衛教專欄
陶瓷貼片 | 重拾自信之路,重獲燦爛笑容
「醫師,我覺得門牙顏色偏黃,牙縫也很明顯......
」
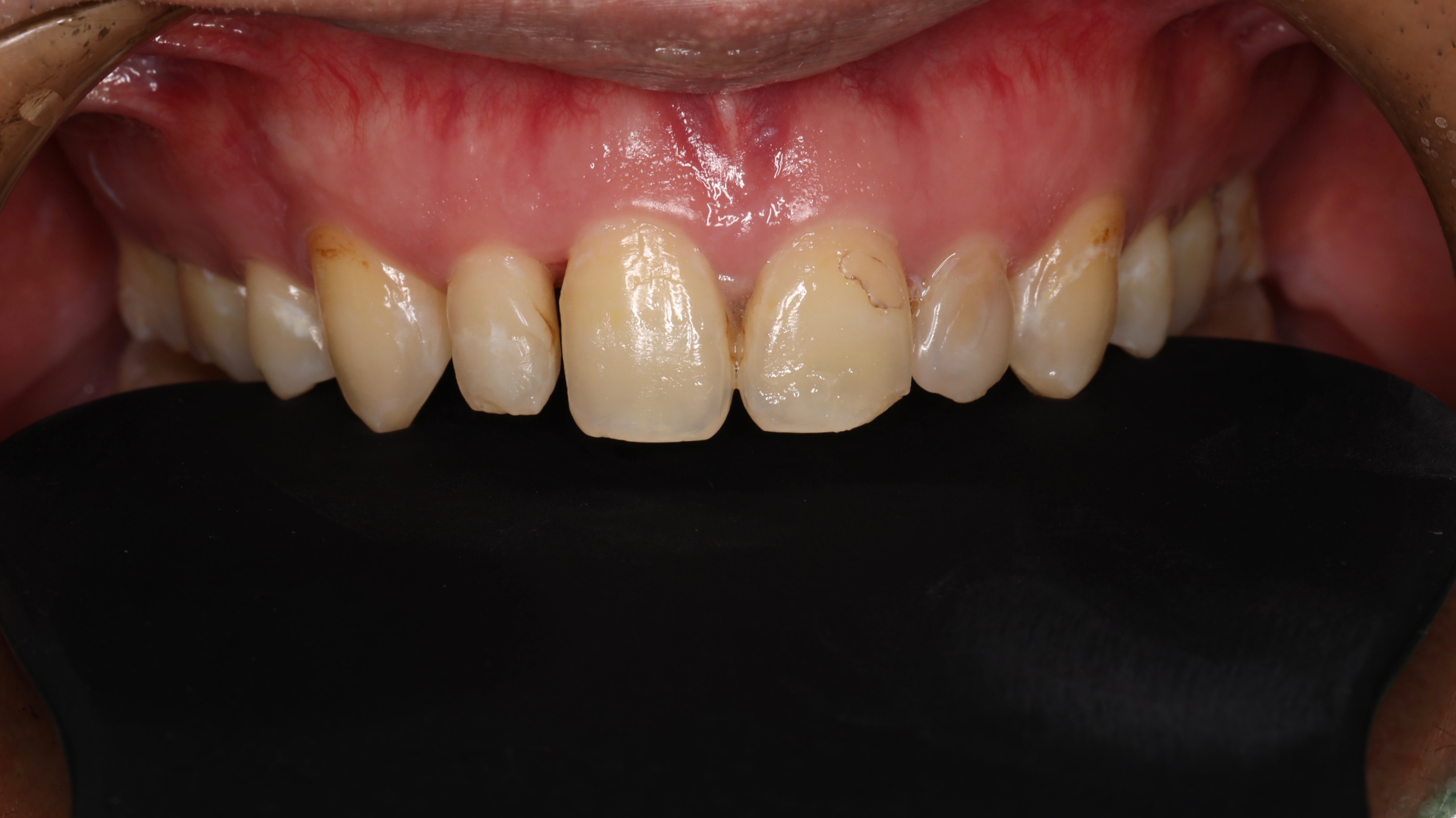
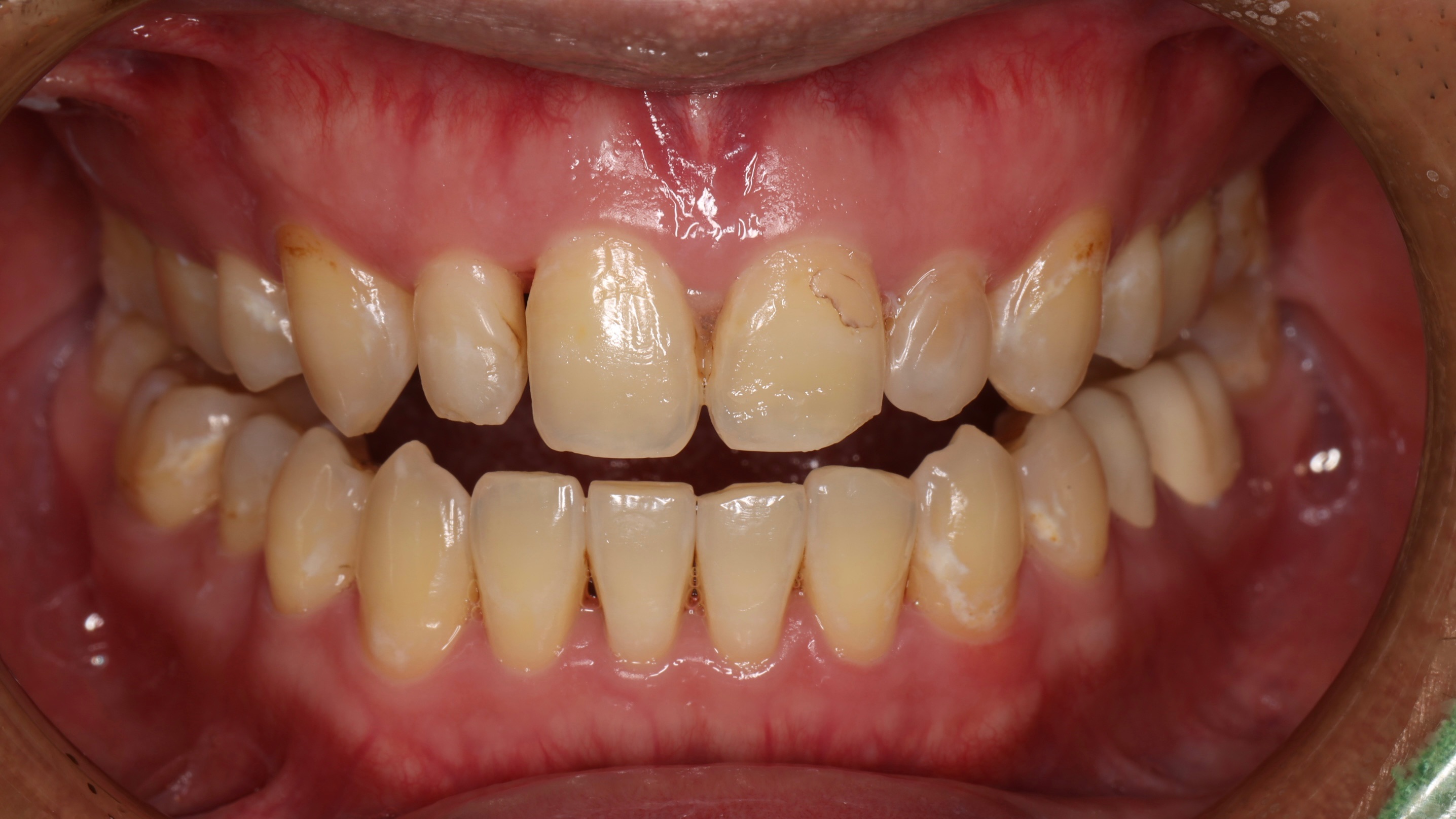
初次見到這位患者時,他帶著一絲不安的神情走進診間,向我們坦言對自己牙齒外觀的困擾。由於牙齒縫隙明顯、顏色偏黃,加上牙齒本身有些缺損,讓他在笑的時候總是缺乏自信,因此希望森釉能為他進行全口美學治療規劃。


我們收集患者完整的口內外資訊,進行詳細的檢查與影像分析後
,發現患者的牙齒存在以下問題:
整體色澤問題:牙齒顏色偏黃,門牙有樹脂填補後變色的痕跡
牙齒形態不理想:右上側門牙較小,造成牙縫明顯,
