衛教專欄
隱適美矯正+陶瓷貼片 | 循序漸進,複雜口腔狀況也能重新找回完美笑容
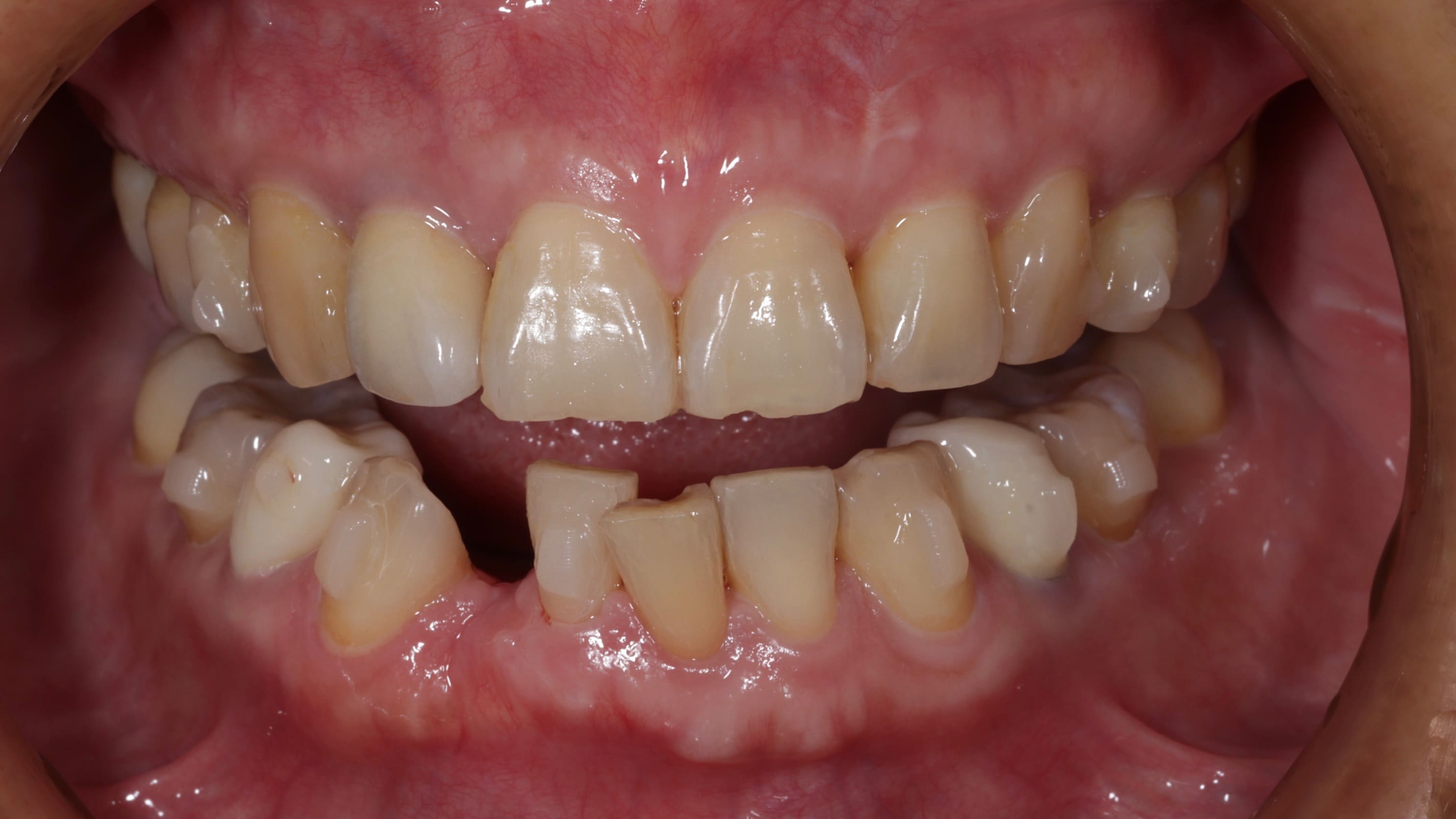
「年輕時花了好幾年矯正牙齒,結果沒有乖乖戴維持器,牙齒又慢慢跑位了...而且我還有牙周病的問題,這樣還有救嗎?」
患者剛進入診間時,一口氣向我們傾訴了許多困擾:
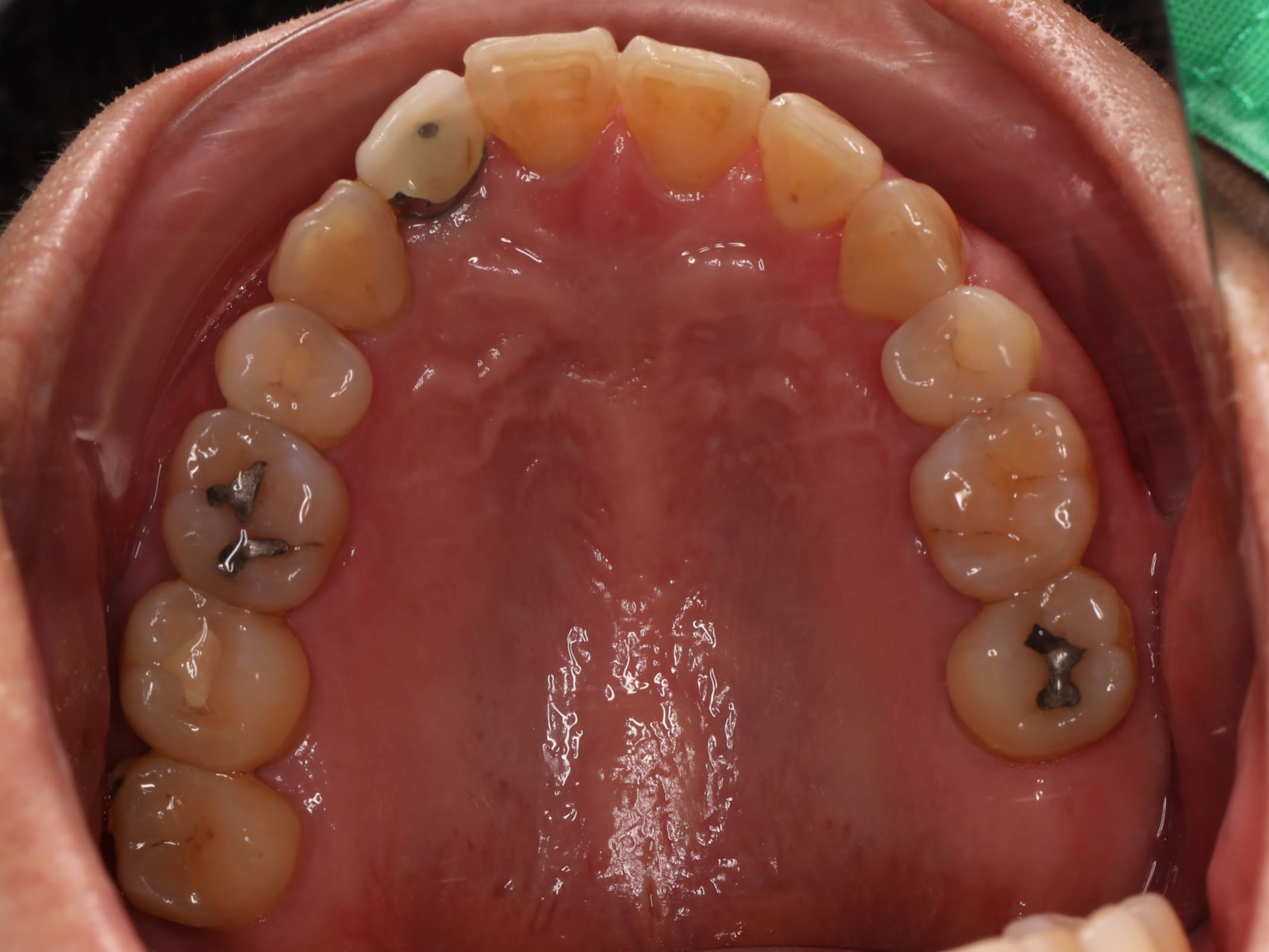
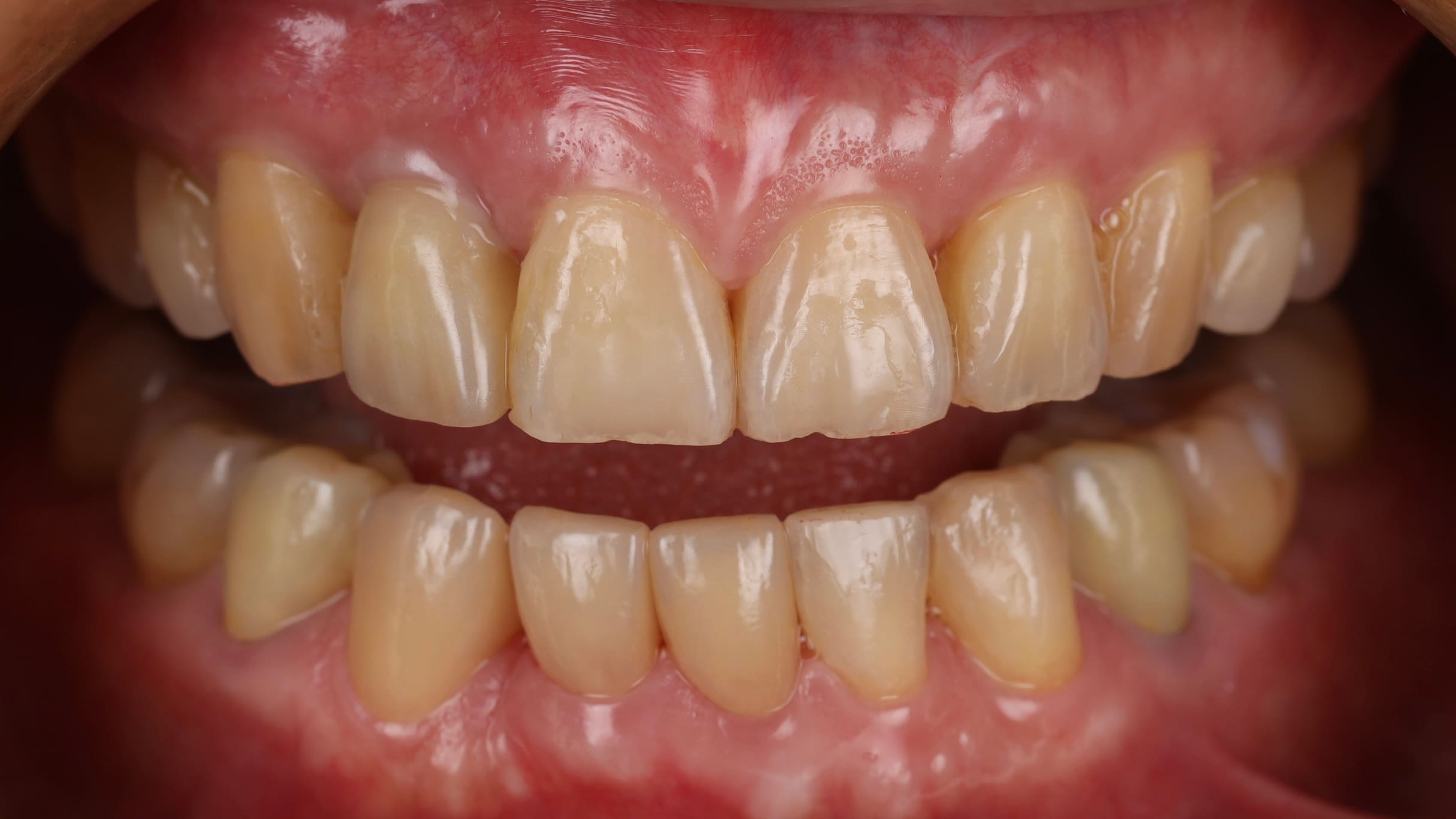
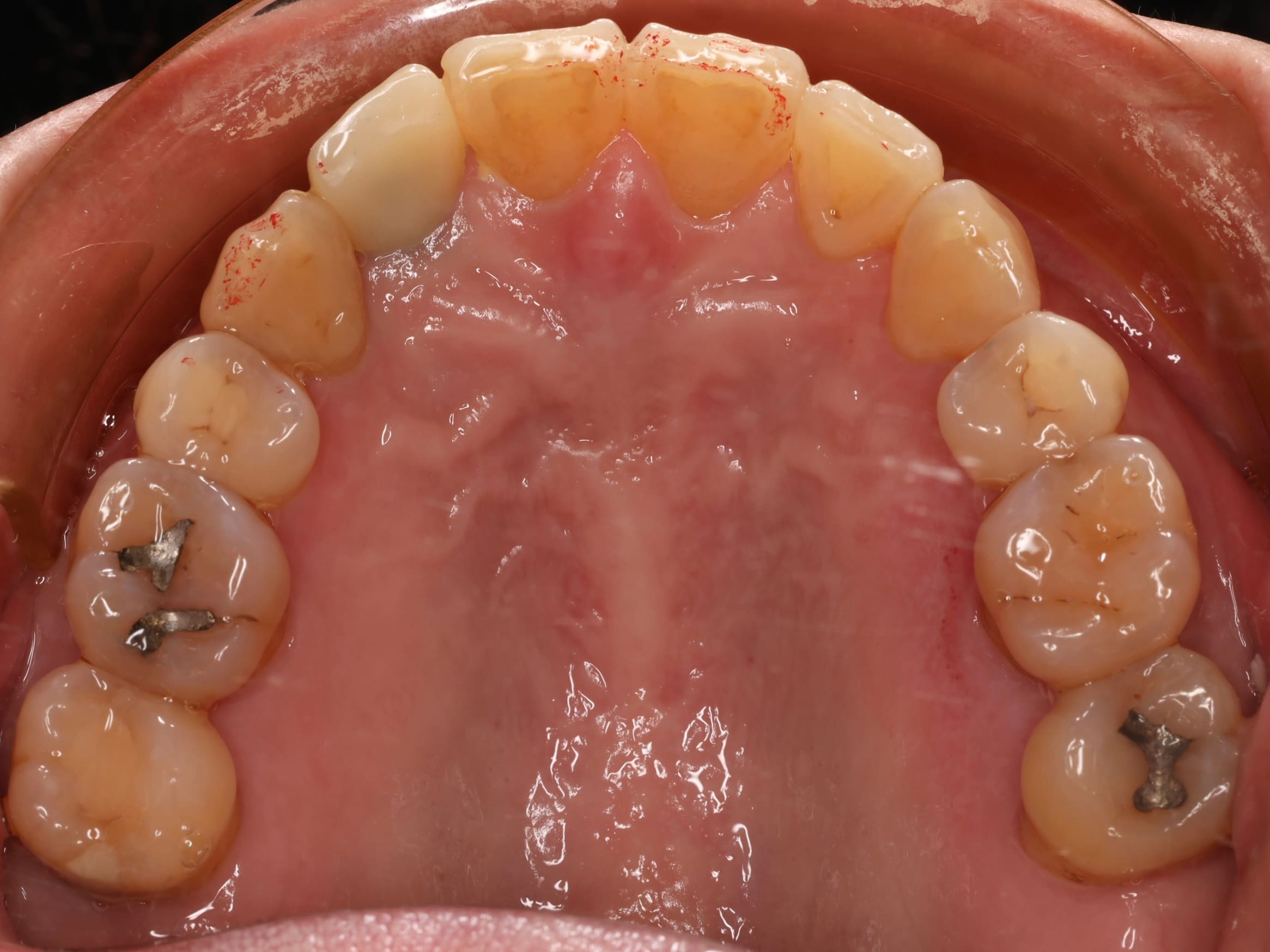
