植牙失敗怎麼辦?森釉牙醫教你辨識症狀、原因與補救方式!
植牙雖然是目前替代缺牙最可靠的治療方式之一,但仍可能因術前評估不完整、骨質條件不足、咬合問題或術後照護不當而面臨植牙失敗的風險。許多患者在出現疼痛、異味或植體鬆動時常會忽略警訊,錯失最佳處理時機。本篇文章將完整解析植牙失敗的 4 大症狀、深入說明 8 大可能原因,並提供常見且有效的補救方式,讓你在遇到問題時能清楚了解下一步該怎麼做。此外,也會整理最常被詢問的植牙失敗 FAQ,協助你快速掌握重點。最後將介紹森釉牙醫專業植牙團隊,透過精準評估、頂級植體品牌與全數位診療設備,陪伴你安心重建穩固、美觀又耐用的好牙齒。
植牙失敗的4大症狀!千萬別忽視!
植牙手術後若出現異味、流血、疼痛或植體鬆動等情況,可能是植牙失敗的警訊。及早發現、及早處理,能有效防止感染惡化,提升補救成功率。
植牙失敗症狀1:口腔有異味
植牙周圍若開始出現細菌感染,最常見的早期症狀就是 口腔異味。當清潔不確實,牙菌斑會堆積在植體牙冠與牙齦交界處,細菌分解食物殘渣時會產生異味分子,使口中散發臭味。若未及時處理,可能進一步發展成植體周圍炎,造成牙齦紅腫、疼痛,甚至出現分泌物。
若你發現 異味持續、不易靠刷牙改善,或伴隨牙齦腫脹、觸痛、刷牙易出血,多半代表感染已開始擴散。此時應儘速回診,避免細菌破壞骨頭,影響植體穩定性。早期處理能提高保留植體的成功率,也是預防植牙失敗的關鍵。
植牙失敗症狀2:持續疼痛
植牙術後出現些微不適或緊繃感屬於正常反應,通常會在短時間內逐漸舒緩。然而,如果疼痛不但沒有減輕,甚至隨著時間愈趨明顯,或在按壓植體周圍時出現刺痛、悶痛等強烈不適,就必須提高警覺。這類症狀常與細菌感染、局部發炎、咬合壓力過大,或植體未順利與齒槽骨結合。
長期疼痛絕非正常現象,尤其是影響咬合、張口或在夜間加劇時,更可能表示植體周圍組織已受到破壞。建議盡早回診,透過 X 光或電腦斷層進行檢查,以確認植體、周邊骨頭是否穩固,並依情況採取後續治療,及早處理能大幅降低植牙失敗風險,保留植體的成功率也會更高。
〈延伸閱讀:植牙後遺症有哪些?一篇搞懂植牙風險、副作用及術後照護方式!〉
植牙失敗症狀3:牙齦流血、膿液分泌
當植體周圍的牙齦組織遭到細菌嚴重感染時,可能會出現流血、牙齦化膿、局部腫塊或壓痛。特別是化膿時,常會伴隨口臭、牙齦腫脹與溫熱感,這都是急性感染的反應,代表植體周圍炎已進入惡化階段。若不及時處理,膿液中的細菌可能向深部組織擴散,造成齒槽骨快速流失,使植體周圍的骨頭遭到破壞。最嚴重的情況下,甚至會出現植體鬆動、疼痛加劇或無法正常咬合。此時務必儘速就醫,透過 X 光或電腦斷層確認骨頭狀況,並由醫師進行後續治療,越早介入,越能降低植牙失敗風險並提升植體保留率。
植牙失敗症狀4:植體鬆動、脫落
成功的植體應與齒槽骨緊密結合,如同天然牙般的穩固,咬硬物時也不應有晃動或不適感。若你在刷牙、咀嚼或舌頭觸碰時明顯感到植體「在動」,通常表示骨整合未順利完成,或因細菌感染導致周圍骨頭被破壞,使植體失去支撐。
植體一旦出現鬆動,多半已難以靠清潔或藥物改善,且有進一步脫落的風險。若放任不處理,感染可能持續擴散,導致更多骨質流失。建議立即接受 X 光或電腦斷層檢查,評估骨頭密度與植體穩定度,再判斷是否需移除植體、補骨,或在組織恢復後重新植牙。及早處理能減少損害並提高補救成功率。
為什麼我會植牙失敗?導致植牙失敗的8大可能原因!