牙齒缺角:左上側門牙缺角使得外觀尖銳不自然
針對患者的牙齒問題,我們在貼片的設計上進行了細微的調整
:
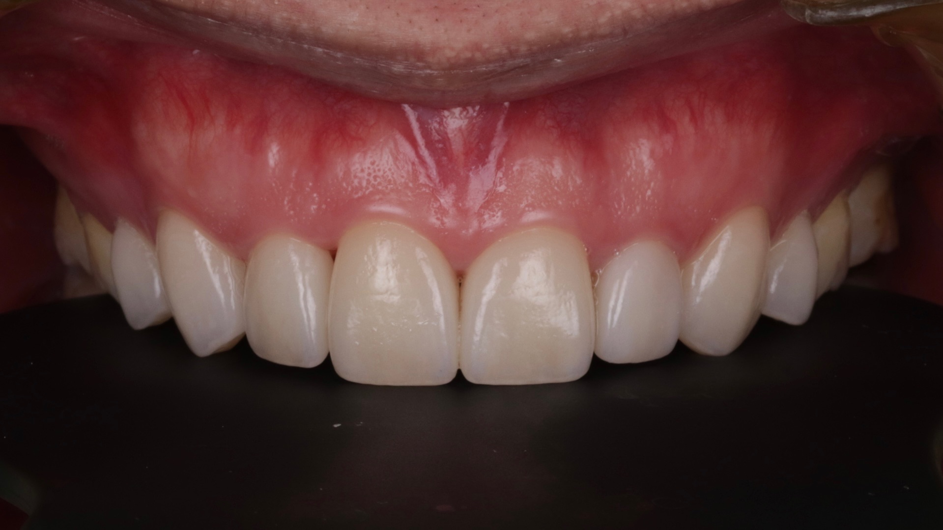
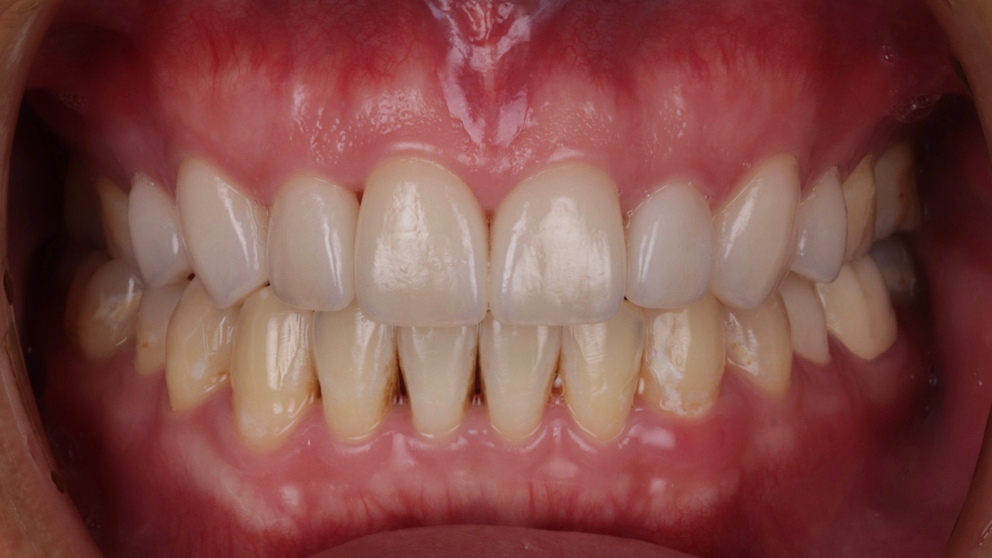
重建牙齒比例:調整側門牙的寬度,讓牙齒比例回歸自然狀態
建立微笑曲線:改善整體微笑弧度,讓門牙切端更平整
維持自然特色:維持犬齒的自然尖端,確保整體和諧一致
在牙齒的製作過程中,我們選擇高透光性的陶瓷材料,結合精湛的後製技術,改善牙齒色澤,讓整體呈現自然不死白的效果,做出彷如自然牙齒的擬真貼片
!




「現在我終於可以毫不保留地開懷大笑了!
」在後續的回診中,患者開心地和我們分享治療後的改變,自從完成治療後,他整個人看起來更有精神,拍照時不再需要刻意遮掩
,也開始真正享受與人交談時的每個微笑瞬間。我們也很開心能夠藉由幫助患者進行完整的微笑規劃改善牙齒的外觀,更讓他重拾自信與生活品質
!
初次見到這位患者時,他帶著一絲不安的神情走進診間,向我們坦言對自己牙齒外觀的困擾。由於牙齒縫隙明顯、顏色偏黃,加上牙齒本身有些缺損,讓他在笑的時候總是缺乏自信,因此希望森釉能為他進行全口美學治療規劃。


我們收集患者完整的口內外資訊,進行詳細的檢查與影像分析後
針對患者的牙齒問題,我們在貼片的設計上進行了細微的調整
在牙齒的製作過程中,我們選擇高透光性的陶瓷材料,結合精湛的後製技術,改善牙齒色澤,讓整體呈現自然不死白的效果,做出彷如自然牙齒的擬真貼片




「現在我終於可以毫不保留地開懷大笑了!