首先是 牙齒排列不整,她年輕時曾接受過矯正治療,但因為沒有持續佩戴維持器,導致牙齒在不知不覺間位移,不僅影響外觀,也讓日常清潔變得困難。再來是 牙周病問題,雖然患者有在其他診所進行治療,但由於右下側有一顆牙齒搖晃得非常厲害,牙周破壞的情況相當嚴重,原本的醫師告知她可能無法保留。最後是 舊假牙美觀不佳 的問題,患者的右上側門牙曾做過植牙治療,但牙套的角度讓牙齒看起來有些傾斜,並非正對前方,視覺上顯得不協調。此外,口內還有一些早期製作的舊牙套,邊緣都露出黑黑的金屬邊,每次張嘴說話都感到不自在。



她很希望能夠一次解決這些累積已久的問題,但又擔心自己的狀況過於複雜,不知道該從哪裡開始,嚴重的牙周病也讓她擔心要整理全口的牙齒是一個不可能的任務
。聽完患者的困擾後,我們首先為她進行了完整的全口檢查和資料收集
,由於口腔狀況較為複雜,我們必須在全面了解牙齒狀態後,才能進一步規劃出最適合的治療方案,藉由與患者詳細討論,分析每一個問題點,並說明各個治療步驟該如何進行,讓她完全理解整個療程的流程與目標,也對後續的治療更有信心
。
第一階段:打好根基 - 牙周治療
牙周問題是進行任何治療之前必須優先解決的課題,有健康的牙周組織,才能為後續的治療奠定穩固基礎,因此第一步先將牙齦和齒槽骨的發炎狀況控制好,為之後的矯正治療及假牙重建做好準備。
第二階段:處理舊有假牙
由於患者一直對舊假牙的金屬黑邊感到困擾,因此在牙周狀況穩定後,我們接著處理下排小臼齒區域的問題,將舊牙套逐一拆除,仔細檢查牙齒內部的狀況,需要重新根管治療的牙齒先予以處理,接著裝上臨時假牙,這樣一來,患者在接下來的矯正治療期間,牙齒也能維持一定的美觀。