植牙失敗的原因相當多元,可能源自術前評估不夠完整,例如忽略骨量不足、咬合問題或牙周狀況不佳;也可能與患者本身的全身性疾病(如糖尿病、骨質疏鬆)、抽菸習慣或口腔清潔不佳有關。此外,若手術計畫不精準或操作品質不佳,也會影響植體穩定性與骨整合的成功率。若這些問題未及時發現並處理,容易進一步導致植體周圍炎、牙槽骨流失、植體鬆動甚至脫落。因此,術前完整評估與術後良好照護都是確保植牙成功的關鍵
植牙失敗原因1:術後照護不足
術後口腔清潔若未做好,容易讓牙菌斑在植體周圍積聚,引發植體周圍炎。這是一種細菌引起的發炎反應,會損害植體與骨骼組織的穩定性,可能導致植牙失敗。常見的原因包括缺乏正確的刷牙技巧、不使用牙線清潔,或未依時回診進行檢查。這些不當的習慣,會使細菌和牙菌斑在植體表面累積,形成牙結石並引發發炎反應,進一步影響植體的固定性。因此,術後的口腔照護至關重要。患者應遵循牙醫的建議,保持正確的刷牙方法,使用牙線或牙間刷清潔難以觸及的部位,並定期回診檢查植體狀況,確保植體的長期穩定與健康。
植牙失敗原因2:骨質條件與牙齦支撐不足
若患者的齒槽骨密度不足、骨頭過薄或高度不夠,將使植體難以牢固植入,植體需要與周圍骨骼良好融合,才能提供穩定的支持。然而,當骨質不夠密實或骨量不足時,植體可能無法穩固固定,導致早期失敗。此外,牙周條件不佳、牙齦萎縮等問題,也會影響植體周圍組織的支持力。牙齦健康對植體的長期穩定性至關重要,若牙齦萎縮或受損,可能無法有效保護植體,降低成功率。因此,在進行植牙前,必須仔細評估患者的骨骼和牙齦健康狀況,以確保手術的成功。
植牙失敗原因3:術前未做好牙周病評估
牙周病會破壞牙齦與齒槽骨,若在尚未治療完成的情況下植牙,細菌將持續侵蝕周圍組織,導致植體無法穩定結合,失敗率大幅提高。因此,植牙前須接受牙周檢查,以確認是否發炎、牙周囊袋加深或骨吸收。必要時應先進行牙周治療,只有在口腔環境恢復健康、發炎受到控制後,植體才能在穩定的組織中生長,提高骨整合的成功率,確保植牙能長期維持良好功能。
〈延伸閱讀:【植牙過程解析】帶你了解常見手術類型、植牙過程5步驟!〉
植牙失敗原因4:慢性疾病
像糖尿病、免疫系統疾病或骨質疏鬆等慢性疾病,會影響身體的自我修復能力,降低組織癒合速度,使植牙過程中的骨整合變慢或不穩定。但並非所有慢性疾病患者都無法接受植牙手術,關鍵在於是否能有效控制病情。在植牙前,必須進行全面的健康評估,包括血糖檢測、免疫狀態評估以及骨密度檢查,並根據結果進行個別化處理。藉由改善病情或調整治療方案,可以降低植牙失敗的風險,並確保植體能在適當的條件下成功整合。
植牙失敗原因5:咀嚼習慣不佳
磨牙、過大咬合力或單側咀嚼等習慣,會對植體造成長期壓力,這些習慣容易讓植體承受過度負荷,進而導致植體鬆動、牙冠破裂或咀嚼不穩,可能使植體與骨骼間的整合不良。若這些不良習慣未能及時改善,將增加植牙失敗的風險。因此,植牙患者需進行咬合調整,確保上下顎間的咬合力均衡,避免植牙承受過多壓力。此外,使用夜間咬合板也是減少夜間磨牙或無意識咬緊牙齒的有效方法。這些能幫助分散咀嚼壓力,保護植體,確保長期穩定。改善不良咬合習慣和定期檢查咬合狀況對植牙成功至關重要。
〈延伸閱讀:瓷牙貼片後遺症有哪些?4大重點預防後遺症發生!〉
植牙失敗原因6:上顎鼻竇腔感染
上顎後牙區在解剖構造上本就較為靠近鼻竇,若植牙手術同時需要進行鼻竇補骨才能順利植入,而病患本身又有長期嚴重的鼻竇炎,則可能會造成植體失敗風險稍微提高。若患有嚴重鼻竇炎或感染,而且持續無法改善,植體容易失敗。因此,在上顎植牙前進行鼻竇評估及電腦斷層掃描是非常重要的。電腦斷層掃描(CT)能提供精確的骨結構影像,幫助牙醫清楚了解鼻竇與植牙區域的關係,從而避免植牙失敗的風險。這樣的評估不僅能確保手術安全,也能提高植體的成功率,避免術後並發症的發生
植牙失敗原因7:植牙空間評估不足
