逐層固化,最後修整拋光完成。療程多可當日結束,外觀立即改善。缺點為材料硬度與耐磨性較低,長期可能染色、磨耗或邊緣滲漏,需定期追蹤維護。
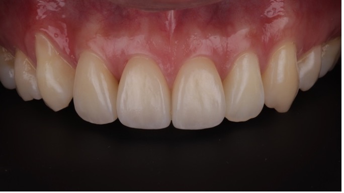
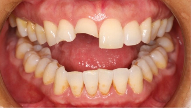
陶瓷貼片
適用於門牙表面斷裂、缺角或比例不佳者。治療時會微量修整琺瑯質,取得精準印模或數位掃描後製作超薄陶瓷貼片,再以高強度黏著劑固定於牙齒表面。貼片具良好透光性與色穩定性,能同步改善形態與色澤。缺點為需磨除部分健康齒質,屬不可逆療程,術前須審慎評估。
〈延伸閱讀:新竹陶瓷貼片價格多少?史上最詳細的陶瓷貼片價格一覽表!〉
治療前
治療後

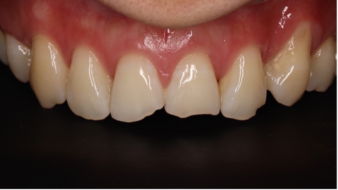
全瓷冠
適合斷裂範圍大、牙齒結構薄弱或已完成根管治療者。醫師會修整牙齒外形,預留空間製作全瓷冠,再以黏著方式完整包覆牙體。全瓷冠提供360度保護,可強化咬合強度並恢復自然外觀與咀嚼功能。材質不含金屬,色澤穩定且生物相容性佳,能有效降低再次崩裂風險。
〈延伸閱讀:全瓷假牙重拾自信笑容|優點、種類及療程案例一覽〉
〈延伸閱讀:全瓷假牙 | 當笑容瞬間消失,意外撞斷牙齒的重生之路〉
治療前
治療後

植牙與牙橋
當牙根無法保留需拔除時,可選擇人工植牙或固定牙橋重建。植牙是在缺牙處植入人工牙根,待骨整合後裝戴牙冠,獨立受力,不需修磨鄰牙,穩定度高但療程時間較長。牙橋則修磨兩側健康牙齒作為支柱,製作連結式假牙,療程時間較短,但需犧牲部分齒質。
〈延伸閱讀:2026植牙費用一顆多少錢?植牙類型、植體品牌影響植牙價格!〉
〈延伸閱讀:新竹假牙怎麼選?森釉告訴你假牙種類及新竹假牙價格!〉
門牙斷掉修復費用要多少?
費用依斷裂程度、修復方式與診所設備而異。醫師會依牙齒保存狀況與患者需求提供建議,下表為常見價格區間參考。
門牙修復方式與費用比較
| 治療方式 | 適用情況 | 優點 | 價格區間(顆) |
|---|---|---|---|
| 顯微樹脂填補 | 輕微缺角 | 當日完成 | 約1.5–3萬元 |
| 全瓷貼片 | 表面受損 | 美觀自然 | 約2.5-4萬元 |
| 全瓷冠 | 抽神經後 | 完整包覆 | 約2.5–4萬元 |
| 人工植牙 | 牙根無法保留 | 獨立支撐 | 約8-10萬元 |
(手機版可左右滑動)
門牙斷掉,補牙推薦找森釉牙醫
森釉牙醫深耕前牙美學修復與複雜重建治療,從斷牙急診評估、保存處理到後續結構重建,皆建立標準化流程,兼顧外觀、功能與長期穩定度。診所導入數位口內掃描技術,提升取模精準度與治療效率;假牙則由專業技師在顯微鏡底下製作,層層調整色澤、透明度與形態細節,使修復成果更自然貼近真牙。醫師團隊非常重視臉型比例與咬合評估,依個人條件客製規劃療程,避免過度修磨與不必要的治療。另外森釉也設有獨立診療空間與完善術後追蹤機制,保障客戶隱私同時確保品質,從急救到美學重建提供完整且安心的一站式照護。
門牙斷掉修復常見問題整理
門牙斷掉黏回去會掉嗎?
將原本掉落的牙齒碎片黏回去,外觀可接近原牙,但強度最高只能恢復原本的五成。若咬合角度不平均或直接啃咬硬物,仍可能再次脫落或裂開。因此多半視為急救或過渡性修復方式,讓牙齒先恢復完整外型。待狀況穩定後,醫師通常會建議評估貼片或全瓷冠加強保護,以提升耐用度與長期穩定性。
門牙修復後可以咬硬物嗎?
即使完成樹脂補牙、全瓷冠或植牙重建,仍不建議用門牙啃咬骨頭、螃蟹殼、堅果或拿來開瓶蓋。門牙主要功能是切斷食物,而非承受強力咬合。過度受力可能造成修復體崩裂、脫落或牙根受傷。養成正確用牙習慣,將硬物交由後牙咀嚼,才能延長修復壽命並降低再次斷裂風險。
小朋友乳牙撞斷需要看醫生嗎?
乳牙下方藏有尚未萌發的恆牙胚,若撞擊力道大,可能影響未來恆牙發育。即使表面只看到缺角或輕微裂痕,也可能有牙根或牙周組織受傷。若出現腫脹、流血、牙齒變色或孩子喊痛,應儘早就醫檢查。牙醫會透過臨床與影像評估是否需要觀察、固定或其他處置,以確保恆牙健康。
結論
門牙斷掉不僅影響外觀,更可能牽涉牙髓神經與牙根健康。無論缺角大小或是否出現疼痛,都應把握黃金時間儘速就醫,避免延誤造成感染或結構惡化。透過正確急救與完整評估,多數斷牙都能恢復功能與穩定度。
森釉牙醫在治療過程中特別重視「美」的呈現,不僅修補缺損,更細緻調整牙齒比例、色澤層次與微笑曲線,使修復後的門牙在自然光下依然協調真實。森釉醫師團隊結合專業技術與美學設計思維,兼顧咬合功能與臉部整體比例,讓修復成果不只是能用,更是好看。若遇到斷牙問題,立即聯繫森釉牙醫,讓專業團隊協助您安心重拾自信笑容。