第三階段:拔除無法保留的牙齒,重建骨頭基礎 
搖晃嚴重的左下側門牙,經過我們仔細檢查評估後,發現牙周組織破壞真的太多,如果勉強保留,反而會影響到整個口腔的穩定性。與患者仔細說明後,最終決定拔除這顆牙齒,並同時進行補骨修復,重建骨頭根基,就能夠在後續治療中透過矯正方式關閉拔牙造成的空隙,不需要再進行額外的植牙手術。

第四階段:隱適美矯正治療 
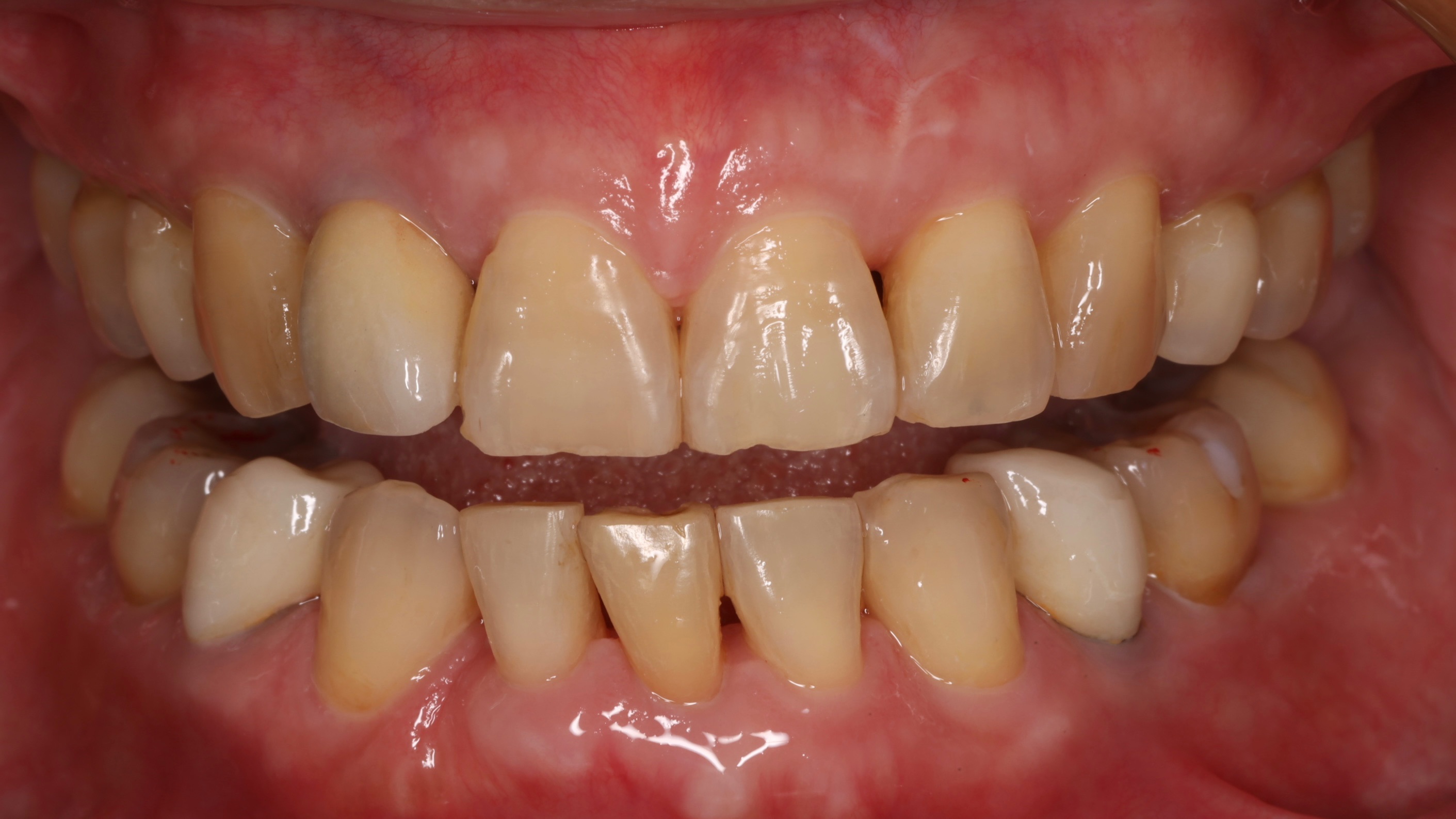
等到補骨的部位完全癒合,骨頭和牙齦組織都恢復健康狀態後,我們便開始進行隱適美矯正治療,經過一年半的耐心治療,患者的牙齒排列變得整齊了,拔牙後的空間完美關閉,咬合功能恢復正常,日常清潔也變得容易許多。
