衛教專欄
隱適美矯正 | 口腔大整理,從牙齒災難到笑容重生
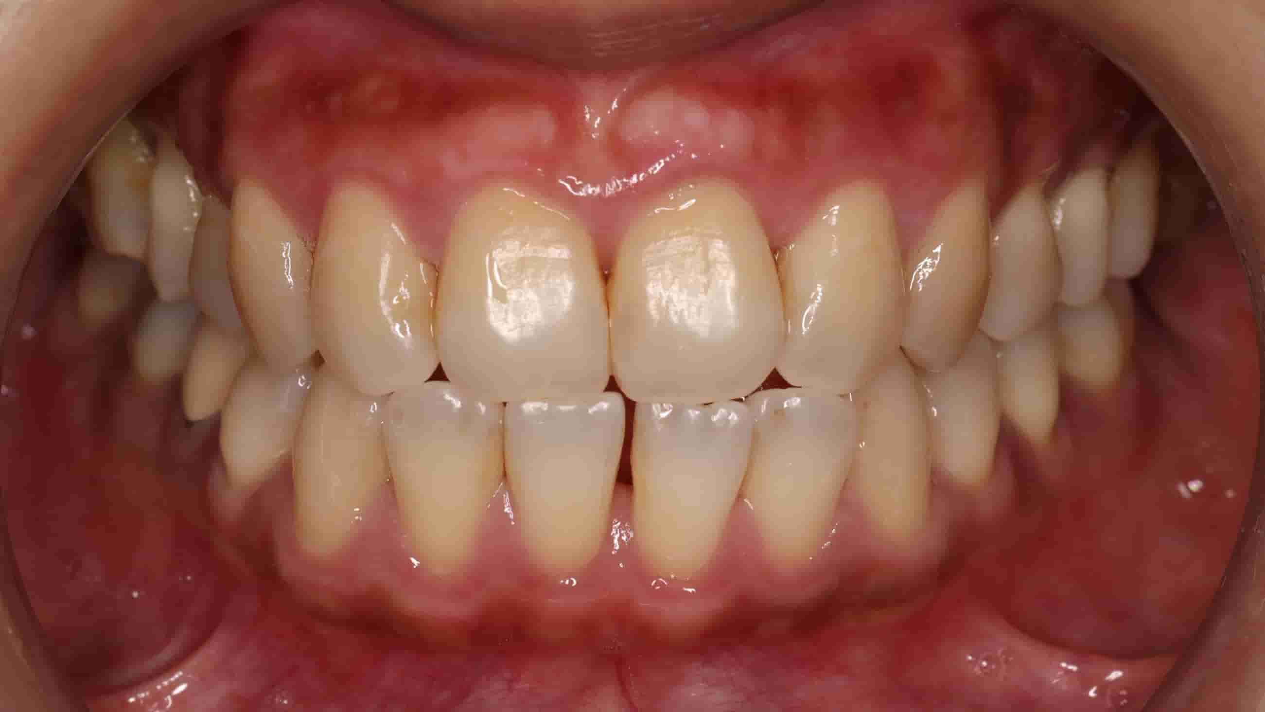
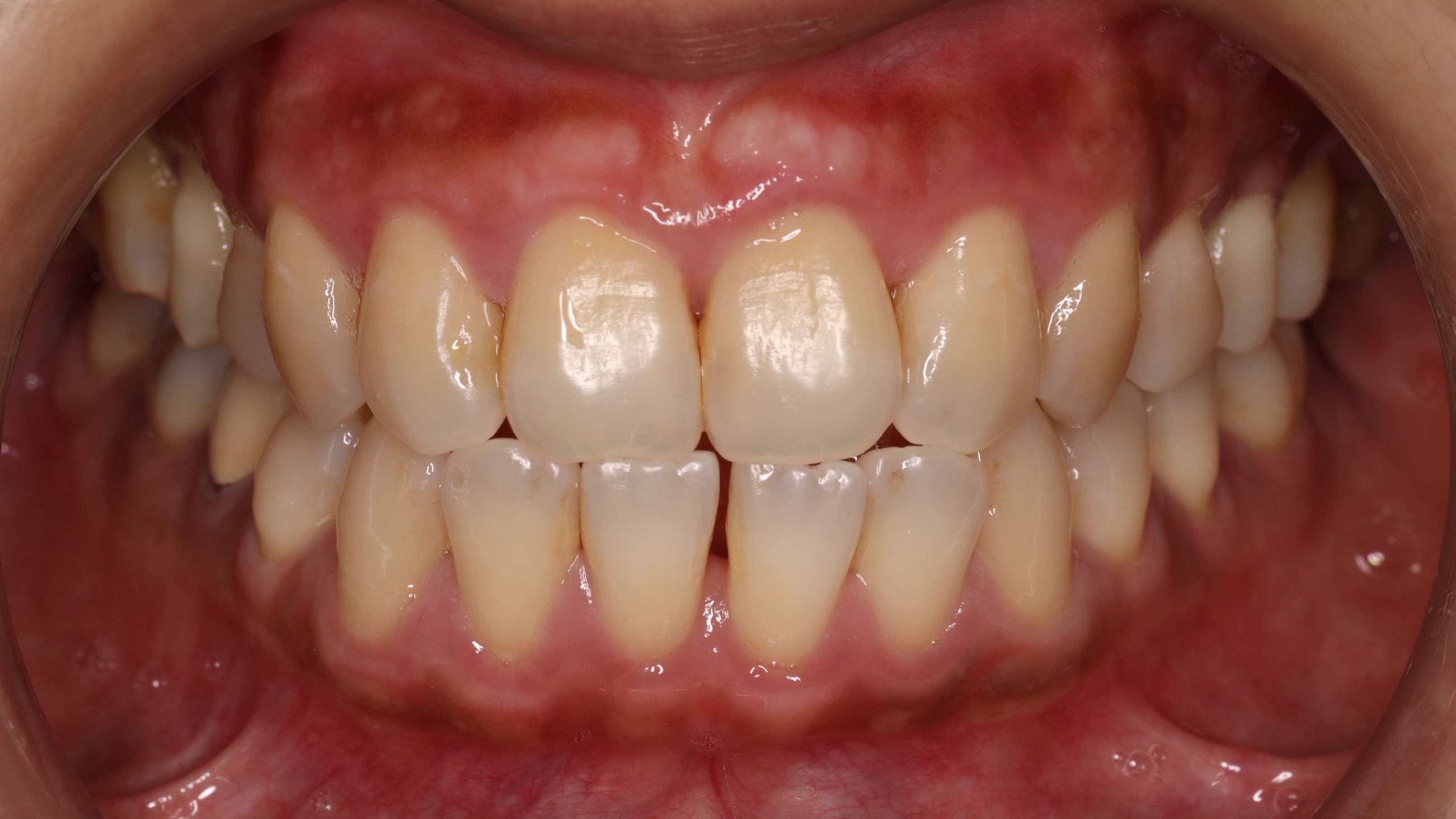
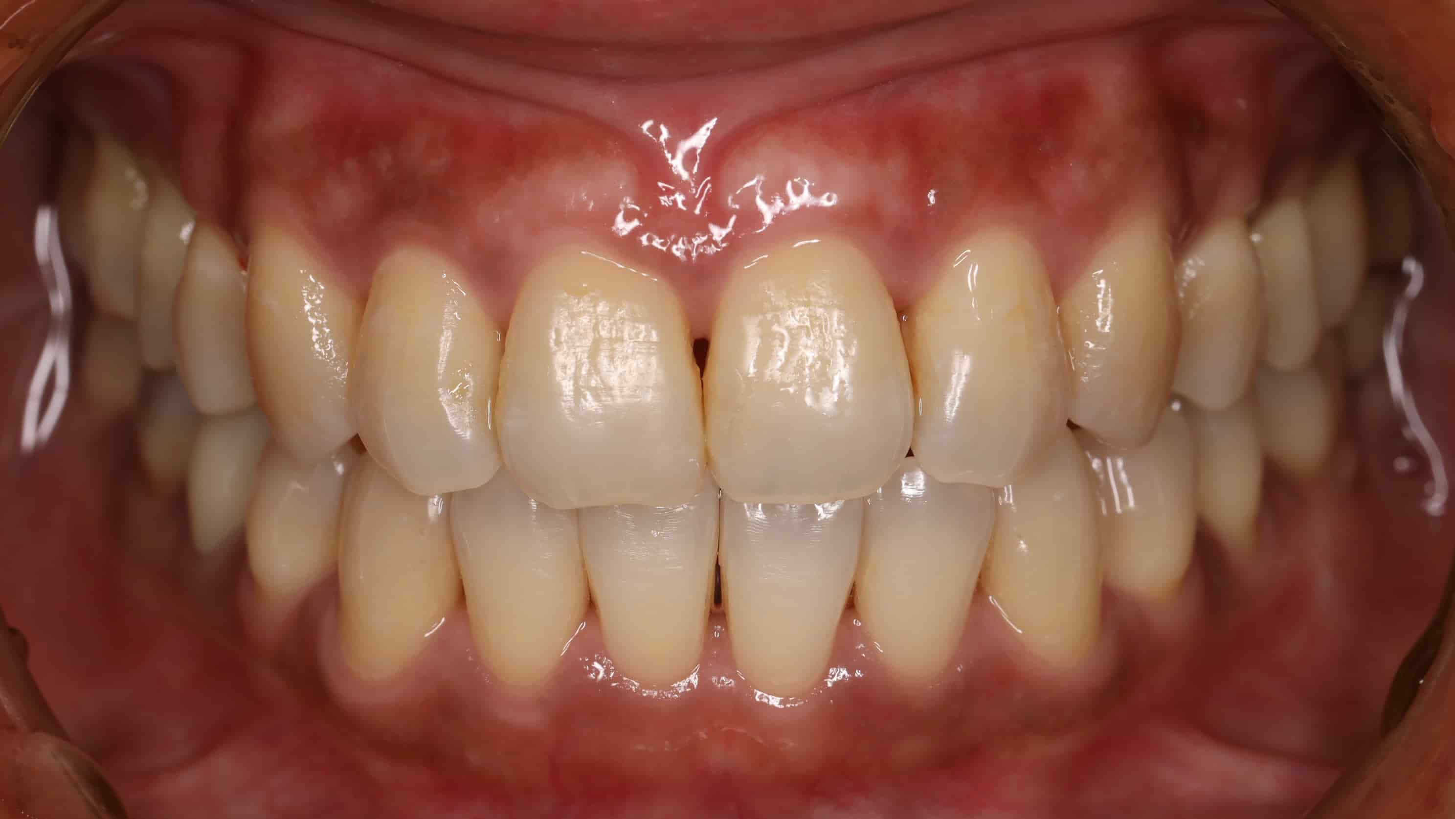
「醫生,我覺得我的牙齒咬東西會痛,尤其是吃比較黏的東西時,刷牙也會流血。」
