全瓷假牙 | 當笑容瞬間消失,意外撞斷牙齒的重生之路
「我以為我的笑容再也回不來了……」
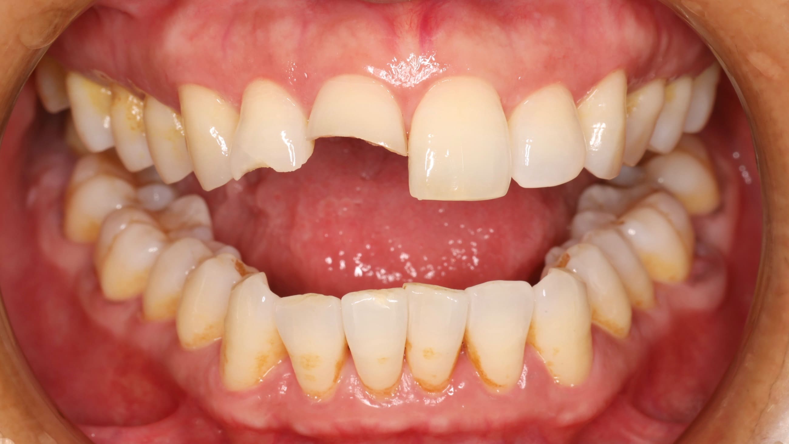
患者在國外旅行時因為不慎跌倒,臉部正面著地,造成門牙當場斷裂。在國外進行緊急處理後,她立即返台來到森釉,希望我們能評估牙齒狀況,並繼續後續的治療。我們仔細確認了患者整體口腔的狀況,發現由於受到正面的撞擊,牙齒與骨頭之間有鬆脫的情形,使得右側兩顆門牙及左側正門牙搖動度都很明顯,同時進行牙齒神經測試,反應也相當微弱。

在外觀上,病患右側兩顆門牙的斷裂情況較為嚴重,而左側門牙雖然沒有明顯斷裂,但牙齒上有出現小裂痕。對比于小姐過去的照片,左側正門牙與側門牙之間出現了原本不存在的牙縫,代表牙齒有移位的現象,但距離事發當下已經隔了一陣子,沒辦法進行復位處理。
綜合評估後並與病患充分討論後,考量到病患的年紀、神經壞死的高機率以及牙齒結構受損的狀況,我們決定進行三顆門牙的根管治療及全瓷冠重建。我們花了一段時間完成三顆牙齒的根管治療 ,由於牙齒斷裂後結構不夠理想,以及需要後續的觀察確認牙齒狀況,我們在根管治療期間為病患製作了臨時牙套,讓她在治療期間外觀也不受影響,患者對於臨時牙套就已經非常滿意,雖然只是臨時的,但她覺得看起來就像自己的牙齒一樣。
由於牙齒移位的問題,我們仔細設計新的牙齒位置與外型,在電腦上進行術後的模擬,與病患詳細討論確認後,最終完成全瓷冠的裝戴。
.jpg)
「不只恢復牙齒外觀,笑起來也非常自然,完全沒有假牙的感覺!」于小姐對整個治療過程與成果都非常滿意,也很開心能夠找回自信的笑容
。


如果你也想要重建笑容,歡迎來森釉牙醫諮詢,感受不同以往的看診體驗!![]()
| 森釉牙醫診所 | 預約專線:03-5797858