「醫師,牙齒排整齊之後,牙縫之間的縫隙好像變明顯了,有辦法再調整嗎?
」
在矯正治療告一段落、口腔功能恢復後,我們便開始針對整體美觀進行改善,追求更完美的外觀與笑容
。
後排牙齒:臨時假牙升級為正式全瓷冠
在矯正後期,當後排咬合都確認沒問題之後,我們就將原本的臨時假牙陸續更換成正式的全瓷冠,不僅恢復了美觀性,也更加耐用,讓患者可以放心使用。
前排牙齒:重新設計植牙牙套的角度
接著,等到前排牙齒的調整也告一段落,我們便將患者一直很在意的舊植牙牙套拆除,經過仔細檢查,確認底下的植體狀況良好後,我們重新設計了新假牙的角度與外型,讓這顆牙齒能夠與其他牙齒更加協調一致,不再有傾斜的感覺。
全瓷貼片解決黑三角問題
由於患者的牙齒天生形狀偏三角形,又因為牙周病造成牙齦萎縮。之前因為下排牙齒擁擠,這個問題並不明顯,但當矯正完成、牙齒排列恢復正常後,牙縫間的空隙反而特別顯眼。因此在整個治療的最後一步,我們利用全瓷貼片改變牙齒的形狀,讓牙齒變得更方正,並有效改善黑三角問題,達到整體外觀的和諧一致。




這位患者的完整治療歷程總共花了將近兩年半的時間,雖然治療時間較長,但患者對於最終的成果非常滿意,不僅恢復了口腔的健康,整體的笑容也更加和諧自然。在治療的每個階段,我們都會非常詳細地向患者說明,讓她能夠充分理解並放心地配合療程。這份信任與耐心,最終成就了這個令人滿意的結果。複雜的口腔狀況確實需要時間和耐心,但只要循序漸進、按部就班地治療,每個人都有機會重新找回屬於自己的完美笑容!