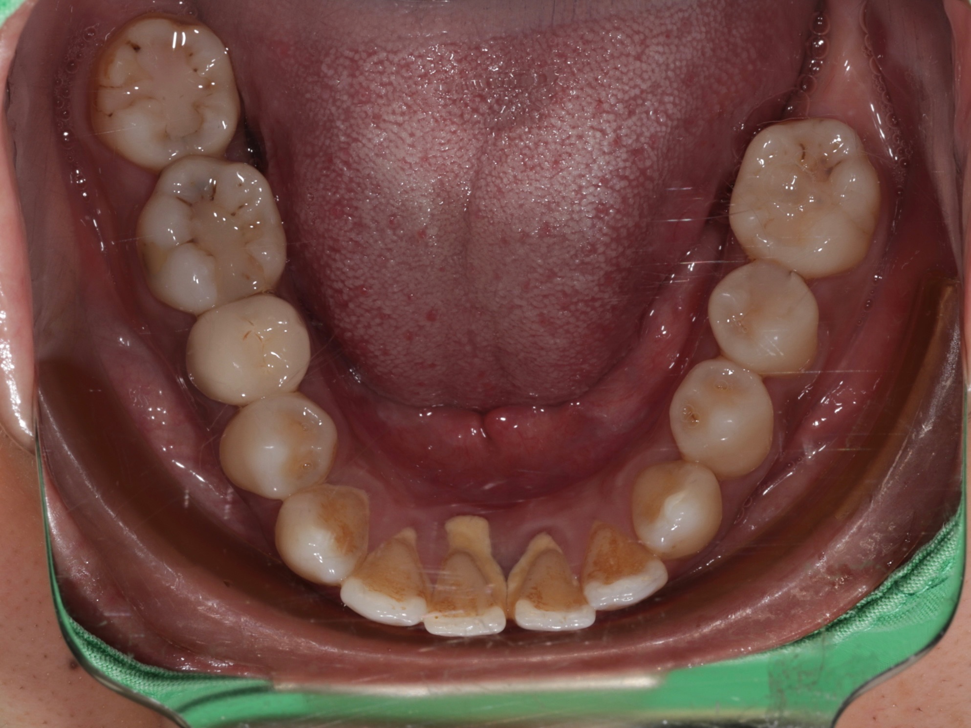
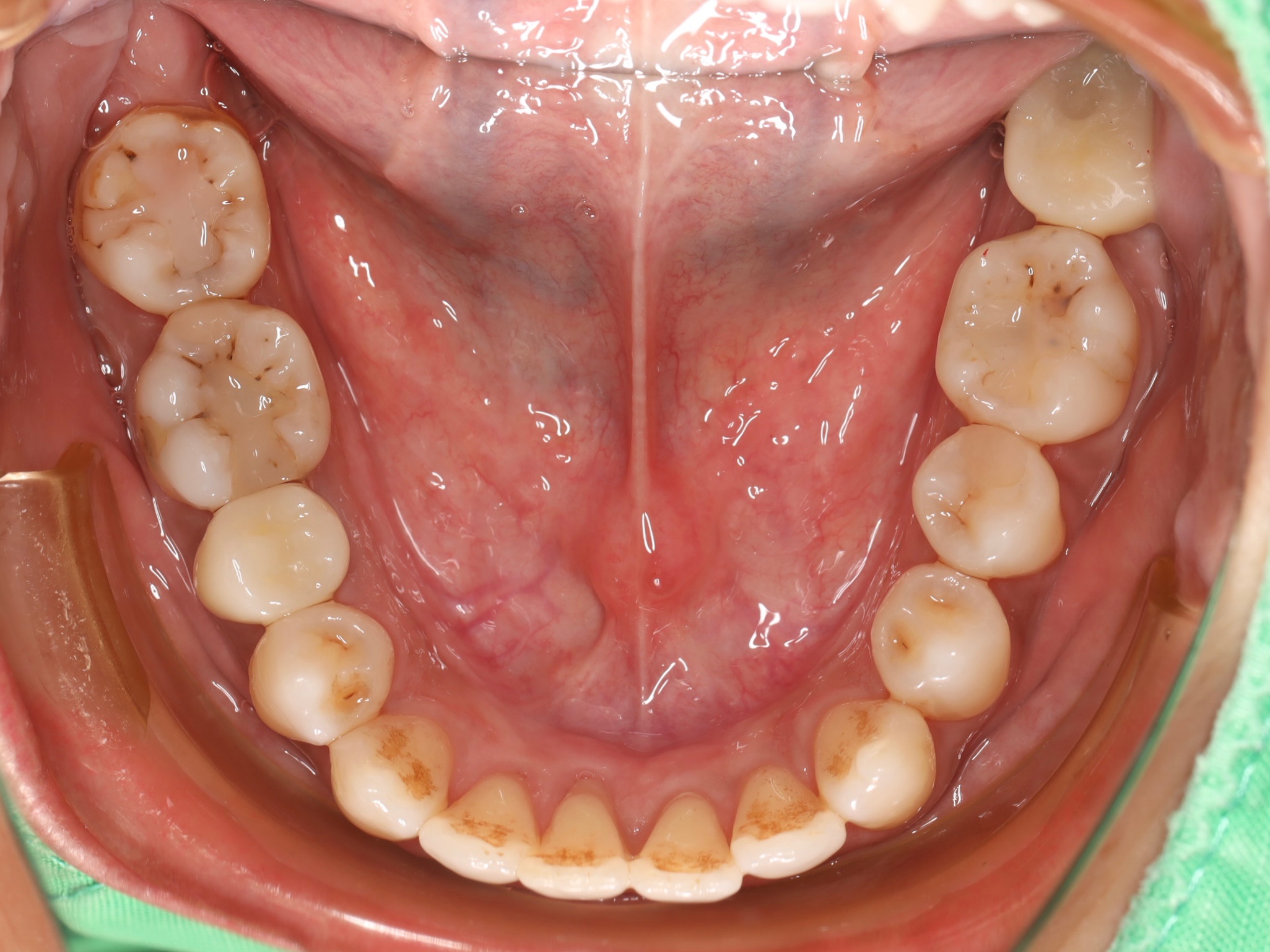
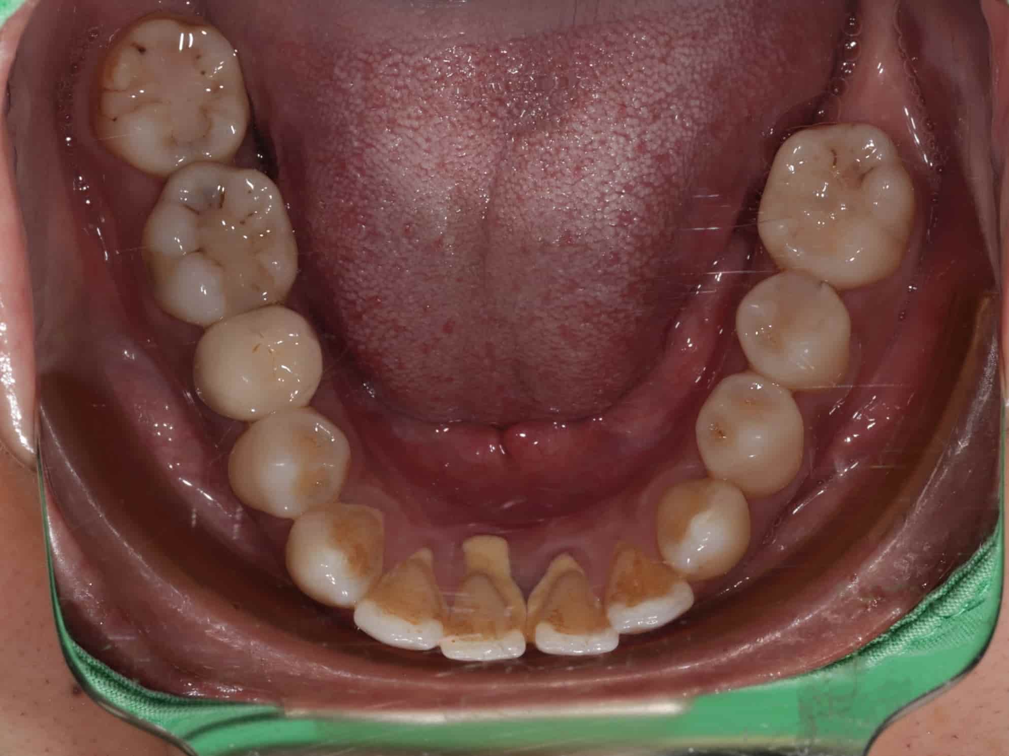
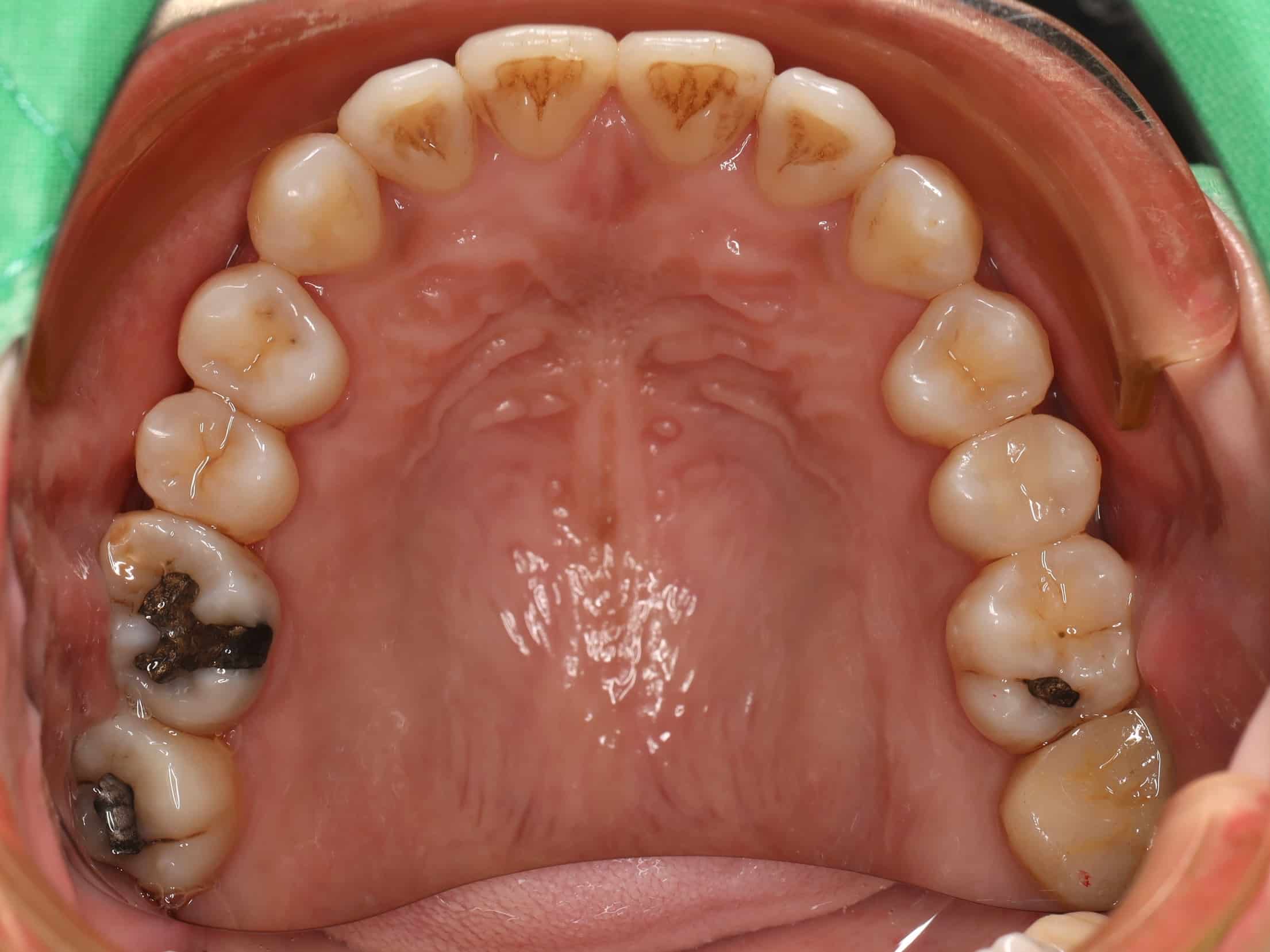
古小姐第一次來到診間時,主要是希望能做全口的詳細評估與檢查,因為她進食較黏稠的食物,牙齒容