若口腔空間不足、牙縫過窄或植牙角度規劃不當,將增加手術的難度,甚至導致植體無法置入理想位置。空間不足或牙齒排列不整齊會限制植體的放置位置,造成植體角度不正,影響穩定性與長期功能。而角度不佳會使植體承受不均勻的咀嚼壓力,增加植體失敗的風險。因此,在植牙手術前通過數位化的植牙規劃,醫師可以更準確地計算出最佳植體角度與位置,確保植體的穩定性與功能,還能有效降低手術中的風險,從而提高植牙的成功率,確保患者獲得最佳的治療效果。
〈延伸閱讀:植牙前必看!植牙/假牙哪個好?3分鐘掌握植牙流程及適用對象!〉
植牙失敗原因8:植體及手術品質
植牙的成功與多個因素密切相關,其中植體品牌、材質品質以及手術過程都是關鍵。若手術過程未遵循無菌操作,或醫師技術不熟練、置放角度不準確,都可能導致植體不穩定或未能成功整合,最終引發植牙失敗。此外,使用品質不佳的植體材料,也會降低手術的成功率,影響植牙的長期穩定性。
為了確保治療效果,森釉牙醫堅持選用頂級Straumann植體品牌,擁有先進的SLActive表面處理和高硬度植體結構,能提供更好的骨整合性和耐用性。同時,所有植牙手術都由經驗豐富的專業植牙醫師操作,並嚴格遵循無菌手術流程,確保每個步驟都符合國際高標準。這樣的專業保障,能大幅提升植牙成功率,讓患者享有安全且長期穩定的結果。
〈延伸閱讀:2026植牙費用一顆多少錢?植牙類型、植體品牌影響植牙價格!〉

植牙失敗可以如何補救?4 大植牙補救方式
植牙失敗並非無法挽救,可依照感染程度、骨質狀況與植體穩定度選擇適合的補救方式。以下介紹常見的四大治療方式,協助患者恢復口腔健康。
植牙失敗補救1:藥物治療與口腔清潔加強
若植體周圍發炎仍在初期,醫師會使用抗生素控制感染,同時加強患者的清潔方式,如正確刷牙技巧、牙線與漱口水的使用。透過改善衛生習慣與抑制細菌,可有效阻止發炎擴大,協助組織恢復健康。
植牙失敗補救2:植體移除與再植牙手術
若植體明顯鬆動或感染已破壞骨頭,通常需先移除失敗的植體,讓牙周組織休養一段時間後,再進行第二次植牙。再植牙前會重新進行骨質評估、咬合檢查與完整規劃。費用會依口腔條件與是否需補骨補牙齦等因素而有所不同,需在評估後再行確認。
〈延伸閱讀:新竹假牙怎麼選?森釉告訴你假牙種類及新竹假牙價格!〉
植牙失敗補救3:補骨手術
若失敗原因為骨質不足,治療方式通常是進行補骨手術,補足齒槽骨高度或厚度,使骨頭重新長成穩定結構。補骨後需等待一段時間讓骨頭成熟,再重新植入植體,以確保足夠的支撐與成功率。
植牙失敗補救4:修復牙冠
若是咬合問題、牙冠破裂或磨牙導致的不穩定,醫師會調整咬合或重新製作牙冠,減輕植體負擔,使植體恢復正常運作。這類補救方式能避免植體受到過度力量,延長使用壽命。
〈延伸閱讀:全瓷冠假牙是什麼?常見材質有哪些?一篇解析全瓷冠的亮白秘密!〉
植牙失敗相關 FAQ 解答
以下整理常見的植牙失敗相關疑問,協助你快速了解相關風險與處理方式。
植牙失敗 Q1:植牙失敗機率多少?
一般植牙成功率相當高,但仍可能因口腔狀況、疾病或手術品質而影響成功率。選擇專業醫師與良好植體品牌能有效降低風險。
植牙失敗 Q2:植牙失敗通常會在手術後多久發生?
大部分的失敗會在植體尚未與骨頭結合的前幾個月發生,但若後續清潔不當,也可能在多年後出現問題。
植牙失敗 Q3:植牙失敗一定要拔掉嗎?
若感染輕微,有機會透過治療控制;若已鬆動或骨整合失敗,通常需移除重做,才能避免傷害擴大。
植牙失敗 Q4:哪些人較容易植牙失敗?
牙周病未控制、骨質不足、糖尿病未穩定、吸菸或口腔清潔不佳者,失敗風險較高。
植牙失敗 Q5:如何預防植牙失敗?
選擇經驗豐富的醫師、使用高品質植體、術前做好完整評估,並搭配術後良好清潔與定期回診最關鍵。
植牙失敗 Q6:植牙失敗會影響鄰牙嗎?
若感染嚴重,可能波及周圍牙齒與組織,因此出現異常症狀時須儘早就醫。
〈延伸閱讀:全口重建是什麼?4種全口重建方式最詳細分析!〉
植牙失敗 Q7:植牙失敗補救需要算第二次錢嗎?