.jpg)



如果你也想好好解決複雜的牙齒問題,歡迎來森釉牙醫諮詢,感受不同以往的看診體驗!
| 森釉牙醫診所 | 預約專線:03-5797858
患者剛進入診間時,一口氣向我們傾訴了許多困擾:
首先是 牙齒排列不整,她年輕時曾接受過矯正治療,但因為沒有持續佩戴維持器,導致牙齒在不知不覺間位移,不僅影響外觀,也讓日常清潔變得困難。再來是 牙周病問題,雖然患者有在其他診所進行治療,但由於右下側有一顆牙齒搖晃得非常厲害,牙周破壞的情況相當嚴重,原本的醫師告知她可能無法保留。最後是 舊假牙美觀不佳 的問題,患者的右上側門牙曾做過植牙治療,但牙套的角度讓牙齒看起來有些傾斜,並非正對前方,視覺上顯得不協調。此外,口內還有一些早期製作的舊牙套,邊緣都露出黑黑的金屬邊,每次張嘴說話都感到不自在。



她很希望能夠一次解決這些累積已久的問題,但又擔心自己的狀況過於複雜,不知道該從哪裡開始,嚴重的牙周病也讓她擔心要整理全口的牙齒是一個不可能的任務
牙周問題是進行任何治療之前必須優先解決的課題,有健康的牙周組織,才能為後續的治療奠定穩固基礎,因此第一步先將牙齦和齒槽骨的發炎狀況控制好,為之後的矯正治療及假牙重建做好準備。
由於患者一直對舊假牙的金屬黑邊感到困擾,因此在牙周狀況穩定後,我們接著處理下排小臼齒區域的問題,將舊牙套逐一拆除,仔細檢查牙齒內部的狀況,需要重新根管治療的牙齒先予以處理,接著裝上臨時假牙,這樣一來,患者在接下來的矯正治療期間,牙齒也能維持一定的美觀。
搖晃嚴重的左下側門牙,經過我們仔細檢查評估後,發現牙周組織破壞真的太多,如果勉強保留,反而會影響到整個口腔的穩定性。與患者仔細說明後,最終決定拔除這顆牙齒,並同時進行補骨修復,重建骨頭根基,就能夠在後續治療中透過矯正方式關閉拔牙造成的空隙,不需要再進行額外的植牙手術。

等到補骨的部位完全癒合,骨頭和牙齦組織都恢復健康狀態後,我們便開始進行隱適美矯正治療,經過一年半的耐心治療,患者的牙齒排列變得整齊了,拔牙後的空間完美關閉,咬合功能恢復正常,日常清潔也變得容易許多。
「醫師,牙齒排整齊之後,牙縫之間的縫隙好像變明顯了,有辦法再調整嗎?
在矯正治療告一段落、口腔功能恢復後,我們便開始針對整體美觀進行改善,追求更完美的外觀與笑容
後排牙齒:臨時假牙升級為正式全瓷冠
在矯正後期,當後排咬合都確認沒問題之後,我們就將原本的臨時假牙陸續更換成正式的全瓷冠,不僅恢復了美觀性,也更加耐用,讓患者可以放心使用。
前排牙齒:重新設計植牙牙套的角度
接著,等到前排牙齒的調整也告一段落,我們便將患者一直很在意的舊植牙牙套拆除,經過仔細檢查,確認底下的植體狀況良好後,我們重新設計了新假牙的角度與外型,讓這顆牙齒能夠與其他牙齒更加協調一致,不再有傾斜的感覺。
全瓷貼片解決黑三角問題
由於患者的牙齒天生形狀偏三角形,又因為牙周病造成牙齦萎縮。之前因為下排牙齒擁擠,這個問題並不明顯,但當矯正完成、牙齒排列恢復正常後,牙縫間的空隙反而特別顯眼。因此在整個治療的最後一步,我們利用全瓷貼片改變牙齒的形狀,讓牙齒變得更方正,並有效改善黑三角問題,達到整體外觀的和諧一致。




這位患者的完整治療歷程總共花了將近兩年半的時間,雖然治療時間較長,但患者對於最終的成果非常滿意,不僅恢復了口腔的健康,整體的笑容也更加和諧自然。在治療的每個階段,我們都會非常詳細地向患者說明,讓她能夠充分理解並放心地配合療程。這份信任與耐心,最終成就了這個令人滿意的結果。複雜的口腔狀況確實需要時間和耐心,但只要循序漸進、按部就班地治療,每個人都有機會重新找回屬於自己的完美笑容!
.jpg)



如果你也想好好解決複雜的牙齒問題,歡迎來森釉牙醫諮詢,感受不同以往的看診體驗!
| 森釉牙醫診所 | 預約專線:03-5797858