易感到疼痛,刷牙的時候容易出血,更令她困擾的問題是,她以前因為蛀牙拔掉牙齒,但沒有進行後續處理,左下方有缺牙的情況,除了導致牙齒開始出現縫隙,長期習慣用右邊進食,也讓她兩邊咬合都不太舒服。
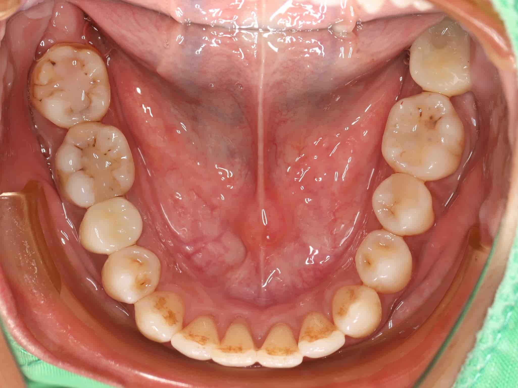
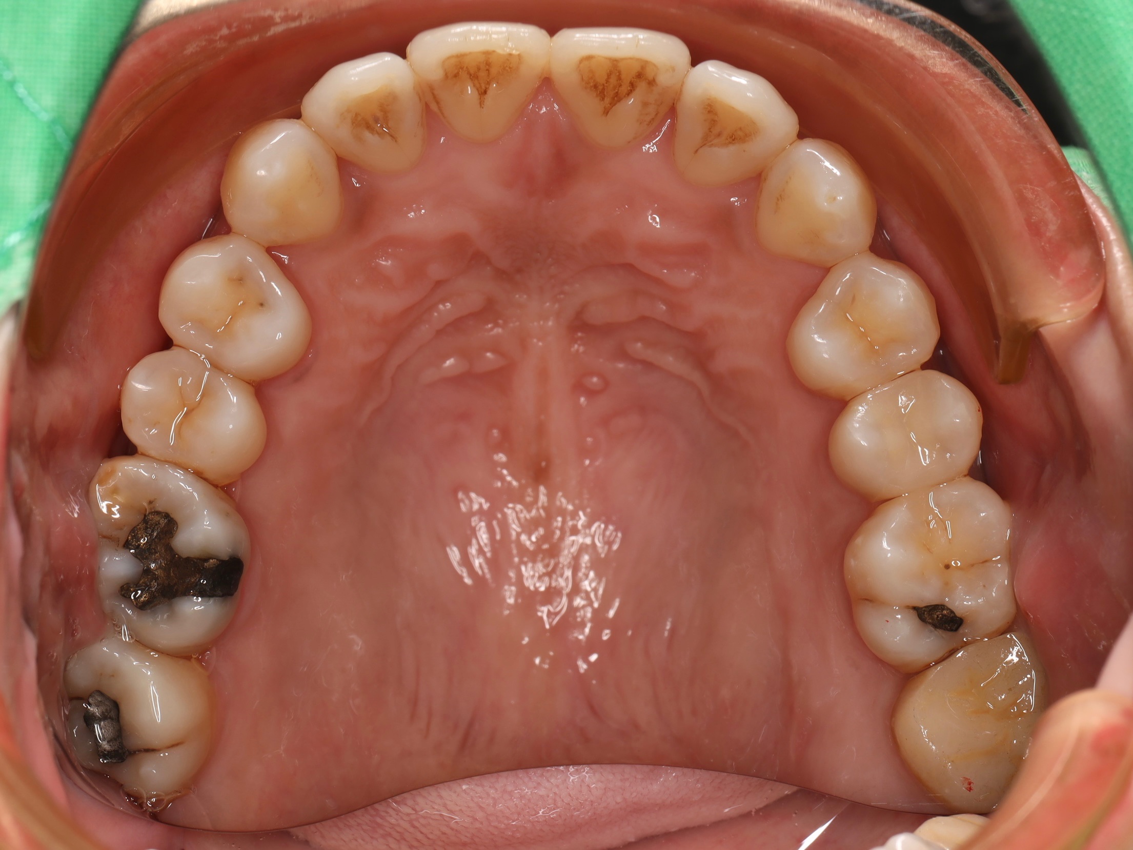
經過全口檢查與評估後,我們發現古小姐的口腔問題相當複雜,主要可以歸納為以下幾個項目:

全口牙周病問題 - 導致刷牙時流血的主因
右下牙套內部發炎 - 牙根處有感染狀況,需重新根管治療
左邊缺牙問題 - 長期缺牙導致排列與咬合問題
咬合與牙縫問題 - 影響整體美觀與功能
面對這麼多問題,我們需要按部就班,一步步解決。
第一階段:恢復口腔健康環境
我們首先進行最基本的牙周治療,控制發炎狀況,並處理蛀牙問題,為後續治療奠定良好基礎。
第二階段:解決牙根發炎問題
拆除右下方的舊牙套,進行二次根管治療,清除內部感染組織,並重新裝上全瓷冠,恢復功能與美觀。
第三階段:重建牙齒正常排列&空間
等到牙齦狀況穩定後,開始約一年的隱適美療程。矯正過程不只是要關閉牙縫,更重要的是要調整牙齒的角度和位置。由於缺牙時間過久,導致上方對咬牙失去抗衡,隨時間逐漸往下掉,因此也需要藉由矯正的力量把它們推回正確的位置。
第四階段:修復缺牙處的功能與美觀
矯正的中後期,當缺牙處的空間穩定後,我們就開始評估植牙的可能性。後續就進行植牙手術並做補骨補肉處理,為新牙齒打造穩固的地基。
第五階段:美觀上的最終調整



植牙完成後,繼續進行矯正治療做最後收尾,讓牙縫完全關閉,牙齒排列整齊,並把臨時假牙都更換程正式牙套,完成整個治療過程。整個治療過程中,最讓我們開心的是看到古小姐越來越有自信,當問題一個個被解決,古小姐的笑容也越來越燦爛,當治療結束時,她不只有了滿意的笑容,兩邊咬合也恢復正常,吃東西再也不會有壓力和疼痛了,口腔的美觀與健康都恢復,看到她那麼開心,我們也覺得所有的努力都值得了。
這個案例讓我們再次體會到,全口重建真的不只是解決單一問題,而是要把整個口腔的健康和功能都重新建立起來。每個部分都息息相關,需要整體規劃才能達到最好的效果。看到病人重新找回健康和自信,就是我們最大的成就感。如果你也想擁有完美笑容,歡迎來森釉牙醫諮詢,感受不同以往的看診體驗!