大多數情況會依補救內容重新計費,是否在保固範圍內需依診所政策與患者狀況決定。
擔心植牙失敗嗎?新竹森釉牙醫讓你安心做植牙!
森釉牙醫擁有專業植牙團隊,使用頂級植體品牌,搭配數位設備進行精準規劃,成功協助許多患者恢復咀嚼功能。療程從評估、規劃到手術與術後照護皆嚴謹細心,讓你安心重建健康與美觀。
〈延伸閱讀:新竹植牙診所怎麼選?掌握這幾點,讓你植牙不失敗!〉
森釉先進設備儀器!保障植牙治療品質與安全
森釉採用高階數位設備,如 3D 電腦斷層、口掃機與電腦導航植牙系統,能精準掌握骨質、神經位置與植體角度,大幅提升安全性與成功率。先進設備不僅提高診斷精準度,也讓治療更舒適。
專業醫療團隊!森釉用心守護您的健康
森釉植牙團隊具備多年經驗,擅長處理缺牙、骨質不足與複雜植牙案例。醫師會依患者咬合、骨質與美觀需求進行客製化規劃,確保療程安全、自然且耐用。
〈延伸閱讀:新竹牙醫推薦森釉牙醫|6大挑選重點、診所優勢告訴你!〉
森釉採用頂級植體品牌-Straumann
森釉使用國際頂級植體品牌 Straumann,植體具高強度、高穩定度,設計能加速骨整合、提升耐用度。優質植體搭配精準手術,是植牙成功率的重要關鍵。
植牙首選森釉!成功案例真實分享,讓您放心植牙!
森釉累積許多成功案例,包括高難度植牙、全口重建與骨質不足患者。透過精準規劃、無菌手術與完善照護,幫助患者重拾自信笑容。專業團隊與高規格設備是森釉最值得信賴的原因。
植牙治療成功案例分享

患者因長期牙周問題,再加上部分牙齒蛀牙或缺失,導致牙齦流血、牙齒鬆動、咬合不良,咀嚼及美觀都受到影響。醫師先進行牙周治療、清除牙結石,先穩定牙齦健康,再治療蛀牙與牙根發炎。確認骨量與咬合後,選擇植牙重建缺牙區 — 經過植體埋入、骨整合、假牙裝置後,讓患者恢復了咀嚼功能與整齊美觀的齒列。有術前的詳細評估加上醫生的細心操作,避免了植牙失敗的風險。
〈植牙案例分享:牙周+植牙治療 | 口腔大整理,從牙齒災難到笑容重生〉
〈植牙案例分享:植牙案例分享|從咀嚼困難到美味重現的蛻變〉
微創植牙治療成功案例分享
.jpg)
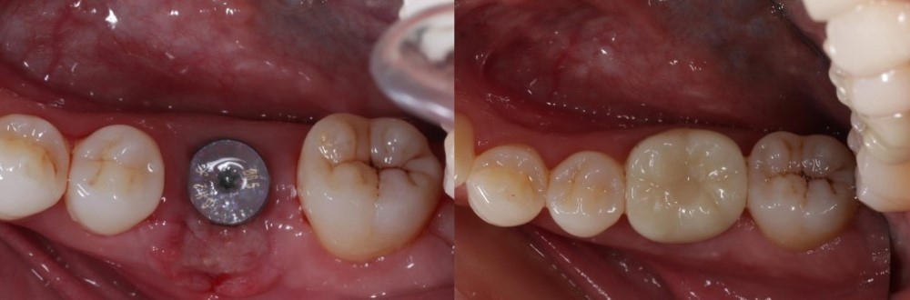
患者因咬到硬物導致牙齒斷裂且發炎,原本的根管牙因未做假牙保護而脆弱不堪。醫師採用微創方式拔牙並補骨,待骨質穩定後植入高強度Straumann BLX植體。經過 3-6 個月的骨整合後安裝假牙,患者恢復了穩固咀嚼功能與自然笑容,大大提升生活品質與自信。透過完整的術前評估與良好的植體,大幅降低可能發生植牙失敗風險。
〈植牙案例分享:微創植牙案例|讓您重拾笑容與自信的選擇〉
〈延伸閱讀:微創植牙適合我嗎?一篇了解微創植牙流程、優點與費用!〉
總結
植牙失敗並不可怕,只要及時處理並接受專業評估,就能有效改善問題。選擇經驗豐富的醫師、使用高品質植體及精準設備,有助提升植牙成功率。森釉牙醫以專業技術、國際品牌植體與完善照護,陪你安心完成植牙療程,歡迎洽詢預約森釉牙醫。