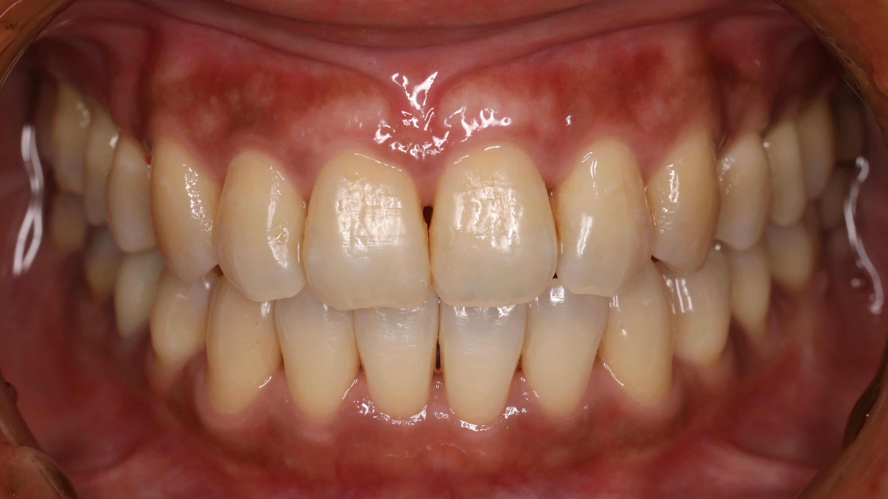
古小姐第一次來到診間時,主要是希望能做全口的詳細評估與檢查,因為她進食較黏稠的食物,牙齒容易感到疼痛,刷牙的時候容易出血,更令她困擾的問題是,她以前因為蛀牙拔掉牙齒,但沒有進行後續處理,左下方有缺牙的情況,除了導致牙齒開始出現縫隙,長期習慣用右邊進食,也讓她兩邊咬合都不太舒服。
經過全口檢查與評估後,我們發現古小姐的口腔問題相當複雜,主要可以歸納為以下幾個項目:

面對這麼多問題,我們需要按部就班,一步步解決。
我們首先進行最基本的牙周治療,控制發炎狀況,並處理蛀牙問題,為後續治療奠定良好基礎。
拆除右下方的舊牙套,進行二次根管治療,清除內部感染組織,並重新裝上全瓷冠,恢復功能與美觀。
等到牙齦狀況穩定後,開始約一年的隱適美療程。矯正過程不只是要關閉牙縫,更重要的是要調整牙齒的角度和位置。由於缺牙時間過久,導致上方對咬牙失去抗衡,隨時間逐漸往下掉,因此也需要藉由矯正的力量把它們推回正確的位置。
矯正的中後期,當缺牙處的空間穩定後,我們就開始評估植牙的可能性。後續就進行植牙手術並做補骨補肉處理,為新牙齒打造穩固的地基。



植牙完成後,繼續進行矯正治療做最後收尾,讓牙縫完全關閉,牙齒排列整齊,並把臨時假牙都更換程正式牙套,完成整個治療過程。整個治療過程中,最讓我們開心的是看到古小姐越來越有自信,當問題一個個被解決,古小姐的笑容也越來越燦爛,當治療結束時,她不只有了滿意的笑容,兩邊咬合也恢復正常,吃東西再也不會有壓力和疼痛了,口腔的美觀與健康都恢復,看到她那麼開心,我們也覺得所有的努力都值得了。
這個案例讓我們再次體會到,全口重建真的不只是解決單一問題,而是要把整個口腔的健康和功能都重新建立起來。每個部分都息息相關,需要整體規劃才能達到最好的效果。看到病人重新找回健康和自信,就是我們最大的成就感。如果你也想擁有完美笑容,歡迎來森釉牙醫諮詢,感受不同以往的看診體驗!
